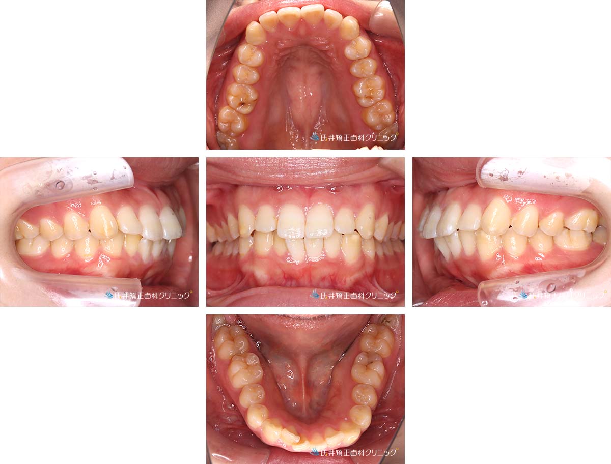
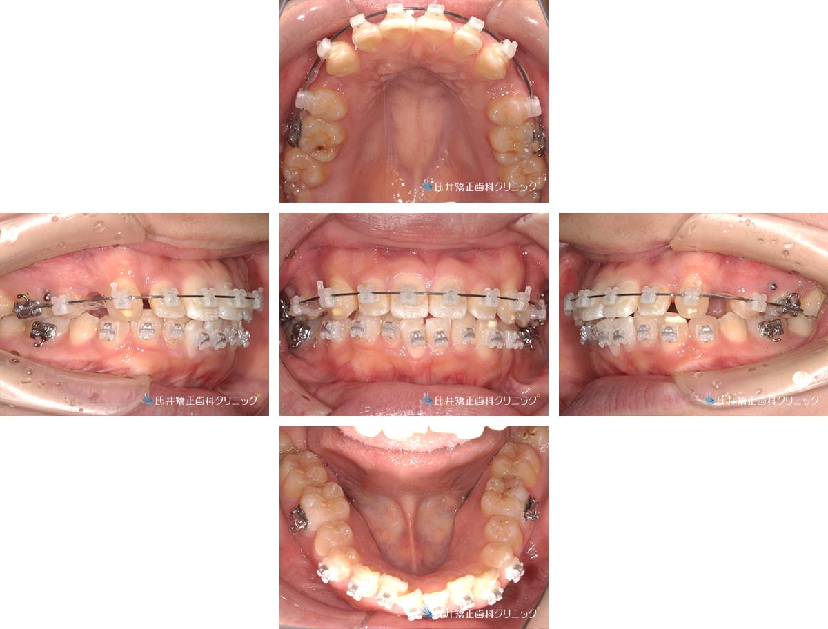
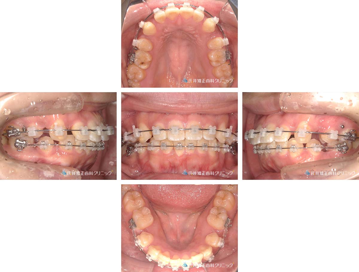
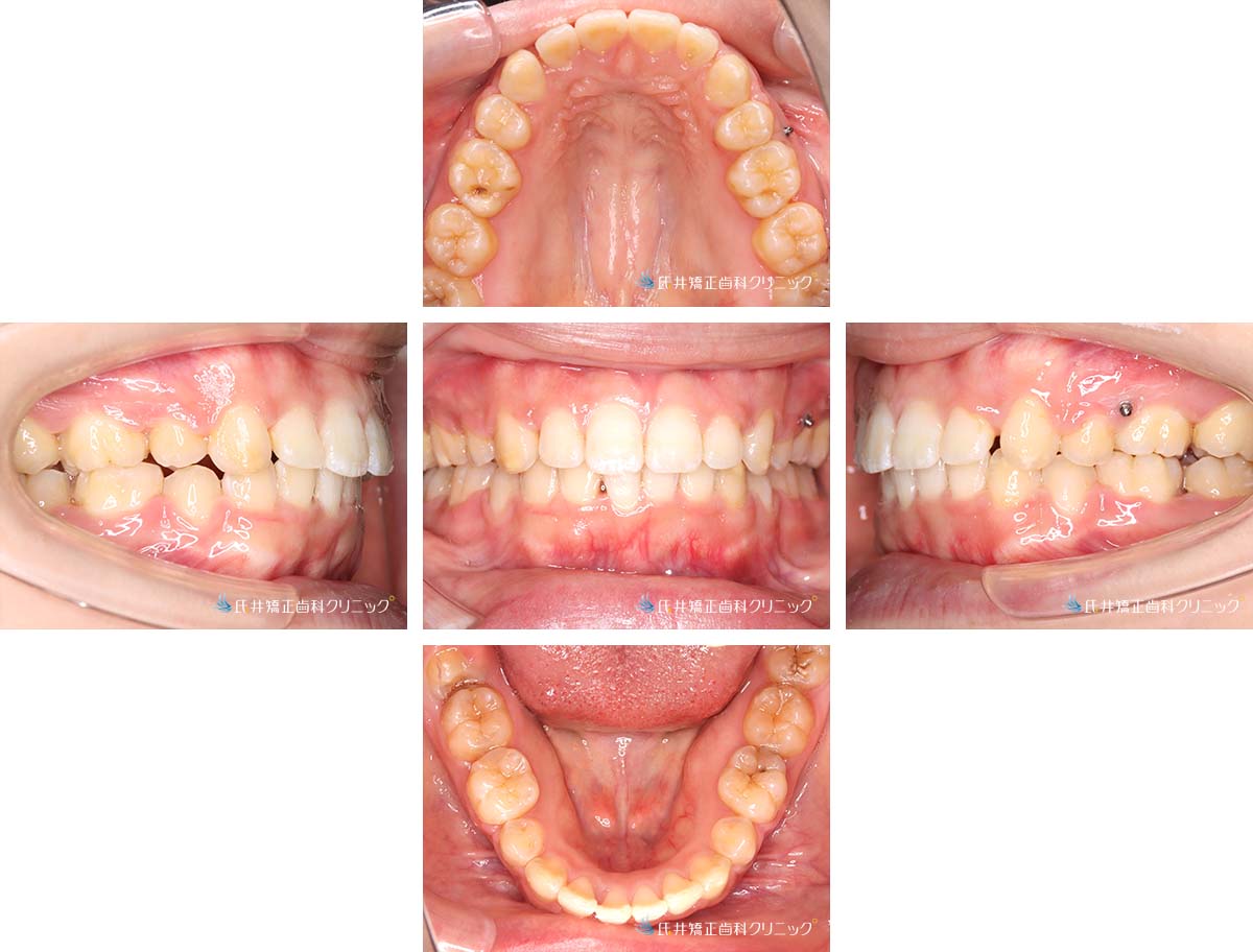
症例集(Before-After)
 
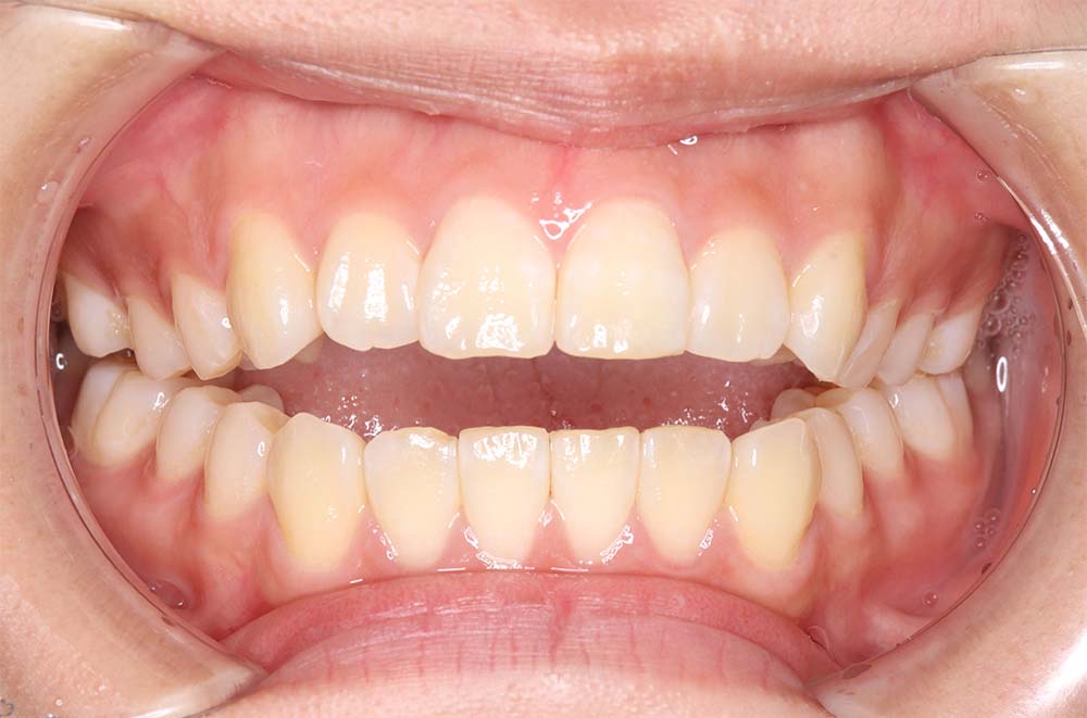
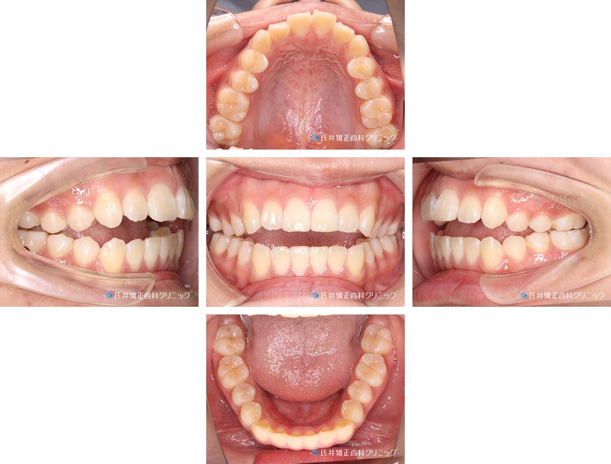
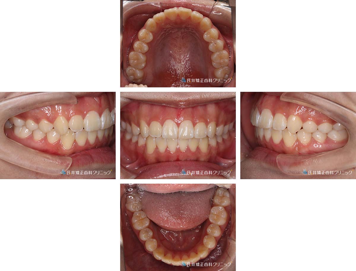
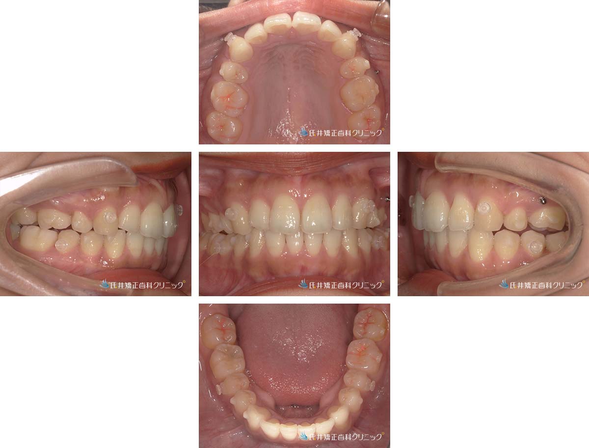
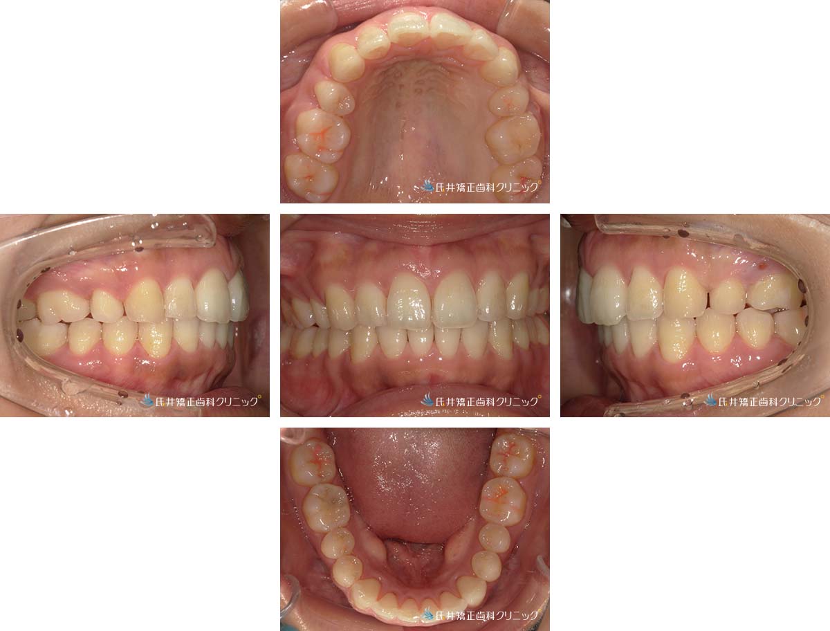
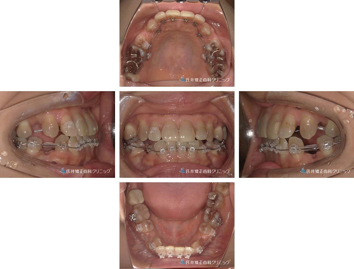
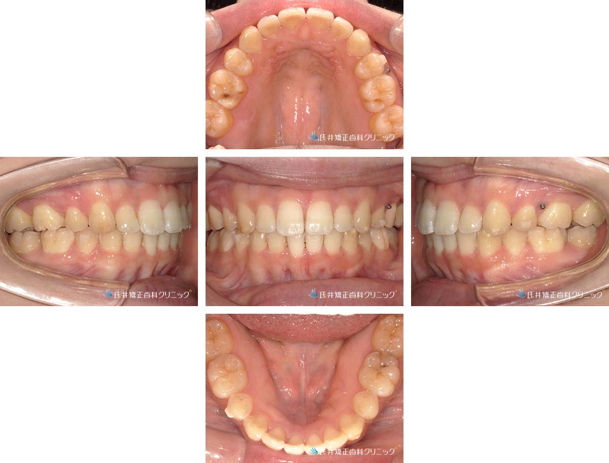
                | 主訴 | 前歯のガタガタと出っ歯 | 
|---|---|
| 治療装置 | 白い表側矯正装置 | 
| 抜歯 | 4本の抜歯 | 
| 治療期間 | 2年2ヶ月 | 
| 診断名 | 歯槽性上下顎前突 | 
| 副作用 | 歯肉退縮・歯根吸収・歯髄・壊死・癒着による予期せぬ歯の動き | 
上下の歯の前歯の角度が傾斜しているため、抜歯が必要なケースでした。
上下の前突感を可能な限り後ろに下げました。
 
                 
                 
                 
                | 精密検査・診断料金 | 55,000円 | 
|---|---|
| 矯正料金 | 840,000円 | 
| 毎回の処置料金 | 3,300円 | 
 
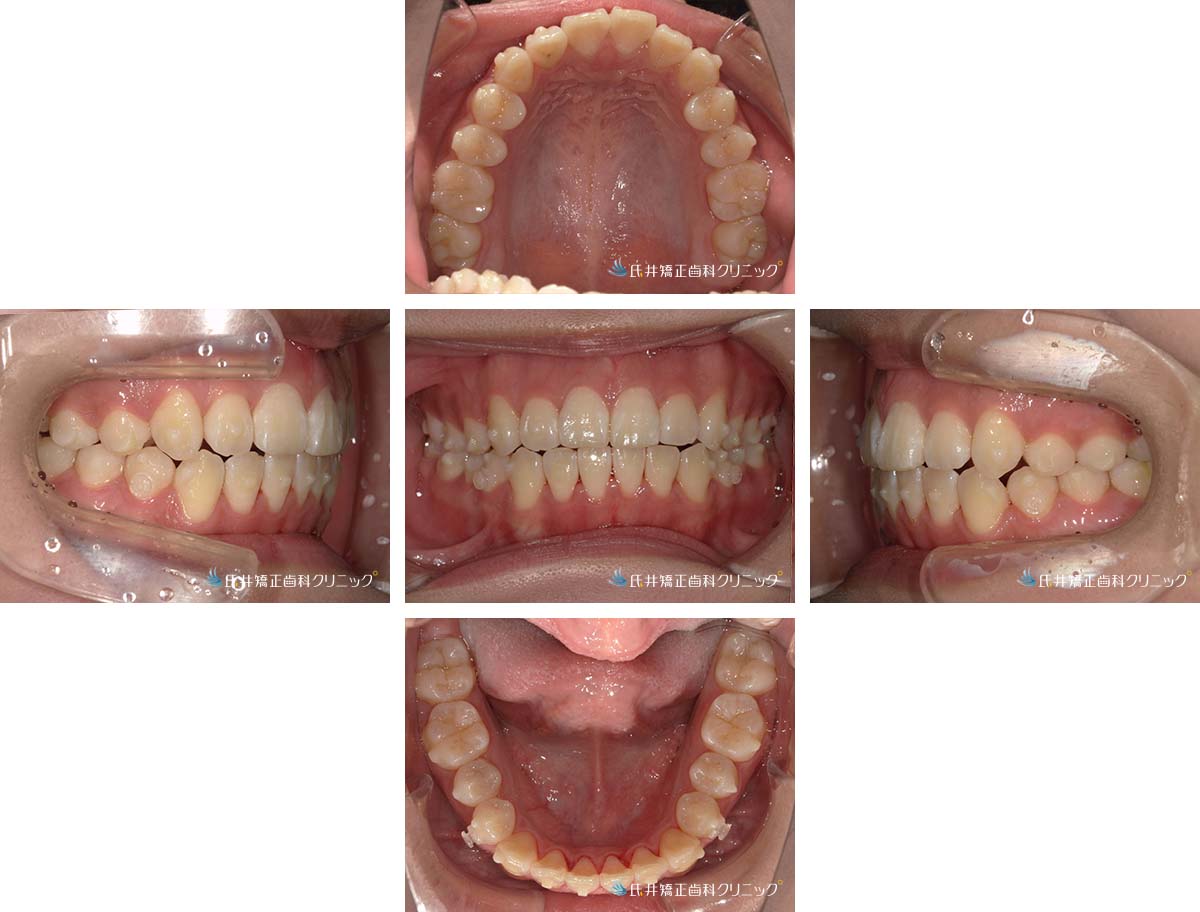
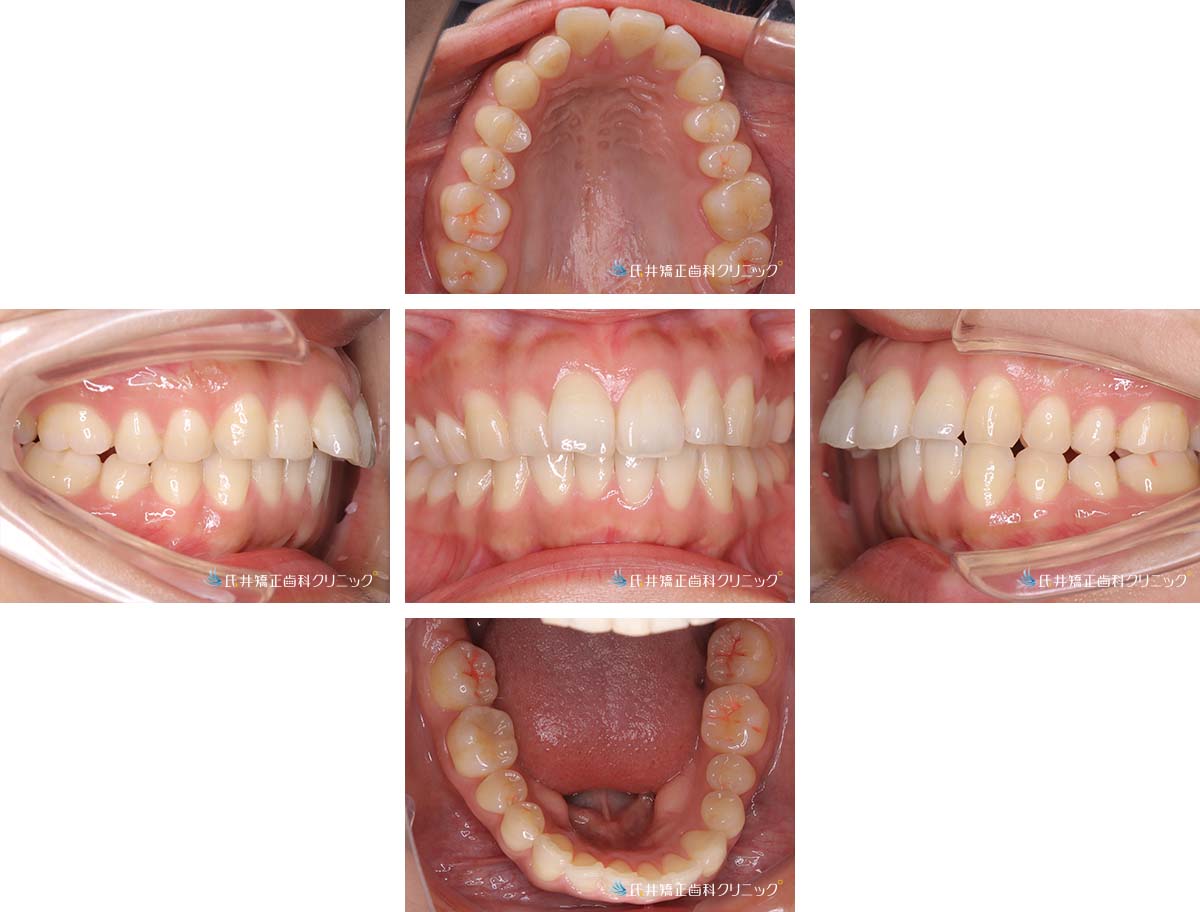
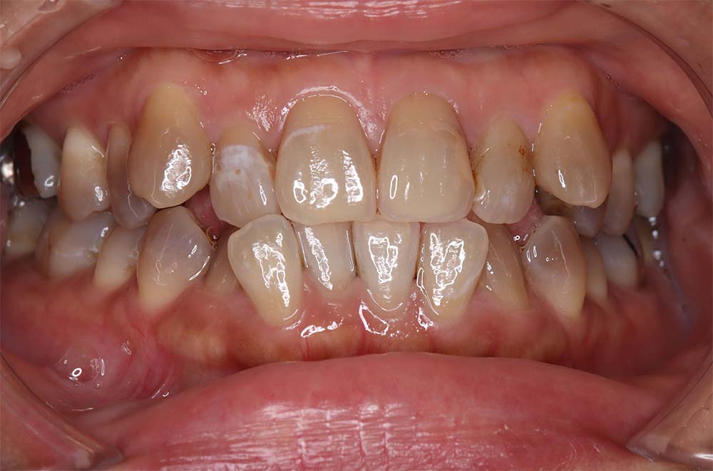
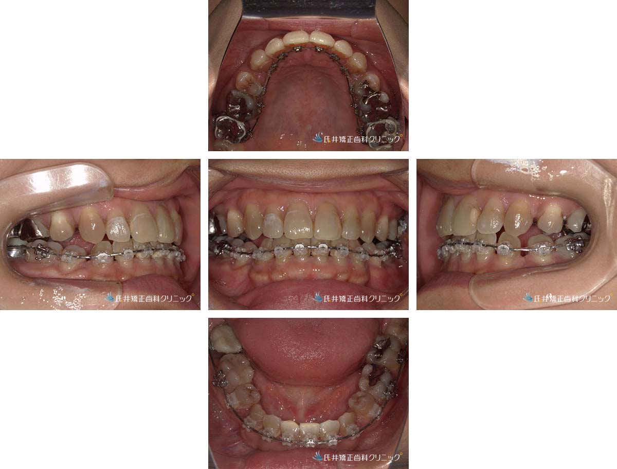
                | 主訴 | 前歯のガタガタ | 
|---|---|
| 治療装置 | 白い表側矯正装置 | 
| 抜歯 | 上下4合わせて4本の抜歯 | 
| 治療期間 | 1年10ヶ月 | 
| 診断名 | 叢生 | 
| 副作用 | 歯肉退縮・歯根吸収・歯髄・壊死・癒着による予期せぬ歯の動き | 
八重歯の改善を行うため抜歯が必要なケースでした。順調にスペースが閉鎖することができました。
 
                 
                 
                 
                | 精密検査・診断料金 | 55,000円 | 
|---|---|
| 矯正料金 | 840,000円 | 
| 毎回の処置料金 | 3,300円 | 
 
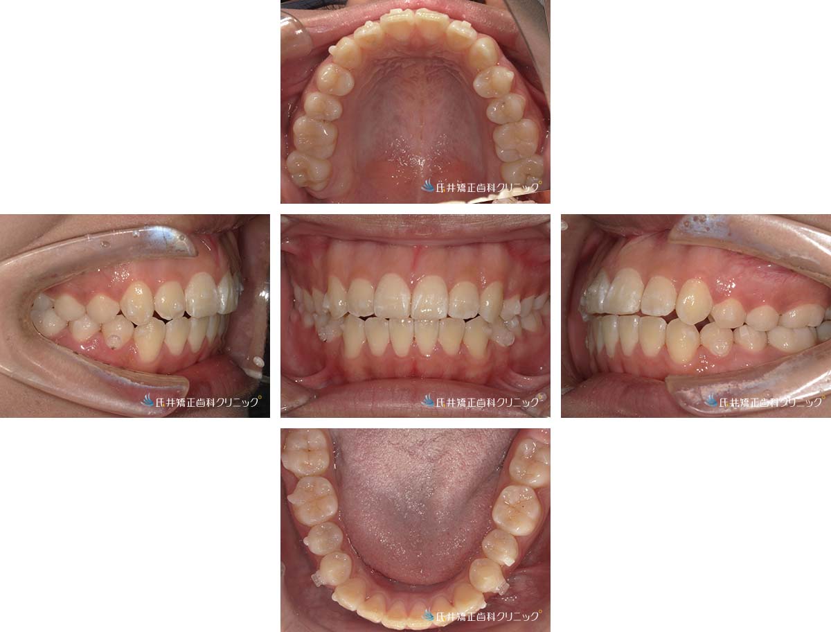
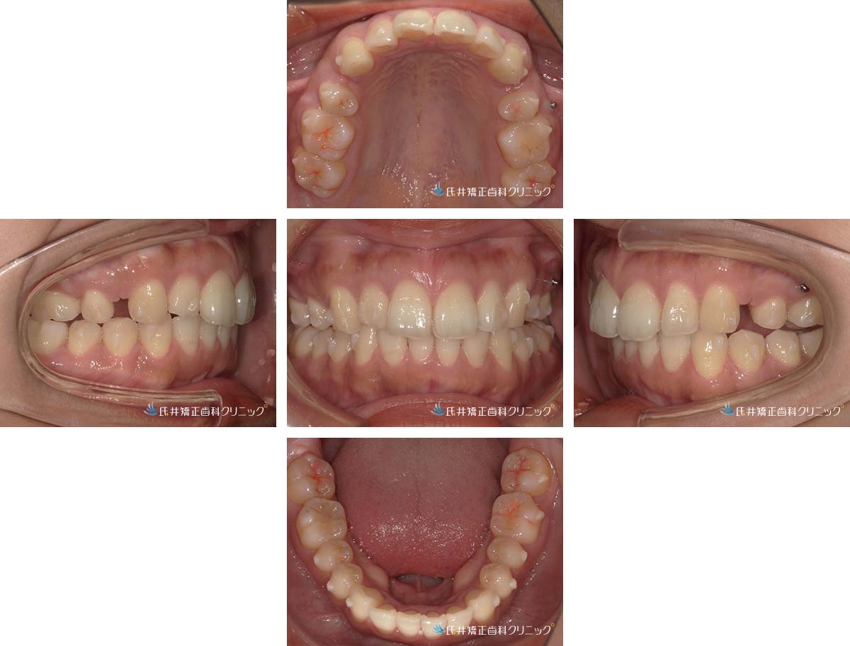
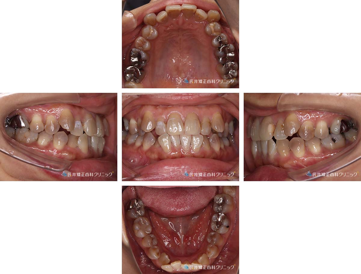
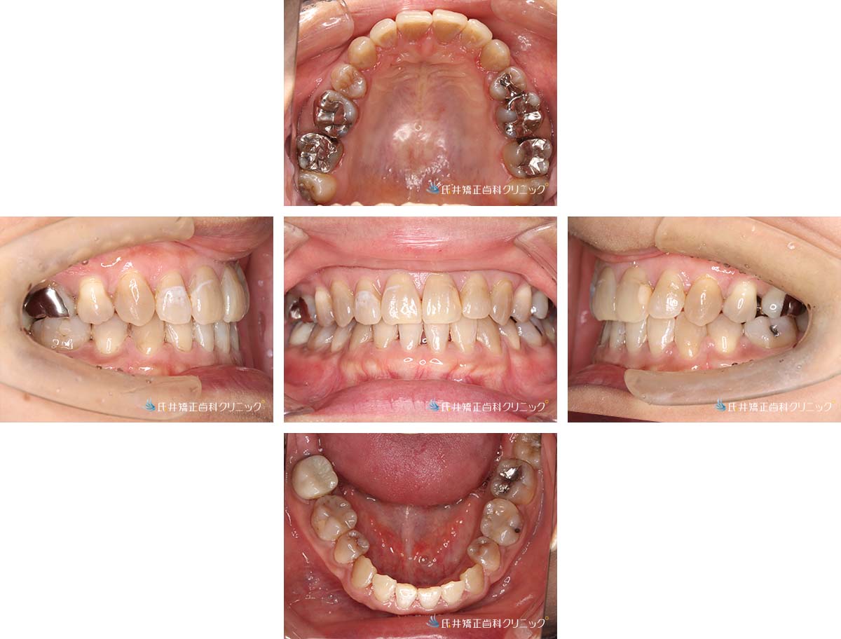
                | 主訴 | 上下前歯のガタガタ | 
|---|---|
| 治療装置 | 白い表側矯正装置 | 
| 抜歯 | 上下合わせて4本の抜歯 | 
| 治療期間 | 2年6ヶ月 | 
| 診断名 | 開咬を伴う叢生 | 
| 副作用 | 歯肉退縮・歯根吸収・歯髄・壊死・癒着による予期せぬ歯の動き | 
八重歯を改善するために、抜歯を行っての矯正治療をしました。一時的に前歯がわずかな歯根吸収を見られたため緩徐に歯の移動をしたので治療期間がすこし延長しましたが、現在は、保定中ですが、歯根の状態に問題有りません。
 
                 
                 
                 
                | 精密検査・診断料金 | 55,000円 | 
|---|---|
| 矯正料金 | 840,000円 | 
| 毎回の処置料金 | 3,300円 | 
 
                | 主訴 | かみ合わせが深い | 
|---|---|
| 治療装置 | 白い表側矯正装置 | 
| 抜歯 | 非抜歯 | 
| 治療期間 | 2年6ヶ月 | 
| 診断名 | 過蓋咬合 | 
| 副作用 | 歯肉退縮・歯根吸収・歯髄・壊死・癒着による予期せぬ歯の動き | 
かみ合わせが深いので、先に上の奥歯を後方に動かすことでかみ合わせを改善しました。前歯のかみ合わせを改善するのに時間がかかりました。
 
                 
                 
                 
                 
                | 精密検査・診断料金 | 55,000円 | 
|---|---|
| 矯正料金 | 840,000円 | 
| 毎回の処置料金 | 3,300円 | 
 
                | 主訴 | 前歯が噛んでいない | 
|---|---|
| 治療装置 | 白い表側矯正装置 | 
| 抜歯 | 非抜歯 | 
| 治療期間 | 2年6ヶ月 | 
| 診断名 | 開咬 | 
| 副作用 | 歯肉退縮・歯根吸収・歯髄・壊死・癒着による予期せぬ歯の動き | 
開咬のためインプラントアンカーを併用し、かみ合わせを改善しました。
 
                 
                 
                 
                | 精密検査・診断料金 | 55,000円 | 
|---|---|
| 矯正料金 | 840,000円 | 
| 毎回の処置料金 | 3,300円 | 
 
                | 主訴 | ガタガタ | 
|---|---|
| 治療装置 | 白い表側矯正装置 | 
| 抜歯 | 上下合わせて4本の抜歯 | 
| 治療期間 | 1年11ヶ月 | 
| 診断名 | 叢生 | 
| 副作用 | 歯肉退縮・歯根吸収・歯髄・壊死・癒着による予期せぬ歯の動き | 
かみ合わせが深いので、先に上の奥歯を後方に動かすことでかみ合わせを改善しました。
 
                 
                 
                 
                | 精密検査・診断料金 | 55,000円 | 
|---|---|
| 矯正料金 | 840,000円 | 
| 毎回の処置料金 | 3,300円 | 
 
                | 主訴 | 上の前歯の出っ歯とガタガタ | 
|---|---|
| 治療装置 | 白い表側矯正装置 | 
| 抜歯 | 上下合わせて6本の抜歯 | 
| 治療期間 | 3年11ヶ月 | 
| 診断名 | 骨格性上顎前突を伴う叢生 | 
| 副作用 | 歯肉退縮・歯根吸収・歯髄・壊死・癒着による予期せぬ歯の動き | 
骨格的な上顎前突と叢生量が多いので、上顎両側第一小臼歯と両側第二大臼歯を抜歯することで改善できたケース。
 
                 
                 
                 
                | 精密検査・診断料金 | 55,000円 | 
|---|---|
| 矯正料金 | 840,000円 | 
| 毎回の処置料金 | 3,300円 | 
 
                | 主訴 | 八重歯 | 
|---|---|
| 治療装置 | 白い表側矯正装置 | 
| 抜歯 | 上下合わせて4本の抜歯 | 
| 治療期間 | 3年11ヶ月 | 
| 診断名 | 骨格性上顎前突を伴う叢生 | 
| 副作用 | 歯肉退縮・歯根吸収・歯髄・壊死・癒着による予期せぬ歯の動き | 
骨格的な上顎前突と叢生量が多いので、上顎両側第一小臼歯と両側第二大臼歯を抜歯することで改善できたケース。
 
                 
                 
                | 精密検査・診断料金 | 55,000円 | 
|---|---|
| 矯正料金 | 840,000円 | 
| 毎回の処置料金 | 3,300円 | 
 
                | 主訴 | ガタガタ | 
|---|---|
| 治療装置 | 白い表側矯正装置 | 
| 抜歯 | 上下合わせて4本の抜歯 | 
| 治療期間 | 3年2ヶ月 | 
| 診断名 | 叢生 | 
| 副作用 | 歯肉退縮・歯根吸収・歯髄・壊死・癒着による予期せぬ歯の動き | 
叢生量が多いので、抜歯スペースを最大限に利用するためにインプラントアンカーを併用して改善を行いました。
 
                 
                 
                 
                | 精密検査・診断料金 | 55,000円 | 
|---|---|
| 矯正料金 | 840,000円 | 
| 毎回の処置料金 | 3,300円 | 
 
                | 主訴 | 前歯をかんでいない | 
|---|---|
| 治療装置 | 通常表側矯正装置 | 
| 抜歯 | 上2本 (親知らず4本) | 
| 治療期間 | 3年 | 
| 診断名 | 顎変形症に起因する骨格性開咬 | 
| 副作用 | 歯肉退縮・歯根吸収・歯髄・壊死・癒着による予期せぬ歯の動き | 
顎変形症に起因する骨格性開咬のため手術を併用した矯正治療で改善を行いました。
 
                 
                 
                 
                保険が適用されるため、当日の治療内容に応じて毎月1万円から2万円ほど費用がかかります。
矯正料金は、合計で約30万円
外科手術の料金は約30万円ほど必要ですが、外科手術に関する費用は、大学病院でお尋ねください。
 
                | 主訴 | ガタガタ | 
|---|---|
| 治療装置 | 白い表側矯正装置 | 
| 抜歯 | 上下合わせて3本の抜歯 | 
| 治療期間 | 3年2ヶ月 | 
| 診断名 | 叢生 | 
| 副作用 | 歯肉退縮・歯根吸収・歯髄・壊死・癒着による予期せぬ歯の動き | 
被せものが多かったので、最大限に利用するためにインプラントアンカーを併用して改善を行いました。
 
                 
                 
                | 精密検査・診断料金 | 55,000円 | 
|---|---|
| 矯正料金 | 840,000円 | 
| 毎回の処置料金 | 3,300円 | 
 
                | 主訴 | ガタガタ | 
|---|---|
| 治療装置 | 白い表側矯正装置 | 
| 抜歯 | 上2本の抜歯 | 
| 治療期間 | 3年2ヶ月 | 
| 診断名 | 上顎前突を伴う叢生 | 
| 副作用 | 歯肉退縮・歯根吸収・歯髄・壊死・癒着による予期せぬ歯の動き | 
抜歯スペースを最大限に利用するためにインプラントアンカーを併用して改善を行いました。
 
                 
                 
                 
                 
                | 精密検査・診断料金 | 55,000円 | 
|---|---|
| 矯正料金 | 840,000円 | 
| 毎回の処置料金 | 3,300円 | 
 
                | 主訴 | ガタガタ | 
|---|---|
| 治療装置 | ハーフリンガル | 
| 抜歯 | 上2本の抜歯 | 
| 治療期間 | 3年2ヶ月 | 
| 診断名 | 上顎前突を伴う叢生 | 
| 副作用 | 歯肉退縮・歯根吸収・歯髄・壊死・癒着による予期せぬ歯の動き | 
裏側にインプラントアンカーと特殊な装置を併用して、叢生の改善を行いました。
 
                 
                 
                | 精密検査・診断料金 | 55,000円 | 
|---|---|
| 矯正料金 | 1,190,000円 | 
| 毎回の処置料金 | 5,500円 | 
 
                | 主訴 | ガタガタ | 
|---|---|
| 治療装置 | 白い表側矯正装置 | 
| 抜歯 | 非抜歯 | 
| 治療期間 | 1年10ヶ月 | 
| 診断名 | 叢生 | 
| 副作用 | 歯肉退縮・歯根吸収・歯髄・壊死・癒着による予期せぬ歯の動き | 
口元の突出感に関しての改善を希望されなかったので、非抜歯でインプラントアンカーを併用して奥歯を後方に動かして、叢生の改善を行いました。
 
                 
                 
                 
                | 精密検査・診断料金 | 55,000円 | 
|---|---|
| 矯正料金 | 840,000円 | 
| 毎回の処置料金 | 3,300円 | 
 
                | 主訴 | 下の前歯がでこぼこ、正中あっていない | 
|---|---|
| 治療装置 | マウスピース型矯正装置 | 
| 抜歯 | 非抜歯 | 
| 治療期間 | 2年 | 
| 診断名 | 偏位を伴う叢生 | 
| 副作用 | 歯肉退縮・歯根吸収・歯髄・壊死・癒着による予期せぬ歯の動き | 
主訴である正中偏位に関しては、矯正治療に用いるゴムを併用して可能な限り改善しました。
 
                 
                 
                 
                | 精密検査・診断料金 | 55,000円 | 
|---|---|
| 矯正料金 | 940,000円 | 
| 毎回の処置料金 | 3,300円 | 
 
                | 主訴 | 上の前歯のガタガタ | 
|---|---|
| 治療装置 | マウスピース型矯正装置 | 
| 抜歯 | 非抜歯 | 
| 治療期間 | 2年 | 
| 診断名 | 右下1欠損を伴う上顎前突 | 
| 副作用 | 歯肉退縮・歯根吸収・歯髄・壊死・癒着による予期せぬ歯の動き | 
下は歯が一本なかったため、非抜歯で治療。
上の奥歯を後方移動させたり、上下のあごを広げることで叢生の改善を行った。
 
                 
                 
                 
                | 精密検査・診断料金 | 55,000円 | 
|---|---|
| 矯正料金 | 940,000円 | 
| 毎回の処置料金 | 3,300円 | 
 
                | 主訴 | 上の前歯のガタガタ | 
|---|---|
| 治療装置 | マウスピース型矯正装置 | 
| 抜歯 | 非抜歯 | 
| 治療期間 | 1年4ヶ月 | 
| 診断名 | 叢生 | 
| 副作用 | 歯肉退縮・歯根吸収・歯髄・壊死・癒着による予期せぬ歯の動き | 
マウスピースの装着時間を守られていたので、かみ合わせも歯並びもきれいに改善できました。
 
                 
                 
                 
                | 精密検査・診断料金 | 55,000円 | 
|---|---|
| 矯正料金 | 940,000円 | 
| 毎回の処置料金 | 3,300円 | 
 
                | 主訴 | 八重歯 | 
|---|---|
| 治療装置 | 白い表側からの矯正装置 | 
| 抜歯 | 非抜歯 | 
| 治療期間 | 1年10ヶ月 | 
| 診断名 | 叢生 | 
| 副作用 | 歯肉退縮・歯根吸収・歯髄・壊死・癒着による予期せぬ歯の動き | 
奥歯を後ろに動かすことでスペースを作り、八重歯を治しました。
 
                 
                 
                 
                | 精密検査・診断料金 | 55,000円 | 
|---|---|
| 矯正料金 | 840,000円 | 
| 毎回の処置料金 | 3,300円 | 
 
                | 主訴 | 上下のガタガタ | 
|---|---|
| 治療装置 | 白い表側からの矯正装置 | 
| 抜歯 | 上下合わせて3本の抜歯 | 
| 治療期間 | 3年1ヶ月 | 
| 診断名 | 右下6欠損を伴う叢生 | 
| 副作用 | 歯肉退縮・歯根吸収・歯髄・壊死・癒着による予期せぬ歯の動き | 
上下のガタガタは、抜歯をして改善し、右下6をインプランアンカーを用いて、前方に移動させました。
 
                 
                 
                | 精密検査・診断料金 | 55,000円 | 
|---|---|
| 矯正料金 | 890,000円 | 
| 毎回の処置料金 | 3,300円 | 
 
                | 主訴 | 出っ歯と口元の突出感 | 
|---|---|
| 治療装置 | 白い表側からの矯正装置 | 
| 抜歯 | 上下4本 | 
| 治療期間 | 3年 | 
| 診断名 | 歯槽性上下顎前突 | 
| 副作用 | 歯肉退縮・歯根吸収・歯髄・壊死・癒着による予期せぬ歯の動き | 
口元の突出感の改善を希望されましたたので、抜歯でインプラントアンカーを併用して口元の突出感の改善を行いました。
 
                 
                 
                 
                 
                | 精密検査・診断料金 | 55,000円 | 
|---|---|
| 矯正料金 | 840,000円 | 
| 毎回の処置料金 | 3,300円 | 
 
                | 主訴 | 出っ歯と口元の突出感 | 
|---|---|
| 治療装置 | 白い表側からの矯正装置 | 
| 抜歯 | 上下4本 | 
| 治療期間 | 2年11ヶ月 | 
| 診断名 | 軽度デコボコを伴う上下顎前突 | 
| 副作用 | 歯肉退縮・歯根吸収・歯髄・壊死・癒着による予期せぬ歯の動き | 
口元の突出感の改善を希望されましたので、抜歯を行うことで口元の突出感の改善を行いました。
 
                 
                 
                 
                 
                | 精密検査・診断料金 | 55,000円 | 
|---|---|
| 矯正料金 | 840,000円 | 
| 毎回の処置料金 | 3,300円 | 
 
                | 主訴 | ガタガタの改善 | 
|---|---|
| 治療装置 | 白い表側からの矯正装置 | 
| 抜歯 | 上下4本 | 
| 治療期間 | 2年11ヶ月 | 
| 診断名 | 歯肉退縮を伴う叢生 | 
| 副作用 | 歯肉退縮・歯根吸収・歯髄・壊死・癒着による予期せぬ歯の動き | 
可能なかぎり歯肉退縮を進行させないように時間をかけ歯を移動させました。
 
                 
                 
                 
                | 精密検査・診断料金 | 55,000円 | 
|---|---|
| 矯正料金 | 840,000円 | 
| 毎回の処置料金 | 3,300円 | 
 
                | 主訴 | 受け口 | 
|---|---|
| 治療装置 | 白い表側からの矯正装置 | 
| 抜歯 | 下2本 | 
| 治療期間 | 2年8ヶ月 | 
| 診断名 | スペース歯列を伴う下顎前突 | 
| 副作用 | 歯肉退縮・歯根吸収・歯髄・壊死・癒着による予期せぬ歯の動き | 
上あごの前から数えて二番目の歯が生まれつきなかったので、下を2本抜いて受け口を改善しました。
 
                 
                 
                 
                | 精密検査・診断料金 | 55,000円 | 
|---|---|
| 矯正料金 | 840,000円 | 
| 毎回の処置料金 | 3,300円 | 
 
                | 主訴 | ガタガタの改善 | 
|---|---|
| 治療装置 | マウスピース矯正装置 | 
| 抜歯 | 非抜歯 | 
| 治療期間 | 1年9ヶ月 | 
| 診断名 | 叢生 | 
| 副作用 | 歯肉退縮・歯根吸収・歯髄・壊死・癒着による予期せぬ歯の動き | 
マウスピースの装着時間を守られていたので、かみ合わせも歯並びもきれいに改善できました。
 
                 
                 
                 
                | 精密検査・診断料金 | 55,000円 | 
|---|---|
| 矯正料金 | 940,000円 | 
| 毎回の処置料金 | 3,300円 | 
 
                | 主訴 | 出っ歯とガタガタの改善 | 
|---|---|
| 治療装置 | 表側からの矯正装置 | 
| 抜歯 | 上2本 | 
| 治療期間 | 2年11ヶ月 | 
| 診断名 | 過蓋咬合を伴う上顎前突 | 
| 副作用 | 歯肉退縮・歯根吸収・歯髄・壊死・癒着による予期せぬ歯の動き | 
かみ合わせが著しく深いため、かみ合わせをあげるために、上の奥歯の咬合面に樹脂を盛り、一時的にかみ合わせをあげながら歯の移動を行いました。
 
                 
                 
                 
                | 精密検査・診断料金 | 55,000円 | 
|---|---|
| 矯正料金 | 840,000円 | 
| 毎回の処置料金 | 3,300円 | 
 
                | 主訴 | 前歯でご飯たべにくい | 
|---|---|
| 治療装置 | マウスピース矯正装置 | 
| 抜歯 | 非抜歯 | 
| 治療期間 | 2年7ヶ月 | 
| 診断名 | スペース歯列を伴う開咬 | 
| 副作用 | 歯肉退縮・歯根吸収・歯髄・壊死・癒着による予期せぬ歯の動き | 
マウスピースの装着時間を守られいたので、かみ合わせも歯並びもきれいに改善できました。
 
                 
                 
                 
                | 精密検査・診断料金 | 55,000円 | 
|---|---|
| 矯正料金 | 940,000円 | 
| 毎回の処置料金 | 3,300円 | 
 
                | 主訴 | 出っ歯とガタガタの改善 | 
|---|---|
| 治療装置 | マウスピース矯正装置 | 
| 抜歯 | 非抜歯 | 
| 治療期間 | 2年4ヶ月 | 
| 診断名 | 歯槽性上顎前突 | 
| 副作用 | 歯肉退縮・歯根吸収・歯髄壊死・癒着による予期せぬ歯の動き | 
マウスピース型矯正装置で非抜歯で改善を行いました。装着時間を守っていただいたので、きれいに改善しました。
 
                 
                 
                 
                 
                | 精密検査・診断料金 | 55,000円 | 
|---|---|
| 矯正料金 | 940,000円 | 
| 毎回の処置料金 | 4,400円 | 
 
                | 主訴 | 右上前歯2本が気になる | 
|---|---|
| 治療装置 | 白い表側矯正装置 | 
| 抜歯 | 非抜歯 | 
| 治療期間 | 1年 | 
| 診断名 | 骨歯槽性上顎前突 | 
| 副作用 | 歯肉退縮・歯根吸収・歯髄壊死・癒着による予期せぬ歯の動き | 
より綺麗にする希望を達成するために上下4本を抜歯。前歯のリトラクション(後方移動)を行うためにインプラントを使用。若年層ではあるが、インプラントの安定がよく、ヘッドギアに切り替えることなく、順調に進められた。
 
                 
                 
                 
                 
                 
                | 精密検査・診断料金 | 55,000円 | 
|---|---|
| 矯正料金 | 840,000円 | 
| 毎回の処置料金 | 3,300円 | 
 
                | 主訴 | 出っ歯とガタガタの改善 | 
|---|---|
| 治療装置 | 白い表側からの矯正装置 | 
| 抜歯 | 上下4本 | 
| 治療期間 | 2年11ヶ月 | 
| 診断名 | 叢生を伴う歯槽性上顎前突 | 
| 副作用 | 歯肉退縮・歯根吸収・歯髄壊死・癒着による予期せぬ歯の動き | 
八重歯の改善を行うため、まずは上左右2本左下1本抜歯し、治療開始1年後突出感の相談の上 右下1本の抜歯を行いました。インプラントアンカーを埋入して順調にスペースを閉じることができました。
 
                 
                 
                 
                 
                | 精密検査・診断料金 | 55,000円 | 
|---|---|
| 矯正料金 | 840,000円 | 
| 毎回の処置料金 | 3,300円 | 
 
                | 主訴 | 出っ歯とガタガタの改善 | 
|---|---|
| 治療装置 | 白い表側の矯正装置 | 
| 抜歯 | なし | 
| 治療期間 | 1年9ヶ月 | 
| 診断名 | 叢生を伴う上顎前突 | 
| 副作用 | 歯肉退縮・歯根吸収・歯髄壊死・癒着による予期せぬ歯の動き | 
口元がきれいなので、歯を抜かずワイヤー矯正治療で改善を行いました。
 
                 
                 
                 
                 
                | 精密検査・診断料金 | 55,000円 | 
|---|---|
| 矯正料金 | 840,000円 | 
| 毎回の処置料金 | 3,300円 | 
 
                | 主訴 | 出っ歯とガタガタの改善 | 
|---|---|
| 治療装置 | 白い表側からの矯正装置 | 
| 抜歯 | なし | 
| 治療期間 | 2年9ヶ月 | 
| 診断名 | 叢生 | 
| 副作用 | 肉退縮・歯根吸収・歯髄壊死・癒着による予期せぬ歯の動き | 
口元の突出感を改善を希望されなかったので、歯を抜かずワイヤー矯正で改善を行いました。
 
                 
                 
                 
                 
                | 精密検査・診断料金 | 55,000円 | 
|---|---|
| 矯正料金 | 840,000円 | 
| 毎回の処置料金 | 3,300円 | 
 
                | 主訴 | 出っ歯とガタガタの改善 | 
|---|---|
| 治療装置 | 白い表側の矯正装置 | 
| 抜歯 | 上2本 | 
| 治療期間 | 2年7ヶ月 | 
| 診断名 | 叢生を伴う上顎前突 | 
| 副作用 | 歯肉退縮・歯根吸収・歯髄壊死・癒着による予期せぬ歯の動き | 
下は歯が2本がなかったので非抜歯で治療。上顎小臼歯2本の抜歯をして、インプラントアンカーを併用して口元の改善を行いました。
 
                 
                 
                 
                 
                | 精密検査・診断料金 | 55,000円 | 
|---|---|
| 矯正料金 | 840,000円 | 
| 毎回の処置料金 | 3,300円 | 
 
                | 主訴 | 出っ歯とガタガタの改善 | 
|---|---|
| 治療装置 | 表側からの矯正装置 | 
| 抜歯 | 上下3本 | 
| 治療期間 | 2年10ヶ月 | 
| 診断名 | 歯槽性上顎前突 | 
| 副作用 | 歯肉退縮・歯根吸収・歯髄壊死・癒着による予期せぬ歯の動き | 
右下小臼歯が1本足りなかったので上2本下1本の抜歯スペースと上あごのインプラントアンカーを利用してガタガタと口元の改善をしました。
 
                 
                 
                 
                 
                | 精密検査・診断料金 | 55,000円 | 
|---|---|
| 矯正料金 | 840,000円 | 
| 毎回の処置料金 | 3,300円 | 
 
                | 主訴 | 出っ歯とガタガタの改善 | 
|---|---|
| 治療装置 | 表側からの矯正装置 | 
| 抜歯 | 左上1本 | 
| 治療期間 | 1期治療2年、2期治療2年 | 
| 診断名 | 叢生 | 
| 副作用 | 歯肉退縮・歯根吸収・歯髄壊死・癒着による予期せぬ歯の動き | 
1期治療はリンガルアーチで左上前歯のクロスバイトを改善し、ヘッドギアーで萌出スペースを確保。
2期治療で、左下が癒合歯だったので左上小臼歯1本を抜歯し、叢生の改善をしました。
 
                 
                 
                 
                 
                | 精密検査・診断料金 | 55,000円 | 
|---|---|
| 矯正料金 | 840,000円 | 
| 毎回の処置料金 | 3,300円 | 
 
                | 主訴 | 出っ歯とガタガタの改善 | 
|---|---|
| 治療装置 | 表側からの矯正装置 | 
| 抜歯 | 上下4本 | 
| 治療期間 | 1年2ヶ月 | 
| 診断名 | 歯槽性上下顎前突を伴う叢生 | 
| 副作用 | 歯肉退縮・歯根吸収・歯髄壊死・癒着による予期せぬ歯の動き | 
八重歯の改善を行うため抜歯が必要なケースでした。順調にスペースが閉鎖することができました。
 
                 
                 
                 
                 
                | 精密検査・診断料金 | 55,000円 | 
|---|---|
| 矯正料金 | 840,000円 | 
| 毎回の処置料金 | 3,300円 | 
 
                | 主訴 | 八重歯とガタガタの改善 | 
|---|---|
| 治療装置 | 表側からの矯正装置 | 
| 抜歯 | 上下4本 | 
| 治療期間 | 1年8ヶ月 | 
| 診断名 | 骨格性下顎前突を伴う叢生 | 
| 副作用 | 歯肉退縮・歯根吸収・歯髄壊死・癒着による予期せぬ歯の動き | 
八重歯の改善を行うため抜歯が必要なケースでした。下顎左側に骨硬化像が確認されたので通常であれば左下4抜歯を行いますが、安全に治療を進めていくために左下2番目の前歯を抜歯しました。
 
                 
                 
                 
                 
                 
                 
                 
                | 精密検査・診断料金 | 55,000円 | 
|---|---|
| 矯正料金 | 840,000円 | 
| 毎回の処置料金 | 3,300円 | 
 
                | 主訴 | 上の前歯が出ている ガタガタが気になる | 
|---|---|
| 治療装置 | 白い表側矯正装置 | 
| 抜歯 | 上下4本 | 
| 治療期間 | 1年11ヶ月 | 
| 診断名 | 歯槽性上下顎前突を伴う叢生 | 
| 副作用 | 歯肉退縮・歯根吸収・歯髄壊死・癒着による予期せぬ歯の動き | 
より綺麗にする希望を達成するために上下4本を抜歯。前歯のリトラクション(後方移動)を行った。
 
                 
                 
                 
                 
                | 精密検査・診断料金 | 55,000円 | 
|---|---|
| 矯正料金 | 840,000円 | 
| 毎回の処置料金 | 3,300円 | 
 
                | 主訴 | 上の2本が出てるのが気になる | 
|---|---|
| 治療装置 | 上裏側、下表側からのハーフリンガル矯正装置 | 
| 抜歯 | 上下4本 | 
| 治療期間 | 2年8ヶ月 | 
| 診断名 | 歯槽性上下顎前突を伴う叢生 | 
| 副作用 | 歯肉退縮・歯根吸収・歯髄壊死・癒着による予期せぬ歯の動き | 
より綺麗にする希望を達成するために上下4本を抜歯。前歯のリトラクション(後方移動)を行うためにインプラントを使用。若年層ではあるが、インプラントの安定がよく、ヘッドギアに切り替えることなく、順調に進められた。
 
                 
                 
                 
                 
                | 精密検査・診断料金 | 55,000円 | 
|---|---|
| 矯正料金 | 1,190,000円 | 
| 毎回の処置料金 | 5,500円 | 
 
                | 主訴 | 前歯のガタガタ、口元が出ている、Eラインが気になる | 
|---|---|
| 治療装置 | 白い表側矯正装置 | 
| 抜歯 | 上下4本 | 
| 治療期間 | 2年 | 
| 診断名 | 歯槽性上下顎前突を伴う叢生 | 
| 副作用 | 歯肉退縮・歯根吸収・歯髄壊死・癒着による予期せぬ歯の動き | 
マウスピース矯正希望でしたが、Eラインを気にされていたのでワイヤー矯正を提案。ガタガタと口元の突出感改善のため上下左右4本抜歯とインプラントアンカーを併用しました。
 
                 
                 
                 
                 
                 
                | 精密検査・診断料金 | 55,000円 | 
|---|---|
| 矯正料金 | 840,000円 | 
| 毎回の処置料金 | 3,300円 | 
 
                | 主訴 | 前歯の出っ歯とガタガタ | 
|---|---|
| 治療装置 | メタルブラケット(当院では現状使用しておりません) | 
| 抜歯 | 非抜歯 | 
| 治療期間 | 1年10ヶ月 | 
| 診断名 | 叢生および上顎前突 | 
| 副作用 | 歯肉退縮・歯根吸収・歯髄・壊死・癒着による予期せぬ歯の動き | 
小学生の矯正治療ですので、アゴを広げて奥歯を後方に移動させて治療を行いました。
下のガタガタに関しては、一期治療では希望されず二期治療で行う予定です。
 
                 
                 
                 
                | 精密検査・診断料金 | 20,900円 | 
|---|---|
| 矯正料金 | 480,000円 | 
| 毎回の処置料金 | 4,400円 | 
 
                | 主訴 | 上の前歯の隙間が気になる | 
|---|---|
| 治療装置 | 白い表側矯正装置 | 
| 抜歯 | 非抜歯 | 
| 治療期間 | 1年 | 
| 診断名 | スペース歯列 | 
| 副作用 | 歯肉退縮・歯根吸収・歯髄壊死・癒着による予期せぬ歯の動き | 
より綺麗にする希望を達成するために上下4本を抜歯。前歯のリトラクション(後方移動)を行うためにインプラントを使用。若年層ではあるが、インプラントの安定がよく、ヘッドギアに切り替えることなく、順調に進められた。
 
                 
                 
                 
                 
                 
                | 精密検査・診断料金 | 55,000円 | 
|---|---|
| 矯正料金 | 840,000円 | 
| 毎回の処置料金 | 3,300円 | 
 
                | 主訴 | 上下のガタガタが気になる | 
|---|---|
| 治療装置 | 白い表側矯正装置 | 
| 抜歯 | 上顎両側第一小臼歯抜歯 | 
| 治療期間 | 2年6ヶ月 | 
| 診断名 | 過蓋咬合を伴う叢生 | 
| 副作用 | 歯肉退縮・歯根吸収・歯髄壊死・癒着による予期せぬ歯の動き | 
歯並びを綺麗するために上2本の抜歯を行いました。
 
                 
                 
                 
                 
                | 精密検査・診断料金 | 55,000円 | 
|---|---|
| 矯正料金 | 840,000円 | 
| 毎回の処置料金 | 3,300円 | 
 
                | 主訴 | 上の前歯が出ているのが気になる | 
|---|---|
| 治療装置 | 白い表側矯正装置 | 
| 抜歯 | 上下顎両側第一小臼歯 抜歯 | 
| 治療期間 | 2年9ヶ月 | 
| 診断名 | 上顎前突 | 
| 副作用 | 歯肉退縮・歯根吸収・歯髄壊死・癒着による予期せぬ歯の動き | 
口元の突出感の改善を希望されましたので、上下4本抜歯を行うことで口元の突出感の改善を行いました。
 
                 
                 
                 
                 
                | 精密検査・診断料金 | 55,000円 | 
|---|---|
| 矯正料金 | 840,000円 | 
| 毎回の処置料金 | 3,300円 | 
 
                | 主訴 | 出っ歯が気になる | 
|---|---|
| 治療装置 | 白い表側矯正装置 | 
| 抜歯 | 上顎両側第一小臼歯 抜歯 | 
| 治療期間 | 2年5ヶ月 | 
| 診断名 | 上顎前突を伴う叢生 | 
| 副作用 | 歯肉退縮・歯根吸収・歯髄壊死・癒着による予期せぬ歯の動き | 
歯並びを綺麗するために上2本の抜歯を行いました。
 
                 
                 
                 
                 
                | 精密検査・診断料金 | 55,000円 | 
|---|---|
| 矯正料金 | 840,000円 | 
| 毎回の処置料金 | 3,300円 | 
 
                | 主訴 | 上下の八重歯とガタガタが気になる | 
|---|---|
| 治療装置 | 白い表側矯正装置 | 
| 抜歯 | 上下4本 抜歯 | 
| 治療期間 | 2年7ヶ月 | 
| 診断名 | 骨格性下顎前突を伴う叢生 | 
| 副作用 | 歯肉退縮・歯根吸収・歯髄壊死・癒着による予期せぬ歯の動き | 
歯並びを綺麗するためにを上2本下2本の抜歯を行いました。
 
                 
                 
                 
                 
                | 精密検査・診断料金 | 55,000円 | 
|---|---|
| 矯正料金 | 840,000円 | 
| 毎回の処置料金 | 3,300円 | 
 
                | 主訴 | 上下の八重歯とガタガタが気になる | 
|---|---|
| 治療装置 | 白い表側矯正装置 | 
| 抜歯 | 上下4本 抜歯 | 
| 治療期間 | 2年2ヶ月 | 
| 診断名 | 叢生を伴う開咬 | 
| 副作用 | 歯肉退縮・歯根吸収・歯髄壊死・癒着による予期せぬ歯の動き | 
歯並びを綺麗するためにを上2本下2本の抜歯を行いました。
 
                 
                 
                 
                 
                | 精密検査・診断料金 | 55,000円 | 
|---|---|
| 矯正料金 | 840,000円 | 
| 毎回の処置料金 | 3,300円 | 
 
                | 主訴 | 上のガタガタが気になる | 
|---|---|
| 治療装置 | 上顎部分的表側装置・ヘッドギア | 
| 抜歯 | 非抜歯 | 
| 治療期間 | 1年4ヶ月 | 
| 診断名 | クロスバイトおよび叢生 | 
| 副作用 | 歯肉退縮・歯根吸収・歯髄壊死・癒着による予期せぬ歯の動き | 
上顎前歯のスペース不足を改善するためにヘッドギアや表側装置で奥歯を後方に移動させた。1期治療で前歯の歯並びを改善させた。
 
                 
                 
                 
                 
                | 精密検査・診断料金 | 20,900円 | 
|---|---|
| 矯正料金 | 480,000円 | 
| 毎回の処置料金 | 4,400円 | 
 
                | 主訴 | 上下のガタガタが気になる | 
|---|---|
| 治療装置 | 白い表側矯正装置 | 
| 抜歯 | 上下顎両側第一小臼歯 抜歯 | 
| 治療期間 | 2年 | 
| 診断名 | 上下顎前突伴う叢生 | 
| 副作用 | 歯肉退縮・歯根吸収・歯髄壊死・癒着による予期せぬ歯の動き | 
歯並びを綺麗するためにを上下4本の抜歯を行いました。
 
                 
                 
                 
                 
                | 精密検査・診断料金 | 55,000円 | 
|---|---|
| 矯正料金 | 840,000円 | 
| 毎回の処置料金 | 3,300円 | 
 
                | 主訴 | ガタガタ・出っ歯が気になる | 
|---|---|
| 治療装置 | 白い表側矯正装置 | 
| 抜歯 | 上下顎両側第一小臼歯 抜歯 | 
| 治療期間 | 2年9ヶ月 | 
| 診断名 | 歯槽性上下顎前突を伴う叢生 | 
| 副作用 | 歯肉退縮・歯根吸収・歯髄壊死・癒着による予期せぬ歯の動き | 
前突を改善するために上下顎の抜歯および顎間ゴム、スライスカットを行いました。
 
                 
                 
                 
                 
                | 精密検査・診断料金 | 55,000円 | 
|---|---|
| 矯正料金 | 840,000円 | 
| 毎回の処置料金 | 3,300円 | 
 
                | 主訴 | ガタガタが気になる | 
|---|---|
| 治療装置 | 白い表側矯正装置 | 
| 抜歯 | 上顎両側第一小臼歯 下顎両側第三大臼歯 抜歯 | 
| 治療期間 | 11ヶ月 | 
| 診断名 | 叢生を伴う歯槽性上顎前突 | 
| 副作用 | 歯肉退縮・歯根吸収・歯髄壊死・癒着による予期せぬ歯の動き | 
歯並びを綺麗するためにを上2本の抜歯を行いました。
 
                 
                 
                 
                 
                | 精密検査・診断料金 | 55,000円 | 
|---|---|
| 矯正料金 | 840,000円 | 
| 毎回の処置料金 | 3,300円 | 
 
                | 主訴 | 前歯でものが噛み切れない | 
|---|---|
| 治療装置 | 白い表側矯正装置 | 
| 抜歯 | 上顎両側第一小臼歯 抜歯 | 
| 治療期間 | 1年5ヶ月 | 
| 診断名 | 開咬 | 
| 副作用 | 歯肉退縮・歯根吸収・歯髄壊死・癒着による予期せぬ歯の動き | 
歯並びを綺麗にするために上2本の抜歯を行いました。
 
                 
                 
                 
                 
                | 精密検査・診断料金 | 55,000円 | 
|---|---|
| 矯正料金 | 840,000円 | 
| 毎回の処置料金 | 3,300円 | 
 
                | 主訴 | ガタガタ・口元が出てる・開咬 | 
|---|---|
| 治療装置 | 白い表側矯正装置 | 
| 抜歯 | 上顎両側4番 下顎両側5番 抜歯 | 
| 治療期間 | 1年10ヶ月 | 
| 診断名 | ハイアングルを伴う重度の叢生 | 
| 副作用 | 歯肉退縮・歯根吸収・歯髄壊死・癒着による予期せぬ歯の動き | 
歯並びを綺麗するためにを上4本の抜歯を行いました。
 
                 
                 
                 
                 
                | 精密検査・診断料金 | 55,000円 | 
|---|---|
| 矯正料金 | 840,000円 | 
| 毎回の処置料金 | 3,300円 | 
 
                | 主訴 | 口元が出ている 隙間が気になる | 
|---|---|
| 治療装置 | 白い表側矯正装置 | 
| 抜歯 | 非抜歯 | 
| 治療期間 | 2年2ヶ月 | 
| 診断名 | 過蓋咬合を伴う上顎前突 | 
| 副作用 | 歯肉退縮・歯根吸収・歯髄壊死・癒着による予期せぬ歯の動き | 
著しい過蓋咬合およびスペース歯列のため 非抜歯およびインプラントアンカーで 全体的な後方移動を行いました。
 
                 
                 
                 
                 
                | 精密検査・診断料金 | 55,000円 | 
|---|---|
| 矯正料金 | 840,000円 | 
| 毎回の処置料金 | 3,300円 | 
 
                | 主訴 | 口元が出てるのが気になる | 
|---|---|
| 治療装置 | 白い表側矯正装置 | 
| 抜歯 | 上顎両側第一小臼歯 抜歯 | 
| 治療期間 | 1年10ヶ月 | 
| 診断名 | 骨格性上顎前突を伴う叢生 | 
| 副作用 | 歯肉退縮・歯根吸収・歯髄壊死・癒着による予期せぬ歯の動き | 
歯並びを綺麗するためにを上下2本の抜歯を行いました。
 
                 
                 
                 
                 
                | 精密検査・診断料金 | 55,000円 | 
|---|---|
| 矯正料金 | 840,000円 | 
| 毎回の処置料金 | 3,300円 | 
 
                | 主訴 | 前歯でものが噛みきれない | 
|---|---|
| 治療装置 | マウスピース型矯正装置 | 
| 抜歯 | 非抜歯 | 
| 治療期間 | 1年1ヶ月 | 
| 診断名 | 開咬 | 
| 副作用 | 歯肉退縮・歯根吸収・歯髄壊死・癒着による予期せぬ歯の動き | 
開咬の改善のため、上下の奥歯の後方移動および圧下を行いました。
 
                 
                 
                 
                 
                | 精密検査・診断料金 | 55,000円 | 
|---|---|
| 矯正料金 | 940,000円 | 
| 毎回の処置料金 | 4,400円 | 
 
                | 主訴 | 前歯でものが噛みきれない | 
|---|---|
| 治療装置 | マウスピース型矯正装置 | 
| 抜歯 | 非抜歯 | 
| 治療期間 | 10ヶ月 | 
| 診断名 | 開咬 | 
| 副作用 | 歯肉退縮・歯根吸収・歯髄壊死・癒着による予期せぬ歯の動き | 
開咬の改善のため、上下の奥歯の後方移動および圧下を行いました。
 
                 
                 
                 
                 
                | 精密検査・診断料金 | 55,000円 | 
|---|---|
| 矯正料金 | 940,000円 | 
| 毎回の処置料金 | 4,400円 | 
 
                | 主訴 | 前歯出てるのを治したい | 
|---|---|
| 治療装置 | マウスピース型矯正装置 | 
| 抜歯 | 上顎両側4番抜歯 | 
| 治療期間 | 2年11ヶ月 | 
| 診断名 | 骨格性上顎前突 | 
| 副作用 | 歯肉退縮・歯根吸収・歯髄壊死・癒着による予期せぬ歯の動き | 
歯軋りが酷く、ナイトガードをしないと歯がしみるので、マウスピース矯正を希望されました。抜歯とスライスカット、および顎間ゴムで改善しました。
 
                 
                 
                 
                | 精密検査・診断料金 | 55,000円 | 
|---|---|
| 矯正料金 | 940,000円 | 
| 毎回の処置料金 | 3,300円 | 
 
                | 主訴 | ガタガタ | 
|---|---|
| 治療装置 | 上:裏側矯正装置、下:白い表側矯正装置 | 
| 抜歯 | 上下顎両側4番抜歯 | 
| 治療期間 | 2年 | 
| 診断名 | 叢生 | 
| 副作用 | 歯肉退縮・歯根吸収・歯髄壊死・癒着による予期せぬ歯の動き | 
主訴である叢生を改善するために、上下顎の抜歯および顎間ゴムおよびスライスカットを行いました。
 
                 
                 
                 
                 
                | 精密検査・診断料金 | 55,000円 | 
|---|---|
| 矯正料金 | 1,190,000円 | 
| 毎回の処置料金 | 6,600円 | 
 
                | 主訴 | 口元が出ている | 
|---|---|
| 治療装置 | ハイブリット(白い表側矯正装置とマウスピース型矯正装置) | 
| 抜歯 | 抜歯 | 
| 治療期間 | 2年9ヶ月 | 
| 診断名 | 上下顎前突 | 
| 副作用 | 歯肉退縮・歯根吸収・歯髄壊死・癒着による予期せぬ歯の動き | 
白い表側矯正装置からはじめ、上下顎4本の抜歯を行いました。抜歯スペースが1m mになった際にマウスピースに切り替えました。
 
                 
                 
                 
                 
                 
                | 精密検査・診断料金 | 55,000円 | 
|---|---|
| 矯正料金 | 940,000円 | 
| 毎回の処置料金 | 4,400円 |