上下顎前突について(口ゴボ)

BIMAXILLARY-PROTRUSION

上下顎前突(口ゴボ)とは

ABOUT

「口ゴボ」とは、上下の歯・顎が前方に突き出ており、横顔で唇が前に飛び出して見える状態です。医学的には上下顎前突(じょうかがくぜんとつ)と呼ばれ、歯の傾き・骨格・軟組織が複合的に関与しています。

  • 笑う時、口元を手で隠してしまう
  • 横顔の写真を撮られるのが苦手
  • 口を閉じると顎に梅干しのシワができる
  • Eラインが気になってマスクが手放せない

E-LINE とは?

鼻先と顎先を結んだラインを「Eライン(エステティックライン)」と呼びます。理想的な横顔では、上下の唇がこのラインの内側またはぴったりに位置します。
口ゴボでは唇がEラインより前に突き出るため、横顔のシルエットにコンプレックスを感じる方が多くいます。

BEFORE 治療前
Eラインより唇が前方に突出している状態
※ 実際の患者さん(同意を得て掲載)

原因は「歯の傾き」か「骨格」か——同じ口ゴボでも、原因によって治療法はまったく異なります。

単なるレントゲンでは骨の厚みや歯根の状態を正確に把握できません。当院では初診からCT(3D分析)を撮影し、あなたの口ゴボの原因を正確に特定したうえで治療計画を立てます。

上下顎前突の原因とは

CAUSE

下記の問題は個別または組み合わせて発生する可能性があり、そのため上下顎前突の治療は個々の患者様に合わせて治療をする必要があります。また、適切な診断と治療プランを策定するためには、矯正歯科医と他の専門家との連携する場合もあります。

歯の傾斜の問題

歯の傾斜は、上下顎前突が起こる重要な要因となる可能性があります。上下の歯が外側に傾斜している場合、いわゆる口ゴボの外観を作り出す可能性があります。歯の傾斜は通常、不適切な歯のエクストラクション、習慣的な口呼吸、または親指しゃぶりなどの悪いオーラルハビットによって引き起こされる可能性があります。

骨格的な問題

あごの位置が通常よりも差がある場合も、上下顎前突や口ゴボの原因になりえます。特に下顔面高といって、鼻下とアゴの先端が長い場合などは、口唇を閉じることが困難になり、結果的に口ゴボを引き起こす可能性があります。個人差によりますが、骨格的な問題のみで口ゴボになる場合は、通常の矯正治療だけでは対応できない可能性があります。

軟組織の問題

上口唇の厚さや柔軟性、および周囲の軟組織の状態は、上下口唇の突出感に影響を与える可能性があります。これらの軟組織の問題は、顔の全体的な外観と口ゴボの程度に影響を与える可能性があります。

上下顎前突は治療が必要なのか?

NECESSITY
NECESSITY 01

審美的な問題

上下口唇の突出や口ゴボは、人々の自信や社会的交流に影響を及ぼす可能性があります。顔のプロフィールを改善することによって、満足度や生活の質を向上させることができます。

NECESSITY 02

機能的な問題

上下顎前突だけが問題で、咬み合わせなどの機能的な問題がない場合も考えられます。そのため、治療の必要性を正確に判断するためには、精密検査が欠かせません。例えば、上下顎前突により口唇閉鎖不全が生じる、または歯の叢生(デコボコ)などの所見が確認される場合、矯正治療が必要となることがあります。

あなたに合った装置を選ぶ

TREATMENT DEVICE

口ゴボの治療効果はどちらも同じ。
見た目・費用・ライフスタイルに合わせて、一緒に最適な装置を選びます。

治療効果を最優先したい方へ

DEVICE 01

ラビアル|表側ワイヤー矯正

歯の表側にブラケットを装着し、ワイヤーで歯を動かす最もスタンダードな矯正方法。アンカースクリューとの相性がよく、前歯を最大限に後退させることができます。

MERIT

  • 最も確実に前歯を後退させられる
  • アンカースクリューとの相性が最高
  • 調整がしやすく治療精度が高い
  • 費用を比較的抑えられる

こんな方に向いています

装置の見た目より治療効果を優先したい方・費用を抑えたい方

矯正治療費(目安) 83万〜93万円

目立たず、費用も抑えたい方へ

DEVICE 02

ハーフリンガル|上顎裏側矯正

上顎は歯の裏側、下顎は表側に装置を装着。
笑ったときに最も目立つ上の歯を完全に隠しながら、フルリンガルより費用を抑えられる賢い選択肢です。

MERIT

  • 笑顔のとき上の装置が見えない
  • フルリンガルより費用が抑えられる
  • 表側と同等の治療効果
  • アンカースクリューとの併用も可能

こんな方に向いています

装置を目立たせたくない方・費用とのバランスを重視する方

矯正治療費(目安) 114万〜124万円

治療方針をきめる3つのポイント

POINT

口ゴボ治療は「スペースの確保」だけでなく、「安全性」「仕上がりの美しさ」まで設計します。
当院が口ゴボ治療でこだわる3つのポイントです。

3D CT|
骨格・骨密度の立体把握

セファロ|
前突量を数値で計測

POINT 01

CTデータで「安全な移動量」を事前に把握する

勘に頼らない、データに基づく治療設計。CT撮影で骨の厚み・歯根の傾きを3D分析することで、無理な移動による歯ぐきの退縮リスクを事前に防ぎます。抜歯の可否も画像と数値で丁寧にご説明します。

「骨が薄い部分を無理に動かすと歯ぐきが下がる」——このリスクをCTで特定し、安全な移動経路を設計してから治療をスタートします。
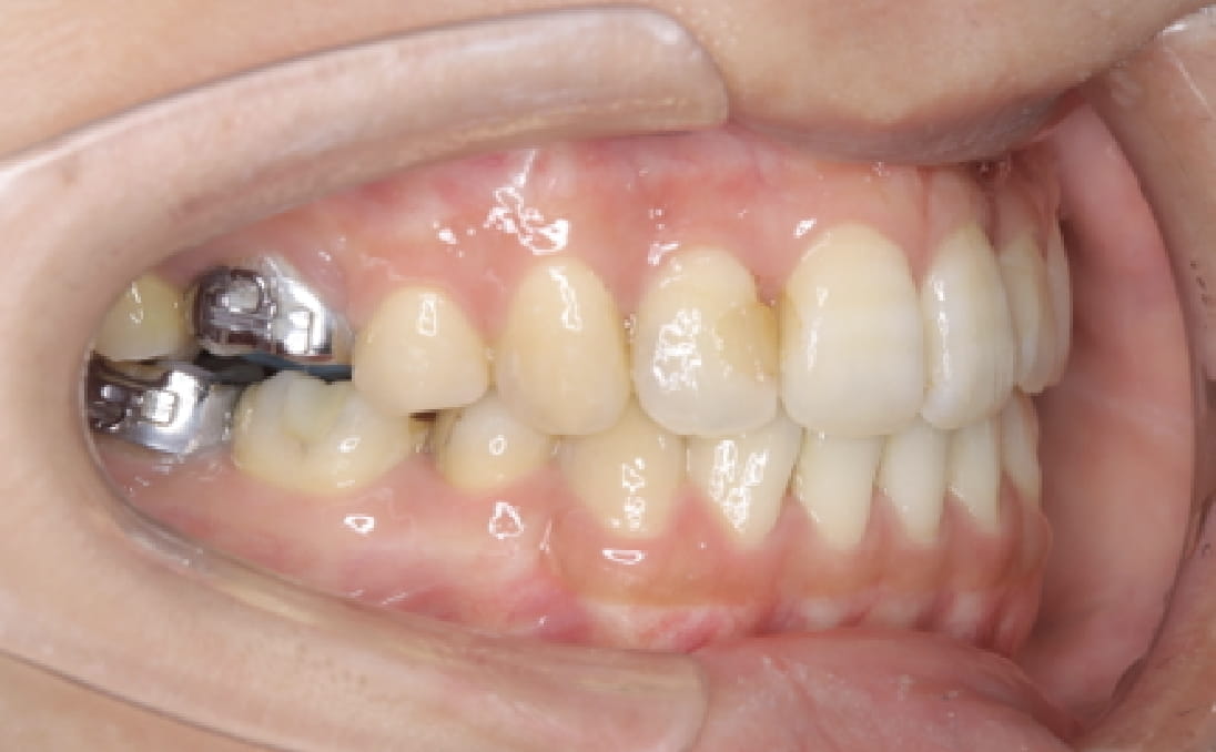
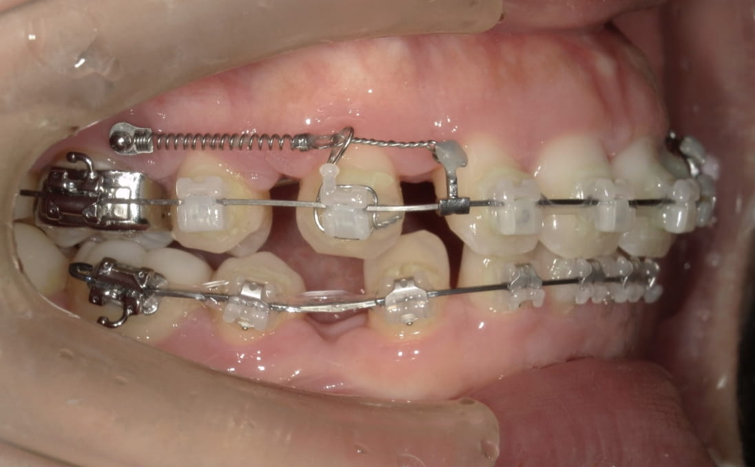
インプラントアンカー埋入中

アンカースクリューが内側にあります

口腔内|スクリューが外側についています

POINT 02

インプラントアンカーで前歯を限界まで後ろへさげる

骨に固定したアンカースクリューを支点にすることで、抜歯スペースを前歯後退に100%集中できます。骨格的な突出でも、アンカーがあれば最大限まで改善できます。

「インプラント」という言葉に不安を感じる方へ。局所麻酔をして数分で完了、痛みはほぼありません。歯を動かすための小さなネジで、治療後は取り外します。
POINT 03

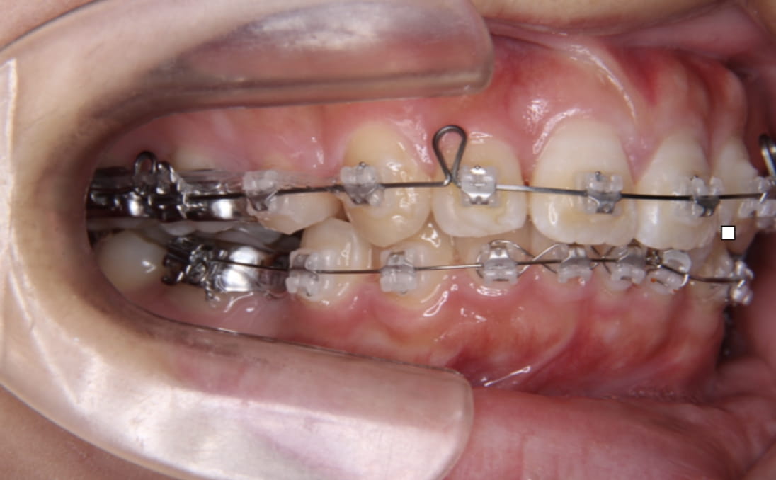
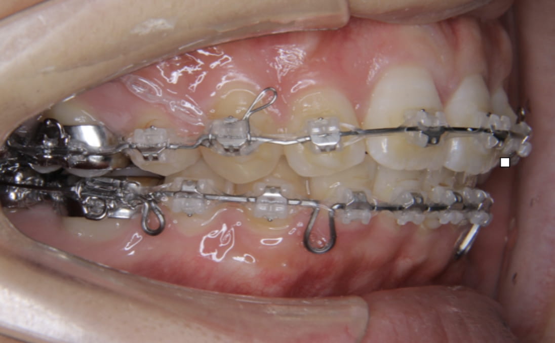
前歯を「倒す」のではなく「根元から平行に引く」技術

ここが最も重要なポイントです。前歯をただ内側に傾けるだけでは、歯が倒れて不自然な口元になります。インプラントアンカーにフックを取り付けて引っ張る、またはワイヤーにループメカニクスを組み込むことで、歯を根元から平行に後退させる歯体移動(リトラクション)が実現します。%集中できます。骨格的な突出でも、アンカーがあれば最大限まで改善できます。

前歯の「根元」と「先端」に均等に力を加えることで傾かずに平行移動します。
これが、マウスピース矯正では難しく、ワイヤー矯正が口ゴボ治療に有利な最大の理由です。

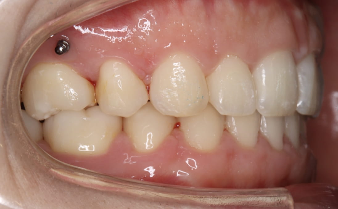
アンカー+フック牽引
アンカーにフックを掛けて前歯を平行に牽引(岡本さん・1年半後)

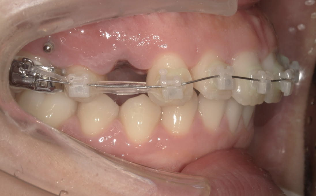
ループメカニクス
ワイヤーにループを組み込んで前歯を根元から平行移動(辻井さん・治療中)

症例集

CASE

《叢生(デコボコ)を伴う上下顎前突》

症例1
性別:女性 年齢:19歳 お住まいの地域:奈良市
主訴 前歯のガタガタと出っ歯
治療装置 白い表側矯正装置
抜歯 4本の抜歯
治療期間 2年2ヶ月
診断名 歯槽性上下顎前突
副作用 歯肉退縮・歯根吸収・歯髄・壊死・癒着による予期せぬ歯の動き

上下の歯の前歯の角度が傾斜しているため、抜歯が必要なケースでした。
上下の前突感を可能な限り後ろに下げました。

治療前
治療前
治療中
治療中
治療後
治療後
顔貌
顔貌
治療費の概算
精密検査・診断料金 55,000円
矯正料金 840,000円
毎回の処置料金 3,300円

《歯槽性上下顎前突を伴う叢生》

症例42
性別:女性 年齢:13歳 お住まいの地域:奈良市
主訴 上の2本が出てるのが気になる
治療装置 上裏側、下表側からのハーフリンガル矯正装置
抜歯 上下4本
治療期間 2年8ヶ月
診断名 歯槽性上下顎前突を伴う叢生
副作用 歯肉退縮・歯根吸収・歯髄壊死・癒着による予期せぬ歯の動き

より綺麗にする希望を達成するために上下4本を抜歯。前歯のリトラクション(後方移動)を行うためにインプラントを使用。若年層ではあるが、インプラントの安定がよく、ヘッドギアに切り替えることなく、順調に進められた。

治療前
治療前
治療中(19ヶ月後)
治療中(19ヶ月後)
治療中(23ヶ月後)
治療中(23ヶ月後)
治療後
治療後
顔貌
顔貌
治療費の概算
精密検査・診断料金 55,000円
矯正料金 1,190,000円
毎回の処置料金 5,500円

《上下顎前突》

症例63
性別:女性 年齢:20歳 お住まいの地域:奈良市
主訴 口元が出ている
治療装置 ハイブリット(白い表側矯正装置とマウスピース型矯正装置)
抜歯 抜歯
治療期間 2年9ヶ月
診断名 上下顎前突
副作用 歯肉退縮・歯根吸収・歯髄壊死・癒着による予期せぬ歯の動き

白い表側矯正装置からはじめ、上下顎4本の抜歯を行いました。抜歯スペースが1m mになった際にマウスピースに切り替えました。

治療前
治療前
治療中(3ヶ月後)
治療中(3ヶ月後)
治療中(6ヶ月後)
治療中(6ヶ月後)
治療中(1年2ヶ月後)
治療中(1年2ヶ月後)
治療後
治療後
顔貌
顔貌
治療費の概算
精密検査・診断料金 55,000円
矯正料金 940,000円
毎回の処置料金 4,400円

《上下顎前突》

症例
主訴 口ゴボが気になる
治療装置 表側ワイヤー矯正・アンカースクリュー
抜歯 抜歯あり
診断名 上下顎前突(口ゴボ)
副作用 歯肉退縮・歯根吸収・歯髄・壊死・癒着による予期せぬ歯の動き

アンカースクリューで前歯を最大限に後退。Eラインの内側に唇が収まり、顎の梅干しシワも解消。横顔のシルエットが劇的に改善した症例。

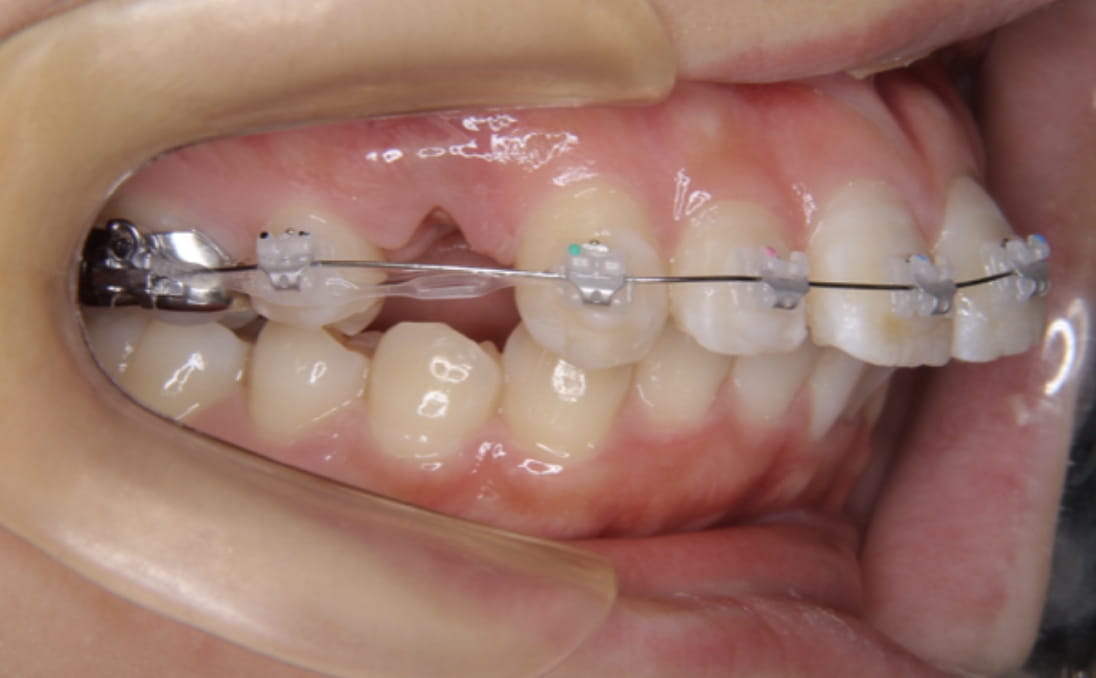
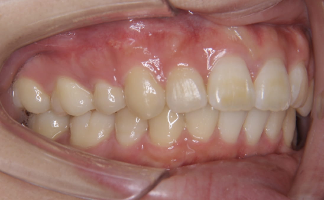
治療前
治療中①
治療中②
治療中③
治療後
顔貌

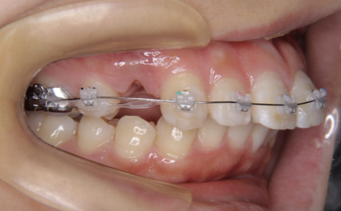
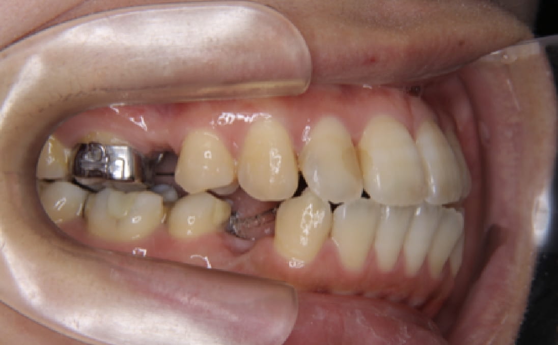
《上下顎前突》

症例
主訴 口ゴボが気になる
治療装置 ハーフリンガル矯正(上顎裏側・下顎表側)
抜歯 抜歯あり
診断名 上下顎前突(口ゴボ)
副作用 歯肉退縮・歯根吸収・歯髄・壊死・癒着による予期せぬ歯の動き

上下顎ともに裏側で装置を完全に隠しながら、アンカースクリューで前歯をしっかり後退。見た目と仕上がりを両立した症例。

治療前
治療中①
治療中②
治療中③
治療後
顔貌

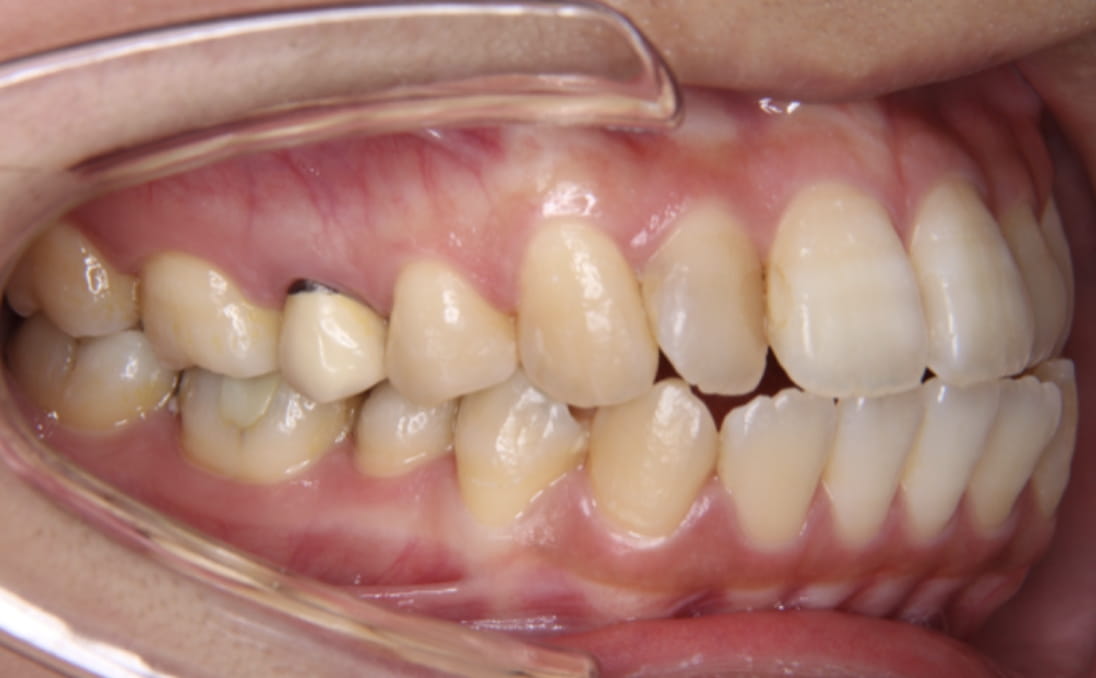
《上下顎前突》

症例
主訴 口ゴボが気になる
治療装置 アンカースクリュー
抜歯 抜歯あり
診断名 上下顎前突(口ゴボ)
副作用 歯肉退縮・歯根吸収・歯髄・壊死・癒着による予期せぬ歯の動き

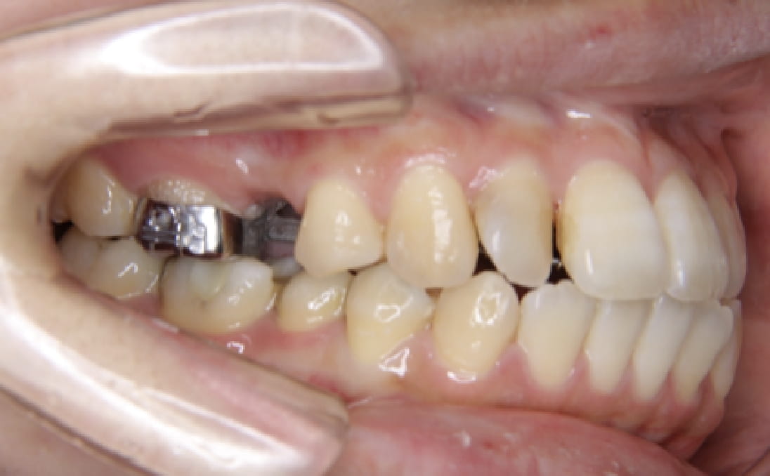
他院で抜歯なし矯正を行ったが口ゴボが残存。来院時は上顎に固定式ワイヤーが入った状態。CT分析→抜歯+アンカー埋入で劇的に改善。22歳・奈良市。

治療前
治療中①
治療中②
治療中③
治療後
顔貌

よくある質問

FAQ
Q

抜歯が必要でしょうか?

A

口ゴボの原因が上下の前歯の傾斜が原因であれば、抜歯が必要となる可能性があります。

Q

ワイヤーの見た目に抵抗感があるので、マウスピース治療では難しいでしょうか?

A

精密検査が必要になりますが、上下顎前突を改善することが一番の目的であればマウスピースよりワイヤー矯正治療をおすすめいたします。見た目の抵抗感であるならば、裏側からの矯正治療もありますので、もしよかったらカウンセリングにお越しください。