目次
💒「結婚式はまだ決まっていないのですが、だいたい1年後くらいで…八重歯の矯正は間に合いますか?」
実際のカウンセリングや矯正治療中に、こうしたご相談はとても多いです。
大切なイベントに向けて、**「矯正装置がついたままでは嫌だ」「抜歯した隙間は閉じるのか心配」**といった不安の声を聞くこともあります。
奈良の氏井矯正歯科クリニックでは、矯正専門医院としてそうした不安に寄り添い、治したい部位をしっかりヒアリングすることを大切にしています。そのうえで、歯並びの状態によっては “半年〜1年で見た目を大きく変えることが可能” です。さらに、結婚式や成人式など大切な日には、一時的に装置を外して写真やイベントを楽しむこともできます。
「イベントまでに八重歯のガタガタはどこまできれいにできるのか?」——この記事ではその考え方をお伝えします。

実際の八重歯症例:リアルタイムで治療進行中
まずは、リアルタイムで治療進行中の患者様についてご紹介いたします。
「1年後に結婚式を予定されている」患者様です。
初診時の写真からも分かるように、前歯に強い叢生(ガタガタ)があり、笑ったときに歯並びの乱れが目立つ状態でした。
【治療開始前】八重歯の矯正を始める前の歯並び


患者様が最も希望されたのは 「結婚式では装置を外して、自然な笑顔で写真を残したい」 ということ。
完全に仕上がるまでには2〜3年ほど必要ですが、見た目の大きな改善は1年ほどでも十分に可能です。そこで当院では、ワイヤー矯正を選択し、上顎の第一小臼歯(前から4番目)の抜歯を含む治療計画をご提案しました。
【治療経過】八重歯矯正を始めて1か月後の歯並び変化


治療を開始してから約1か月が経過しました。
上顎の第一小臼歯を抜歯し、ワイヤー矯正をスタートさせています。写真でもお分かりいただけるように、抜歯したスペースを利用して歯を動かす準備が整いつつあります。
この時期は、見た目の大きな変化はまだ少ないものの、歯がじわじわと動き始め、歯列が並ぶための基盤が作られていく大切な段階です。
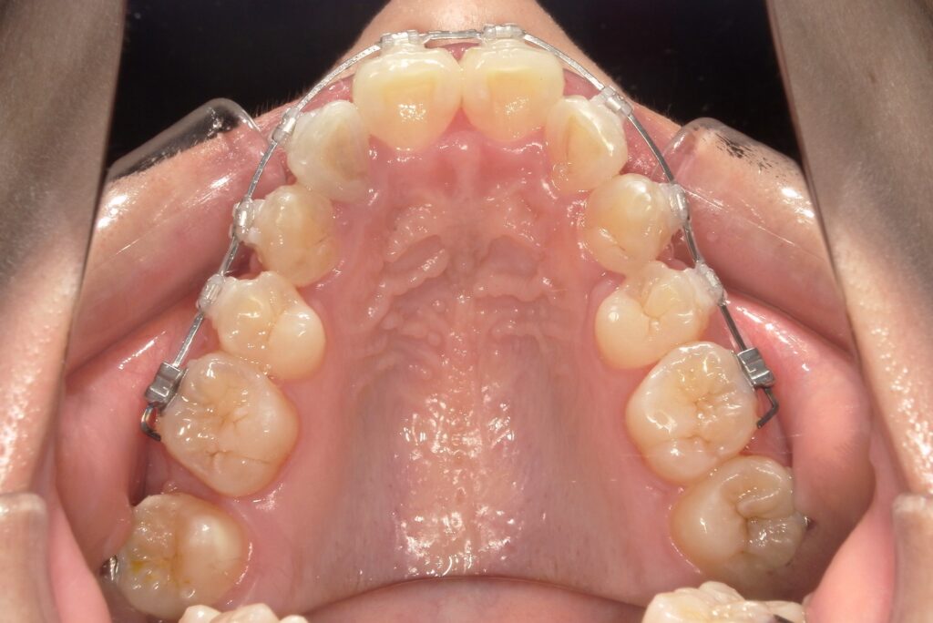
【治療経過】八重歯矯正を始めて4か月後の歯並び変化


【治療経過】八重歯矯正を始めて7か月後の歯並び変化


今後のご対応(結婚式直前)について
結婚式の前には、ご希望に合わせて装置を外すことができます。
外す場所ごとに費用はかかりますが、笑顔で見えやすい上の装置を外される方が多いです。外した部分はそのままにしておくと少しずつ元に戻ることがありますので、きれいな状態を安心して保っていただけるように、透明のマウスピースをご用意しています。
結婚式が終わりましたら、ご都合のよいタイミングで再び矯正装置をつけて治療を続けていくことが可能ですので、どうぞご安心して矯正治療のご相談にお越しください。


八重歯やデコボコした歯並びでお悩みの方へ。
