「前歯のガタガタを治したいけれど、装置が目立つのは嫌…」
そんなお悩みから矯正相談に来られた患者さんのケースをご紹介します。
今回の患者さんは、マウスピース矯正をご希望でしたが、精密検査の結果をふまえ、上は裏側(リンガル)、下は表側の「ハーフリンガル矯正」をご提案しました。
カウンセリングの流れを通して、装置選びの考え方をお伝えします。
目次
初診カウンセリング|「ガタガタを治したいけど目立つのはイヤ」
初診カウンセリングではまず、鏡を見ながらお悩みを伺います。
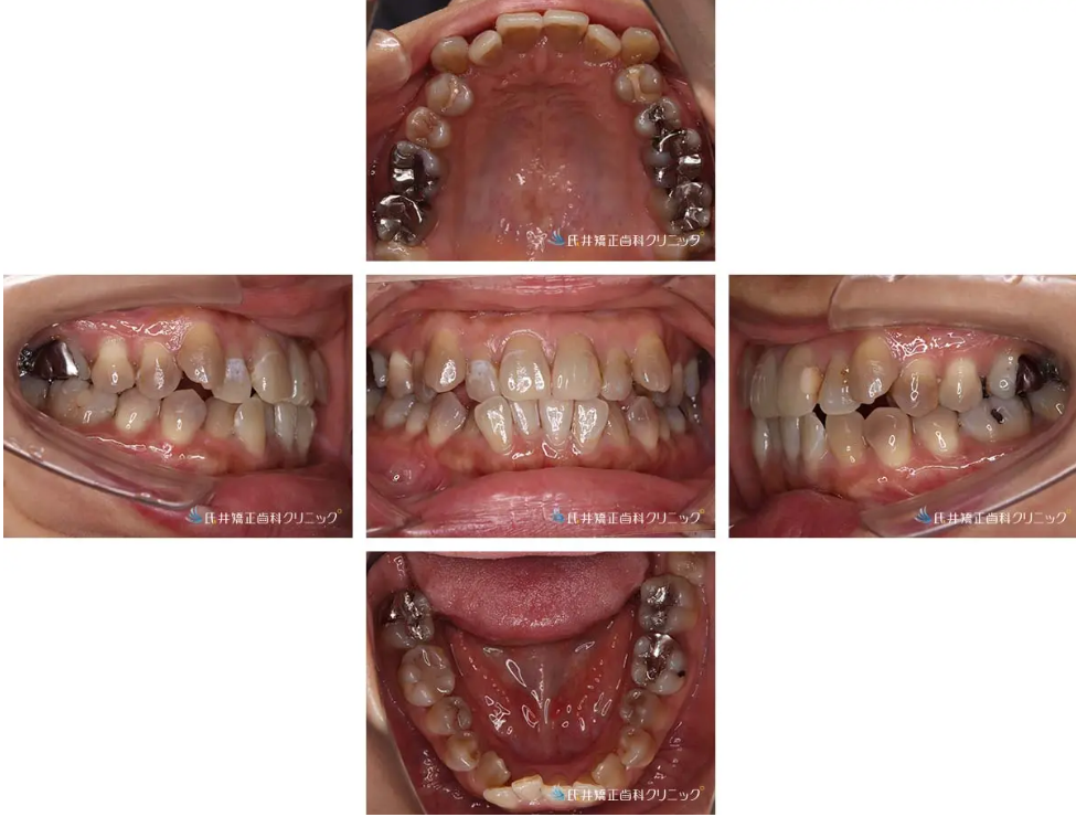
患者さんは30代女性。
「前歯の重なりが3年前から気になっていて、マウスピースでできるならやってみたいです」
とのことでした。
拝見すると、上の犬歯がやや外側に出ており、前歯部に**叢生(ガタガタ)**が見られました。
また、上下の真ん中(正中線)にも少しズレがありました。



マウスピース矯正で治せる?
マウスピース矯正は、
・目立たない
・取り外しができる
・痛みが少ない
といった利点があります。
一方で、歯の重なりが大きいケースや正中のズレがある場合、歯を動かすための「スペースづくり」が難しくなることがあります。
「マウスピースでも並べることは可能ですが、治療効率や精度を考えると、部分的にワイヤーを使う方が確実かもしれません。」
そこで次にご提案したのが「ハーフリンガル矯正」です。

ハーフリンガル矯正とは?
上の歯は裏側(リンガル)に、下の歯は表側にワイヤーを装着する方法です。
人と話した時に見える上の歯を裏側にすることで、目立たずにしっかり動かすことができます。
メリット
・上の装置が見えにくい
・ワイヤーでコントロール性が高い
・マウスピースよりも治療期間が安定しやすい
デメリット
・装着初期は舌に違和感が出る
・清掃に少し慣れが必要

診断
カウンセリングの後、
・CT・セファロ(頭部X線)
・デンタル
・3Dスキャン
・写真・模型
を用いて、歯や骨の状態を詳しく調べます。
その結果、今回のケースでは抜歯を伴う方が歯列が自然に整うと判断されました。
「抜歯をした方が、歯並びも口元のバランスもより整います。リンガル矯正なら見た目を気にせず進められますよ。」
模型分析
3Dスキャンデータから歯並びを詳しく分析すると、上・下ともに前歯のガタつき(叢生)が明確に認められました。
特に上顎の犬歯がやや外側に位置し、下顎前歯は重なりが強い状態です。
また、上下の真ん中(正中線)にわずかなズレが見られ、咬み合わせも軽い前突傾向を示していました。

模型分析②:歯の幅とバランス
模型上では、上顎の歯列弧がやや狭くV字型を示し、下顎はアーチ幅がさらに小さいため、ボルトン比(歯のサイズ比)でも軽度の不調和が想定されます。
歯の傾斜を見ても、上顎前歯は唇側に、下顎前歯は舌側に傾いており、全体として軽度の上顎前突傾向が確認されました。



次はレントゲンの分析とつながっていきます
セファロ分析(横顔の骨格バランスを確認)

矯正治療の診断に欠かせないのが、セファロ分析(頭部X線規格写真)です。
この分析によって、横顔の骨格バランスや歯の傾きを正確に評価することができます。
📖 詳しくは こちらのブログをご覧ください。
この方の分析では、
垂直的なバランス(顔の上下の長さ)には、やや短い
水平的(前後的)には、やや下顎前突の傾向 が見られました。
また、前歯の軸が内側に傾いていることも確認されました。
これは、下顎が前に出る骨格の方に見られやすい特徴で、
「前歯でかみ合うために、自然と歯が内側に傾く」傾向があります。
その結果、歯が並ぶスペースが不足し、**間の歯がガタガタ(叢生)**になりやすくなっていました。
つまり、骨格と歯の傾きの両方が、今回の「八重歯」をつくる要因になっていたことがわかります。
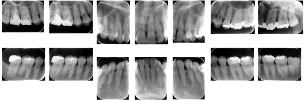
デンタルX線分析(歯の根の状態をチェック)

矯正治療では、見た目だけでなく歯の根(歯根)の状態を確認することも大切です。
そのため、当院では1本ずつの歯を丁寧に確認できるデンタルX線写真を撮影しています。
矯正治療では、見た目だけでなく歯の根(歯根)の状態を確認することも大切です。
そのため、当院では1本ずつの歯を丁寧に確認できるデンタルX線写真を撮影しています。
診断まとめ:5つのレベルでの評価
当院では、歯並びやかみ合わせを5つのレベルで評価しています。
これは、見た目だけでなく「どの程度のズレがあるのか」を客観的に把握するための独自チャートです。

この方の分析結果では、
歯並びの調和:特に上の歯でデコボコが多い
前突度:わずかに下顎が前に出ている
垂直度:かみ合わせが強い傾向あり
正中偏位:やや右側にずれている
プロフィール(横顔バランス):問題なし
このように、複数の項目を総合して診断を行い、
どの部分に調整が必要かを明確にしていきます。
SureSmileによる治療シミュレーション
診断結果をもとに、デジタル矯正システム「SureSmile」を用いて
歯の動きを3D上でシミュレーションしました。
この工程では、
抜歯後にどのように歯が動いていくのか
八重歯がどの位置に整っていくのか
治療後の理想的な歯列ライン
などを立体的に確認しながら、精密な治療計画を立てていきます。
治療経過の写真
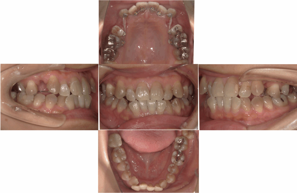
治療経過①:抜歯を行い、歯を動かす準備が整いました「1ヶ月後」
治療開始から約1か月後、スペースを確保するために抜歯を行いました。
抜歯後にはワイヤーを調整し、歯をゆっくりと正しい位置へ導く準備段階に入っています。

抜歯を行う目的は、
歯が並ぶスペースを確保するため
前歯の傾きを整え、噛み合わせのバランスを取るため
といった理由があります。
この段階では、まだ見た目の変化は少ないですが、
これから歯が動き始める大切な準備期間です。
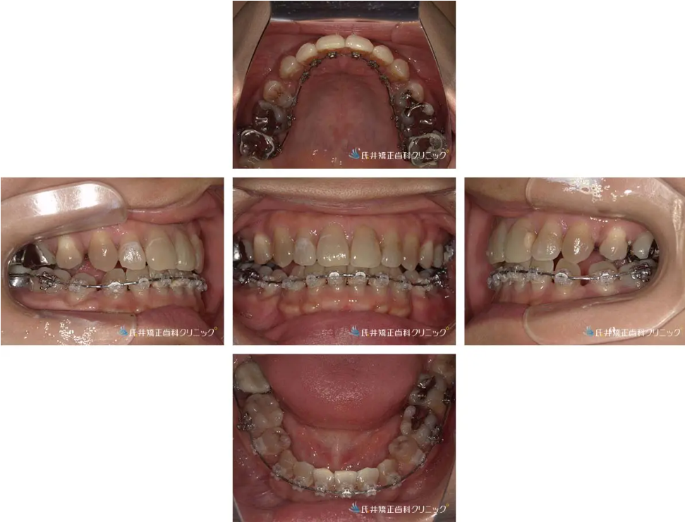
治療経過②:4か月後の変化
治療開始から4か月が経過しました。
この時点で、上下の歯の重なりが少しずつ整い、正面から見ても自然なアーチが形成されてきました。

裏側の装置は見えない位置にありますが、確実に歯が動いており、患者さんも「見えないのにちゃんと動いているのが嬉しい」と実感されています。
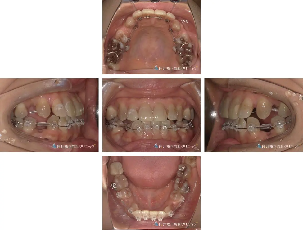
治療経過③:12か月後の状態(上の歯が整い、下の調整へ)
治療開始から12か月。
ガタガタだった前歯がきれいに並び、正面から見ても歯列のアーチが自然に整いました。
上の裏側装置も違和感なく、見えない位置からしっかりコントロールできています。
咬み合わせも安定してきており、治療は仕上げの微調整段階へ進んでいます。

必要に応じてエラスティック(顎間ゴム)を併用し、最終的な咬合の安定化を図ります。
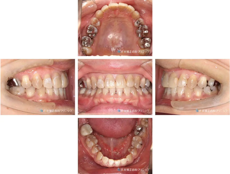
治療完了:2年後の状態
治療開始から2年で、ガタガタだった前歯がきれいに整いました。
上の歯は裏側から矯正していたため、装置が見えないまま治療を進めることができました。
咬み合わせも安定し、横顔のラインもすっきりと変化。
見た目だけでなく、機能的にもバランスの取れた仕上がりとなりました。


治療方針と期間の目安
・治療期間:およそ2年〜2年半
・装置:上はリンガル、下は表側
・通院頻度:1か月に1回
・痛み:最初の数日は軽い違和感、1週間ほどで慣れます
裏側装置でも、当院では滑舌への影響を最小限に抑えた薄型ブラケットを使用しています。
見えないけれど確実に動く
治療開始から数か月後、前歯の重なりが少しずつ整ってきました。
鏡で確認された患者さんからは、
「見えないのに、歯が動いてるのがわかって嬉しい!」
というお声も。
ハーフリンガルは「見た目」と「効果」のバランスが取れた治療方法です。
まとめ|装置選びは“見た目+効率+結果”で
マウスピース矯正は魅力的ですが、
・抜歯を伴うケース
・正中のズレ
・強い叢生
の場合は、リンガル(裏側)やハーフリンガルが最適なこともあります。
それぞれの特徴を理解して、自分に合った治療方法を選びましょう。
▶ 今の歯並びをチェックしてみる(CTカウンセリング)
※初回カウンセリングではCTと3D分析を用いて、
治療の流れ・期間・費用をわかりやすくご説明します。



