今回はハイアングルを伴う重度の叢生についてご説明致します。
目次
🦷カウンセリングの様子
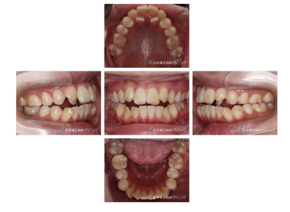
初診カウンセリングに来られたのは10代の女性の方。
カウンセリングの際こう話してくれました。「嚙み合わせや隙間が気になっていたが、最近は横顔が気になる。」
正面から見ると、上の歯にデコボコがあり、奥歯は噛んでいるものの、前歯の間にすき間がありました。いわゆる“開咬”の状態で、前歯で物を噛みにくいだけでなく、発音や見た目にも影響が出やすいタイプです。
横から見ると、上顎がやや前に出ており、下の歯が外側へ傾くことで、口元が前に押し出されたような印象(ロゴボ)になっていました。



🧩 簡易シミュレーション
当院では、カウンセリングの際にその場で「簡易シミュレーション」を行っています。
実際の歯並びをもとに、治療後のイメージを3Dで確認していただけます。
🦷 治療方針のご提案
シミュレーションの結果から、抜歯になる可能性が高いことをお伝えしました。
また、ガタつきの量や歯を並べるためのスペースを考慮すると、
今回は 表側の矯正治療(ワイヤー矯正) の方が効率的で、歯並びを整えやすいと判断しました。
「マウスピース矯正でも可能ですが、治療期間が長くなったり、途中でワイヤーを併用する必要が出てくることがあります。」
とご説明したところ、患者さんも納得され、
精密検査 → 診断 という次のステップへ進む流れとなりました。
🧠 診断
カウンセリング後は、模型分析・セファロ分析・CT分析などの精密診断を行いました。
それぞれのデータをもとに、歯の傾き・骨格のバランス・抜歯の必要性などを総合的に評価していきます。
模型分析
3Dスキャナーで撮影した模型をもとに、上と下の歯並びを立体的に確認しました。
画像からもわかるように、上下の前歯にガタつき(叢生)が確認できます。

🧐模型分析②:歯の幅とバランス
次に、上下の歯列の幅のバランスや、**歯の大きさの比率(ボルトン分析)**を確認しました。
この分析により、上下の歯の大きさやアーチの形が調和しているかを評価します。
分析の結果、
-
上下のアーチ幅に差があり、下顎がやや狭い
-
歯のサイズバランス(ボルトン比)はわずかに不調和
-
歯が並ぶためのスペースが不足している
ことが確認されました。
これらにより、奥歯は咬んでいるものの前歯が開きやすい開咬傾向となり、
さらに上下の歯の傾きが前方向に広がることで、**口元が押し出されたように見える「ロゴボ」**の印象につながっていました。
そのため、上下ともに抜歯が必要となる可能性が高いと判断しました。
これは見た目の問題だけでなく、かみ合わせを安定させるための重要なステップになります。



次はレントゲンの分析とつながっていきます
🧐 セファロ分析(横顔の骨格バランスを確認)

矯正治療の診断に欠かせないのが、セファロ分析(頭部X線規格写真)です。
この分析によって、横顔の骨格バランスや歯の傾きを正確に評価することができます。
📖 詳しくは こちらのブログをご覧ください。
この方の分析では、
垂直的なバランス(顔の上下の長さ)はやや長く、ハイアングル傾向が見られました。
水平的(前後的)には軽度の上顎前突傾向があり、
さらに下の歯が外側へ傾斜している特徴も確認されました。
これは、下顎が前方へ成長しようとする方に多く見られる特徴で、
上下の歯の傾きが前方向へ広がることで、**口元が前に押し出されたように見える「ロゴボ」**の原因となっていました。
その結果、歯が並ぶスペースが不足し、**間の歯がガタガタ(叢生)**になりやすい状態に。
つまり、骨格の特徴と歯の傾きの両方が、今回の「ロゴボとデコボコ」をつくる要因になっていたことがわかりました。
🦷 デンタルX線分析(歯の根の状態をチェック)

矯正治療では、見た目だけでなく歯の根(歯根)の状態を確認することも大切です。
そのため、当院では1本ずつの歯を丁寧に確認できるデンタルX線写真を撮影しています。
CT撮影は骨の状態を詳しく見るのに優れていますが、
被ばく量がやや多くなるため、
**日常の経過観察には低被ばくの「デンタル撮影」**を採用しています。
これにより、
歯根の長さや方向
根の先の炎症や吸収の有無
歯の支え(歯槽骨)の状態
などを安全にチェックすることができます。
今回の患者さんのレントゲンでは、
歯根の吸収や異常は見られず、全体的に良好な状態でした。
🧭 診断まとめ:5つのレベルでの評価
当院では、歯並びやかみ合わせを5つのレベルで評価しています。
これは、見た目だけでなく「どの程度のズレがあるのか」を客観的に把握するための独自チャートです

この方の分析結果では、
歯並びの調和:上の歯のデコボコが多い
前突度:わずかに上顎が前に出ている(歯の関係:下の歯が外側へ傾斜している)
垂直度:骨格が長い(ロゴボの原因)
正中偏位:正中はほぼ一致している
プロフィール(横顔バランス):口元がでている
このように、複数の項目を総合して診断を行い、
どの部分に調整が必要かを明確にしていきます。
💻 SureSmileによる治療シミュレーション
診断結果をもとに、デジタル矯正システム「SureSmile」を用いて
歯の動きを3D上でシミュレーションしました。
この工程では、
抜歯後にどのように歯が動いていくのか
治療後の理想的な歯列ライン
などを立体的に確認しながら、精密な治療計画を立てていきます。
治療経過の写真
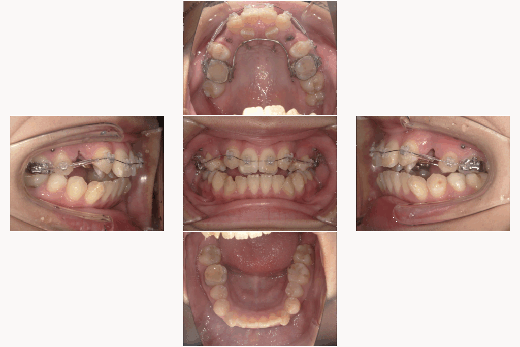
治療経過①:抜歯を行い、歯を動かす準備が整いました「1ヶ月後」
治療開始から約1か月後、スペースを確保するために抜歯を行いました。
抜歯後にはワイヤーを調整し、歯をゆっくりと正しい位置へ導く準備段階に入っています。

この時点ではまだ大きな見た目の変化はありませんが、
歯の移動や噛み合わせを整えるための土台づくりとして、とても重要なステップです。
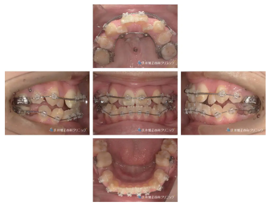
治療経過②:6か月後の変化
治療開始から6か月が経過しました。
この時期には、上の歯列にオープンコイルスプリングを装着し、
口蓋側に生えていた上の2番(側切歯)が正しい位置へ並ぶためのスペースを確保しています。
コイルが少しずつ広がることで、歯の移動スペースが生まれ、
内側にあった2番がゆっくりと表側へ動き始めています。

まだ動きの途中ですが、
奥歯の噛み合わせを維持しながら、全体のアーチが整ってきており、
今後は前歯の高さと傾きを調整しながら、開咬の改善を目指していく段階です。
治療経過③:12か月後の状態(上の歯が整い、下の調整へ)
治療開始から1年が経過しました。
オープンコイルで確保したスペースに、口蓋側に生えていた上の2番(側切歯)が
正しい位置へ並んできました。
前歯の高さと角度が整い、上下の前歯がしっかりと噛み合うようになっています。

奥歯の噛み合わせも安定しており、開いていた前歯のすき間が閉じてきたことで、
口元全体の印象もすっきりとしてきました。
横顔のバランスにも変化が見られ、治療の目標に向けて順調に進んでいます。
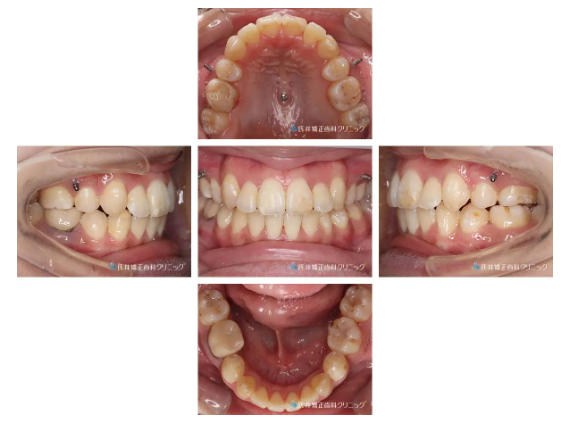
🌸 治療完了:1年10か月後の状態
治療開始から約1年10か月、矯正治療が完了しました。
治療開始前は、奥歯は咬んでいても前歯の間にすき間があり、口元がやや前に出た印象でした。
約1年の治療を経て、上下の前歯がしっかりと咬み合うようになり、開咬が改善。
上下**後戻りを防ぐための保定装置(リテーナー)**を装着しています。


🌿 最後に:治療を終えて感じたこと
上の2番(側切歯)も正しい位置に整い、歯列全体のアーチがなめらかになりました。
口元の突出感がなくなり、横顔も自然に引き締まった印象へと変化しています。
笑ったときの歯の見え方もバランスがよく、より明るく自然な笑顔になりました。
🎯 ここまで読んでくださった方へ
「前歯がかみ合わなくて、横顔が気になる…」
「抜歯が必要なのか知りたい」
「見た目だけでなく、しっかり噛める歯並びにしたい」
そんな方は、まずは CT診断つきカウンセリング から始めてみてください。
歯並びや噛み合わせを3Dシミュレーションで詳しく分析し、
“どのように変わるのか”“どんな治療が合っているのか” を一緒に見ていきます👀
🦷 ▶ 今の歯並びをチェックしてみる(CTカウンセリング)
※初回カウンセリングではCTと3D分析を用いて、
治療の流れ・期間・費用をわかりやすくご説明します。



