矯正治療

 保定装置はなぜ必要?後戻りの仕組みと3種類のリテーナーを解説|奈良の矯正歯科医院

氏井庸介

氏井矯正歯科クリニック
院長 氏井庸介

DOCTOR PROFILE

2026.03.04

「やっと矯正が終わった!」と思ったのに、先生から「保定装置をつけてください」と言われて「え、まだ何かあるの?」と感じた方も多いと思います。

せっかく高いお金をかけて治療したのに後戻りしたら?
そんな不安を解消するために、今回は保定装置が必要な理由を奈良市の矯正専門医がわかりやすく解説します。

矯正治療が終わっても、歯は動こうとする

歯を動かす矯正治療では、歯の根っこの周りにある歯根膜と骨(歯槽骨)に少しずつ力を加えて、歯を移動させています。

ブラケットやマウスピースを外した直後は、骨がまだ完全に固まっていない状態です。
この時期に保定装置をつけないでいると、歯が元の位置に戻ろうとする力(後戻り)が起きてしまいます。

詳しくは下の記事をご覧ください。

保定をさぼった場合の後戻り経過(保定開始6ヶ月後・9ヶ月後の比較)|奈良の矯正歯科

骨が完全に安定するまでには約1〜2年かかります。
この期間、歯を正しい位置にキープするのが保定装置の役割です。

なぜ矯正装置は外せないの?歯が動く科学的な仕組みを専門医が解説|奈良の矯正歯科

関連記事

なぜ矯正装置は外せないの?歯が動く科学的な仕組みを解説

保定装置の種類

保定装置には大きく3種類あります。それぞれの特徴を確認しましょう。

① マウスピース型リテーナー(透明)

透明マウスピース型保定装置(リテーナー)上下セットの写真|奈良の矯正歯科
見た目 透明で目立たない
取り外し できる(食事・歯磨きのときは外す)
装着時間 最初は20時間以上→慣れたら就寝時のみ
向いている人 目立たせたくない方・マウスピース矯正をされた方

② ワイヤー型リテーナー(取り外し式)

歯列模型に装着したワイヤー型保定装置(ホーレーリテーナー)の写真|奈良の矯正歯科
見た目 プレートにワイヤーがついた装置
取り外し できる
耐久性 マウスピース型より長持ち
向いている人 ワイヤー矯正をされた方・しっかり保定したい方

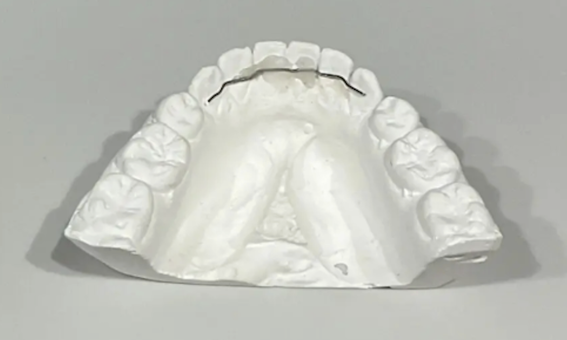
③ 固定式ワイヤーリテーナー(フィックスリテーナー)

歯列模型のフィックスリテーナー(固定式ワイヤー保定装置)の写真|奈良の矯正歯科
取り外し できない(歯の裏側に接着)
見た目 裏側なので外からは見えない
メリット つけ忘れがない・後戻りしにくい
注意点 フロスを使った丁寧な歯磨きが必要

保定期間はどのくらい?

一般的な目安はこちらです。

期間 装着時間の目安
治療後〜約半年 できるだけ長時間(20時間以上)
約半年〜2年 就寝時〜12時間
2年以降 当院での保定管理は終了。ただし後戻り予防のため、週2回の装着を推奨します。

ただし個人差があります。歯の動きやすさ・治療前の状態によって保定期間は変わりますので、担当医の指示を必ず守ってください。

もし後戻りしてしまったら?

「後戻りしたらどうしよう…」そのご不安に、当院がしっかり対応します

氏井矯正歯科クリニックでは、保定期間中に後戻りが気になった場合も担当医が丁寧に対応します。ひとりで抱え込まず、いつでもご相談ください。

後戻りの程度によって対応が異なります。

  • 軽度の後戻り:保定装置の調整・装着時間を増やすことで改善できる場合があります
  • 中等度以上:再治療(追加の矯正)が必要になる場合があります
  • 予防が最善:後戻りは治療するより予防する方が圧倒的に楽です

保定装置をきちんとつけることが、最もコストパフォーマンスの高い「後戻り対策」です。

保定中も担当医がしっかりサポートする矯正歯科をお探しなら、氏井矯正歯科クリニックへお気軽にご相談ください。

→ 初診相談はこちら

まとめ

  • 保定装置は矯正治療に必要な最後のステップ。つけないと後戻りが起きる
  • 骨が安定するまで約1〜2年かかる
  • 保定装置には3種類(マウスピース型・ワイヤー型・固定式)
  • つけ忘れが後戻りの最大の原因
  • 後戻りは予防が最善・早期発見が大切
  • 奈良市の氏井矯正歯科クリニックでは保定期間中も担当医がサポート

保定まで含めた実際の治療結果をご覧ください

「本当にきれいになるの?」という疑問には、実際の症例が一番の答えです。Before / Afterの写真を症例集でご確認いただけます。

よくある質問

Q. 保定装置はいつまでつければいいですか?

当院では治療後2年間を保定管理期間としています。2年以降は当院での管理は終了しますが、後戻り予防のため週2回の装着を推奨しています。

Q. 保定装置をつけ忘れてしまったらどうなりますか?

数日のつけ忘れでも歯は動き始めることがあります。特に治療直後の半年は骨が固まっていないため、つけ忘れが後戻りの最大の原因になります。気になる場合はすぐにご相談ください。

Q. 保定装置が壊れたり、なくしたりしたらどうすればいいですか?

すぐにクリニックへご連絡ください。装置がない状態が続くと後戻りが進む場合があります。再製作が必要になることもあります(有料)ので、早めの対応をおすすめします。

Q. 保定中に歯が動いてきた気がします。どうすればいいですか?

放置せず、早めにご来院ください。軽度であれば保定装置の調整で対応できる場合があります。当院で治療された方は保定期間中のご相談をいつでも受け付けています。

関連ページ

BACK