オンライン初診相談

ONLINE-COUNSELING

無料オンライン初診相談とは

ABOUT

Webミーティングで最も使われている「Zoom」を使って、自宅にいながら矯正歯科医による歯並び治療の相談を受けることができます。

オンライン初診相談
当日までの流れ

STEP
STEP 01

オンラインカウンセリングの予約

まずはWebより、ご希望の日時で予約をお取りください。 予約完了後、当院より「自動返信メール」が届きます。
大切なご案内が含まれていますので、必ず受信をご確認ください。

STEP 02

Web問診票の記載

予約が完了しましたら、問診票の入力をお願いいたします。
こちらのQRコードよりアクセスし、現在の状況やご希望をご入力ください。

パスワードについて: STEP 01の自動返信メールに記載しております。
不明な場合: メールが見当たらない、またはパスワードが不明な場合は、InstagramのDMにてお気軽にお問い合わせください。

STEP 03

公式Instagramのフォロー

当院のInstagramアカウント(@UJII_KYOUSEI_NARA)のフォローをお願いいたします。
オンラインカウンセリングに関する詳細なやり取りや、事前のお写真送付は、InstagramのDM(ダイレクトメッセージ)にて行います。

STEP 04

お口の中の写真撮影・送付

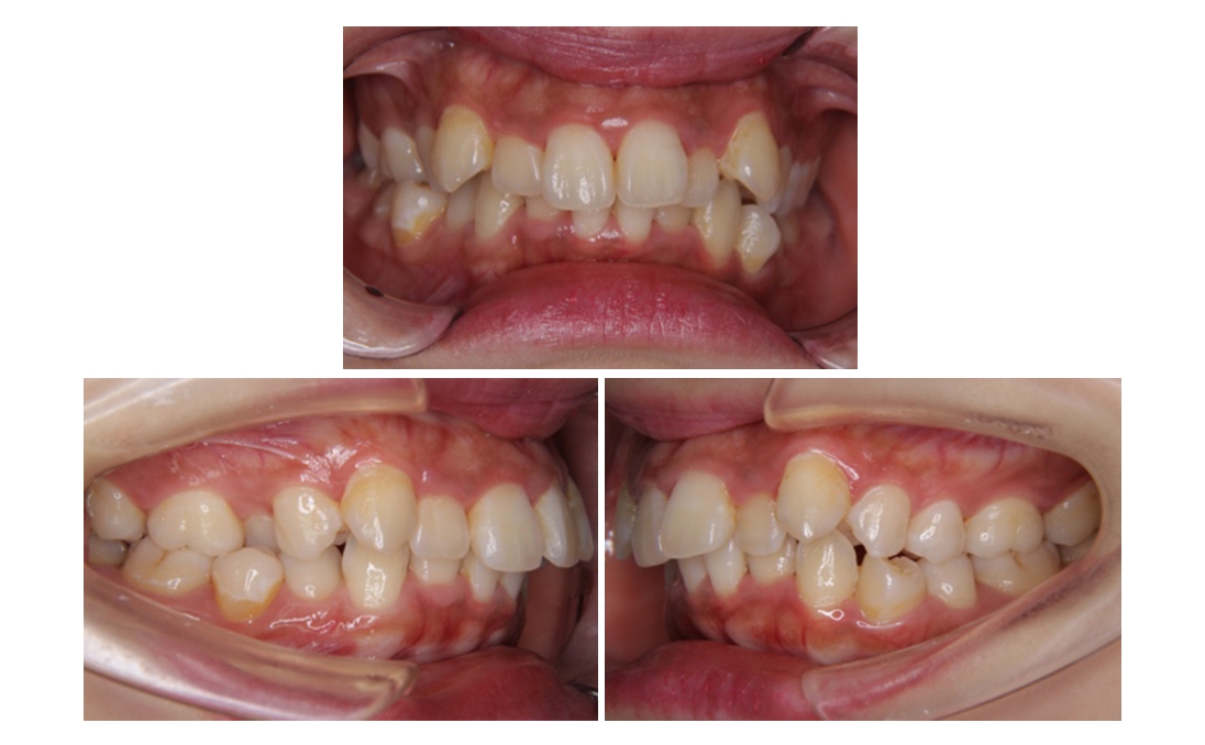
より具体的なアドバイスをさせていただくため、お口の中のお写真をお送りください。
撮影内容: 「右・正面・左」の計3枚
送付先: 当院のInstagram DM
ポイント: 奥歯をしっかり噛んだ状態で撮影をお願いします。

安心ポイント

スマートフォンの自撮りで「ある程度の感じ」が分かれば大丈夫です!完璧に撮ろうとせず、お気軽に撮影してお送りください。

STEP 05

Zoom URLの受け取り

Step 01〜04までのご準備が確認できた方に、当日のオンラインカウンセリング用「Zoom URL」をInstagramのDMにて送信いたします。
URLが届きましたら、準備完了です!当日お会いできるのを楽しみにしております。

事前チェック!

カウンセリング当日の流れや雰囲気を知りたい方は、ぜひこちらのYouTube動画をご覧ください。
こちらをご覧いただくと、当日よりリラックスしてご相談いただけます。

ご予約確定のための重要なお願い

患者様お一人おひとりに最適な治療プランを提示させていただくため、当院では事前準備(問診票の回答・お写真の送付)を必須とさせていただいております。

  • 期限:ご予約前日の23:59まで
  • 対応:上記期限までにStep 02・04のご準備が確認できない場合、十分なカウンセリングを行うことが困難なため、誠に勝手ながらご予約を一度キャンセル扱いとさせていただきます。あらかじめご了承ください。

オンライン初診相談当日の流れ

STEP

オンライン初診相談は、下記の流れとなっております。カウンセリング時間は15分ぐらいです。
お口の写真を元にどこを治したいのかをお聞きします。その後、当院の基準にもとづいたレベル判定を元に、治療方針や治療装置の説明を行います。

STEP 01

ヒアリング

ヒアリングでは、直したい部分をマークします。

STEP 02

レベル判定

送っていただいた写真を元に、当院の基準に基づいた歯並びの状況を判断します。

STEP 03

治療方針の説明

STEP 04

治療装置の説明

STEP 05

治療費の説明

矯正治療の流れ、治療費についてご説明いたします。

STEP 06

Q&A

矯正歯科治療をはじめるうえで、聞いておきたいことなどをご質問ください。