19歳の大学生(女性)が、上下の八重歯(でこぼこ)を気にして当院にいらっしゃいました。2年後に就職を迎える——その頃までに治療が最終段階まで来ていたい、というご希望でした。
結論からお伝えします。装置をつけて歯を動かす期間は、1年2ヶ月で終わりました。
| 患者さま | 19歳 女性・大学生・奈良市在住 |
| 気になっていたこと | 上下の八重歯(でこぼこ・叢生) |
| 背景事情 | 2年後の就職で引っ越す可能性あり(問診票の手書きコメントより) |
| ご本人の希望 | 2年後の就職までに治療の最終段階まで進めたい |
| 当院での方針 | クリッピー(表側からの自己結紮型ワイヤー矯正) / 上下4番を抜歯 |
| 歯を動かす期間 | 約1年2ヶ月(装置装着〜取り外し) |
| 来院のきっかけ | ホームページを見て(矯正治療を始めると決めて来院) |
● 上下 八重歯が気になる(手書き)
● きっかけ: 顔立ちを見て / 歯並びが気になり始めて2年後くらい
● 不安: 治療期間(最優先) / 歯科医師の人柄 / 支払方法 / 治療方法
● 「就活に入る。その頃に、最終段階まできているのか」(手書き)
目次
なぜ1年2ヶ月で終わったのか
成人のでこぼこ(叢生)矯正では、装置をつけて歯を動かす期間は一般的に2〜3年が目安とされています。今回の症例が1年2ヶ月で終わった背景には、2つの要素がありました。
① セファロ分析で「骨格に問題がない」と事前に判断できたこと
上下の顎のズレがなく、でこぼこ(叢生)のみが主訴。外科的な処置が不要で、歯を動かすべき方向が明確でした。
② 「JetSystem」という治療期間を短縮できる矯正治療の手法を用いたこと
JetSystemは「RAP現象(Regional Acceleratory Phenomenon)」という、歯のまわりの骨が一時的に活性化する現象を活用した治療法です。この状態のタイミングで弱い力をかけると、歯がスムーズに動きます。特に骨の代謝が活発な若い方に効果的で、従来より短い期間で治療を進めることができます。
矯正治療の期間は大きく2つの要因で決まります。骨格の問題(上下の顎のズレなど)と歯の問題(でこぼこ・出っ歯など)。骨格のズレが大きいほど期間は長くなり、時に外科手術が必要になることもあります。今回のケースは「骨格の問題なし・歯のでこぼこのみ」の典型例でした。
「骨格に問題なし」という診断と「JetSystem」の併用により、「2年後の就職までに間に合わせる」という目標が現実的なものになりました。
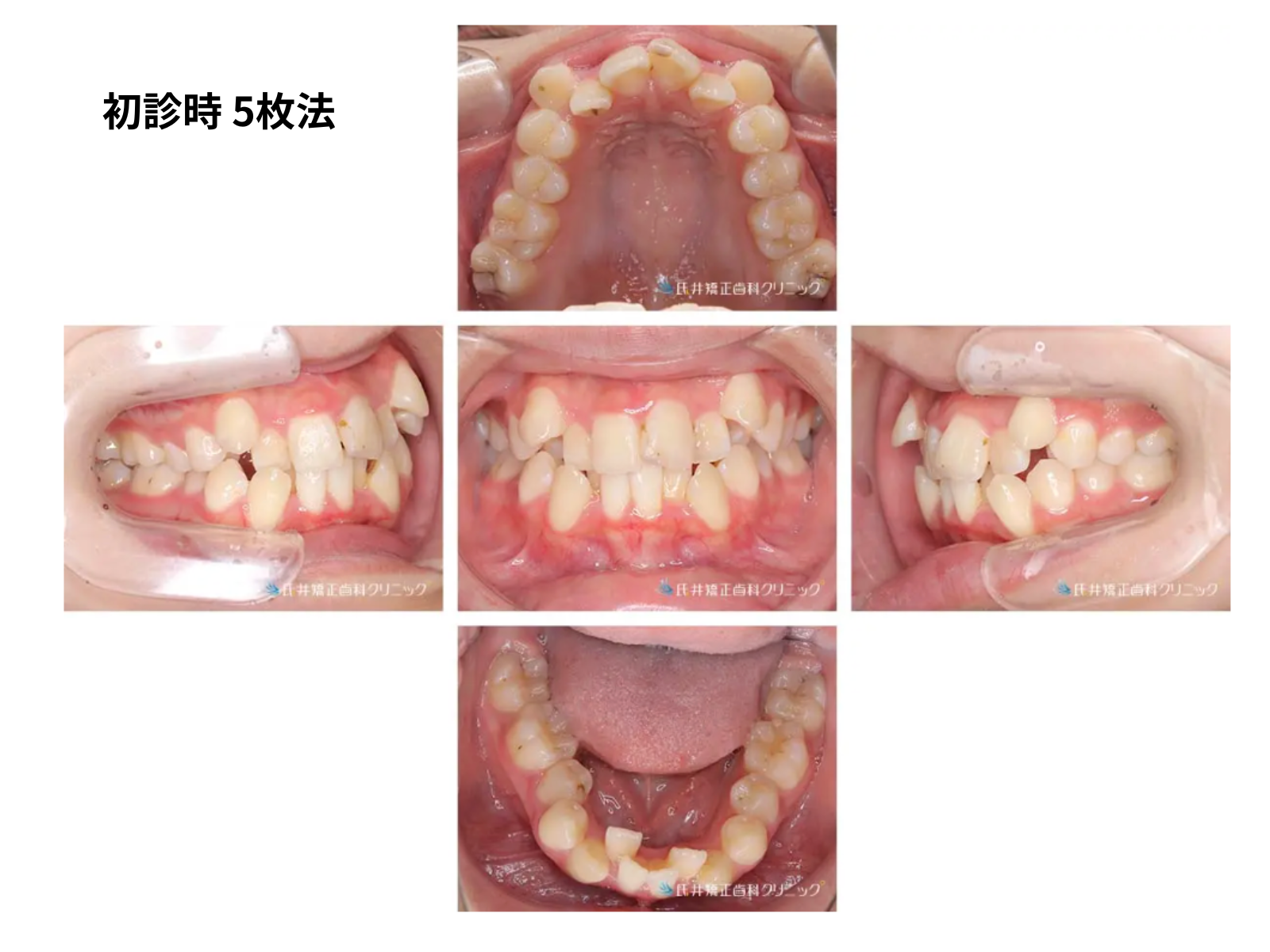
初診時の状態 — 上下の八重歯
口腔内の状態は以下のとおりでした。上下ともに八重歯があり、前歯が重なり合っている状態。本人も「上下 八重歯が気になる」と書かれていました。
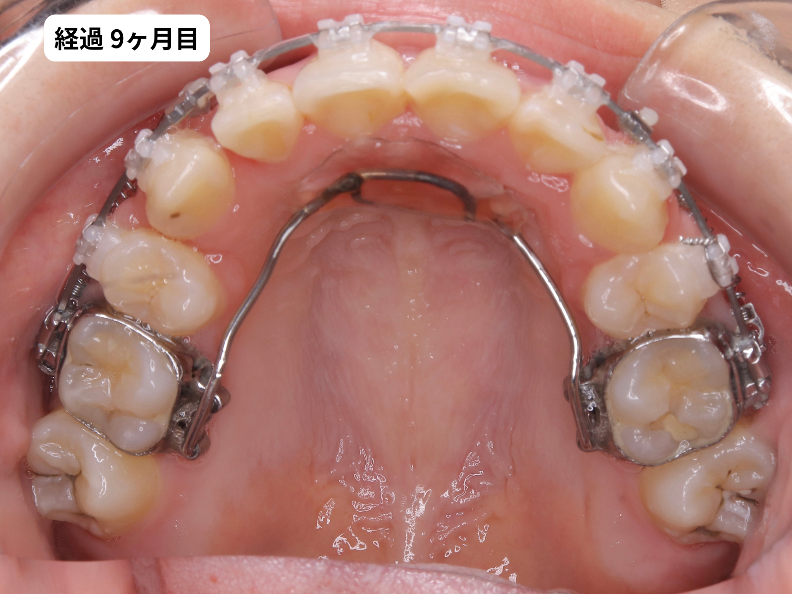
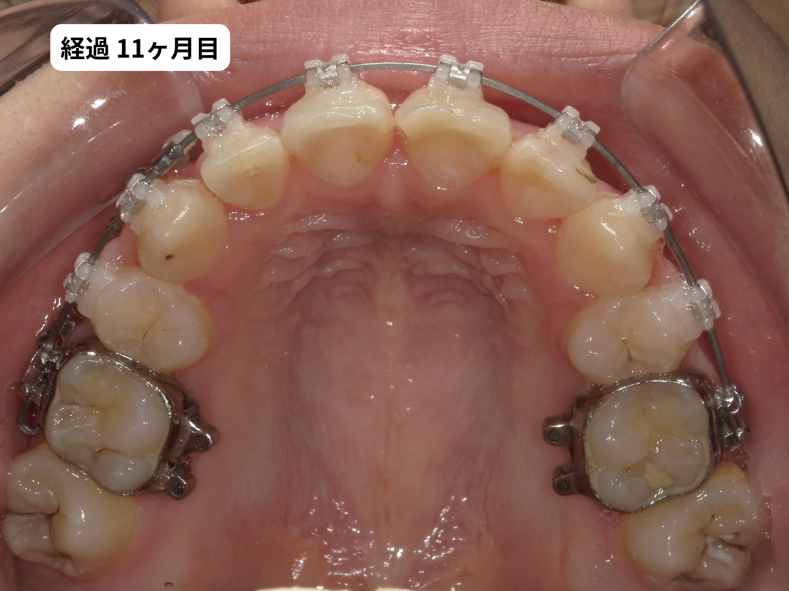
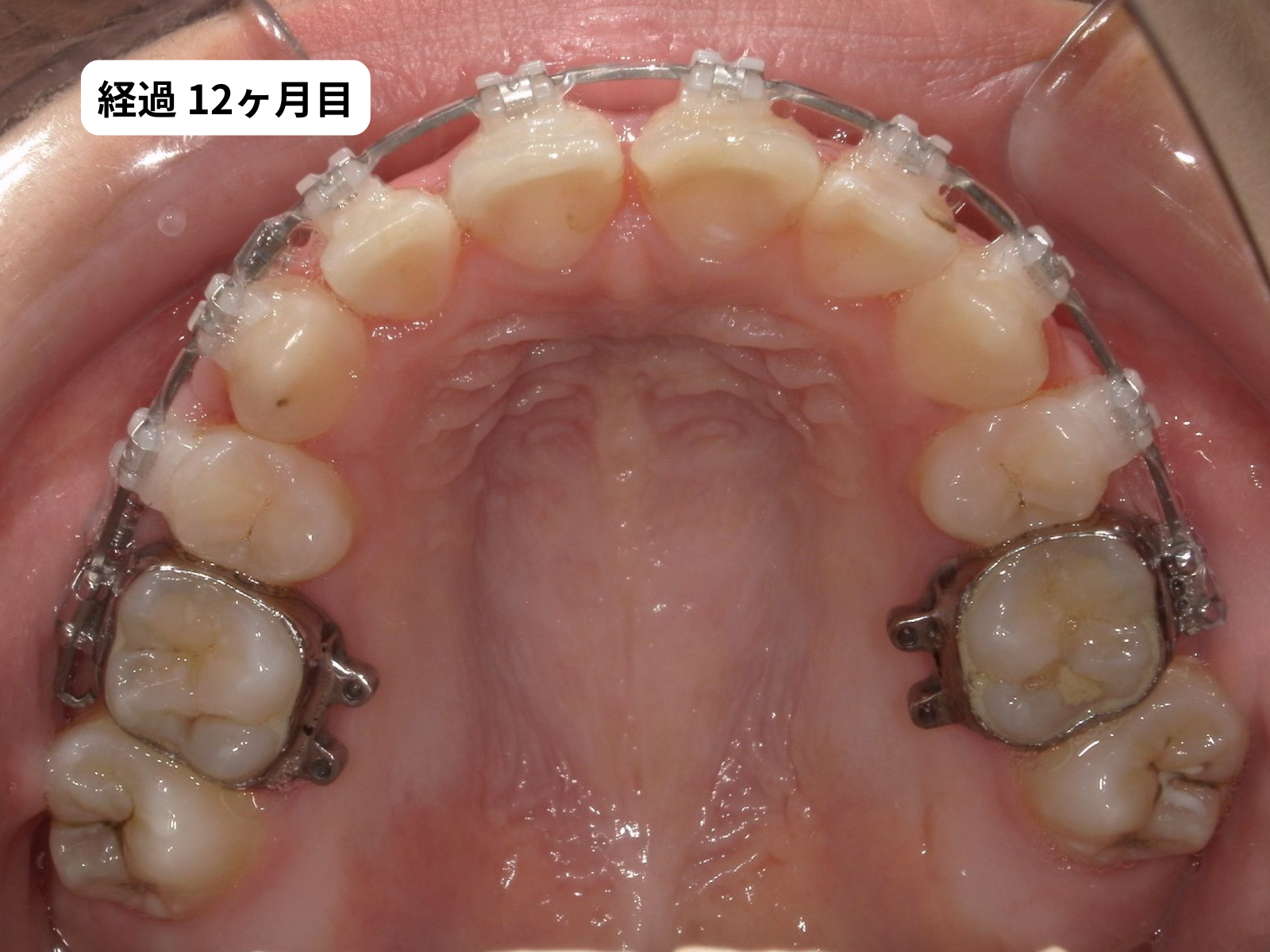
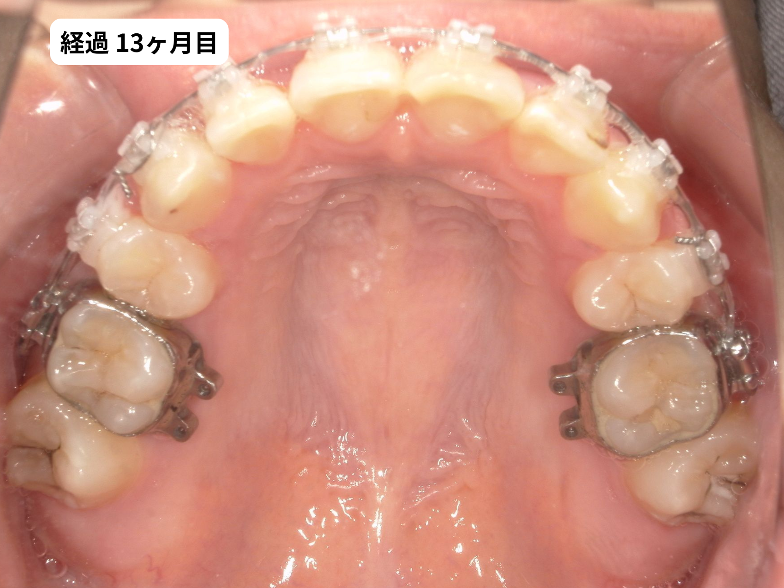
装置装着から1年2ヶ月、毎月の経過
装置をつけた後、上の歯の噛み合わせ面の写真を毎月記録しました。下のスライダーで、月ごとに歯がどう動いていったかをご覧いただけます。
毎月の写真で歯がスムーズに動いているのがわかります。これは 軽い力(約50g)でゆっくり動かす、毎回の来院で移動距離を確認する、この2つを積み重ねた結果です。
治療前後の比較
笑顔
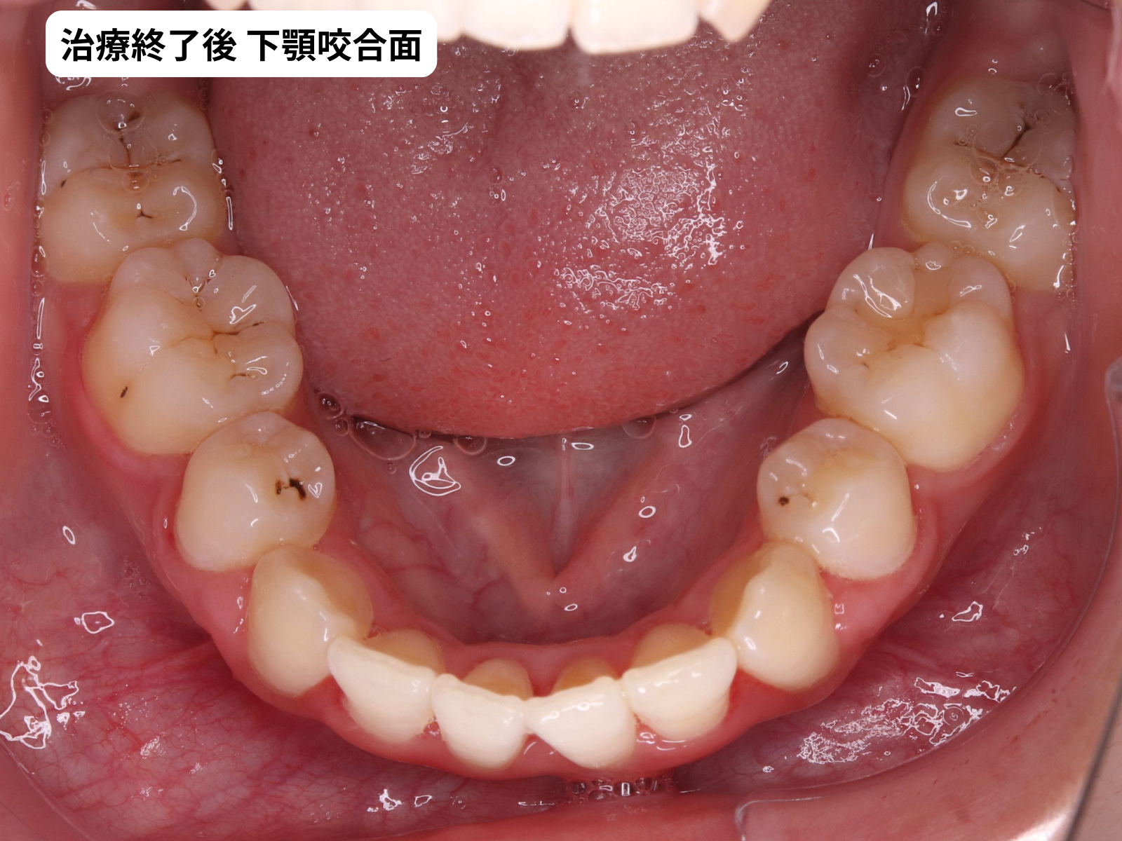
治療終了後の口腔内
(初診時のBeforeは上の5枚法をご参照ください)
引っ越しをしても、奈良の当院に通い続けていただきました
問診票の「転居の可能性」欄には「なし」とチェックされていましたが、手書きで「就活の頃」と書かれていました。その予感は的中し、装置を外した後、就職にともない東京へ転居されました。
しかし、保定(歯並びの後戻りを防ぐ)期間中も東京から奈良の当院に通い続けていただき、2025年春に治療を完全に終えられました。
2021年9月22日: 初診・装置装着(19歳・大学生・奈良市在住)
2022年11月16日: 装置を外す(約1年2ヶ月)・保定期間へ
2024年3月: 就職で東京へ転居
2025年4月: 保定も完了、治療終了(24歳)
院長より — 「自分のでこぼこも早く治るの?」と思った方へ
今回のように1年2ヶ月で終わったのは、「骨格に問題がない」「主訴がでこぼこのみ」という条件に加えて、JetSystemによる治療短縮が重なった結果です。
矯正治療の期間は、人によって大きく違います。同じ「でこぼこ」でも、骨格のズレがあるか、歯の傾きがどれくらいか、でこぼこの量がどれくらいかで必要な時間が変わります。「1年で終わる人」もいれば「3年かかる人」もいる、ということです。
自分がどちらかを知るには、セファロ分析(頭部のX線写真) で骨格を正しく把握することが不可欠です。ご自身のでこぼこがどれくらいで治るか気になる方は、まず精密検査でセファロを撮って診断を受けることをおすすめします。
よくあるご質問
私の場合も1年2ヶ月で終わりますか?
今回の症例が1年2ヶ月で終わったのは、たまたま「骨格に問題がない」「主訴がでこぼこのみ」という条件が揃っていたからです。矯正にかかる期間は人それぞれで、骨格の状態・歯の傾き・でこぼこの量によって決まります。一般的には2〜3年が目安で、3年以上かかる症例もあります。まずはセファロ分析を含めた精密検査を受けて、ご自身の条件を把握することが必要です。
セファロ分析って何がわかるの?
頭部X線規格写真(セファロ)を撮影して、上下の顎の位置関係・歯の傾き・骨格のズレなどを数値で分析します。セファロ分析について詳しくはこちらの記事もご参照ください。
治療中に引っ越した場合はどうなるの?
原則は転院先の医院で続けていただくのが通院負担の観点から良いです。ただし、今回のように保定期間中の転居であれば来院頻度が数ヶ月に1回のため通院継続が可能な場合もあります。状況に応じて最適な選択肢をご提案します。
抜歯は必要だったの?
今回は上下で合計4本の抜歯を行いました。上下のでこぼこ(八重歯)を整列させるために、歯を並べるスペースが必要だったためです。抜歯で空いたスペースを使って前歯を整え、噛み合わせを安定させました。抜歯するかどうかは、でこぼこの量(叢生量)と顎の大きさのバランスで判断します。
「自分のでこぼこは、どのくらいで治るのかな?」
そう思われた方へ。当院ではセファロ分析を含めた精密検査で、あなたの骨格と歯の状態を数値で正確にお伝えします。期間の目安もお話しできます。












