症例別の治療法について

【奈良の矯正歯科医が解説】矯正で抜歯は必要?判断基準と非抜歯のリスクを症例で解説

氏井庸介

氏井矯正歯科クリニック
院長 氏井庸介

DOCTOR PROFILE

2026.03.13
「矯正治療で歯を抜く必要があると言われました」

初診相談で最も多い不安のひとつです。

「本当に抜かないとダメ?」「非抜歯で治せるって聞いたけど?」「抜歯してまで矯正したくない」――さまざまな思いがあると思います。

この記事では、抜歯が必要かどうかの判断基準を3つのパターンで解説し、非抜歯+インプラントアンカーの症例や、他院で非抜歯治療をした後に当院でやり直した症例も公開します。
矯正の抜歯について相談するカウンセリング風景|奈良の矯正歯科

抜歯か非抜歯か、何で決まるのか

「抜歯が必要かどうか」は、見た目だけでは判断できません。セファロ(横顔のレントゲン)で骨格を分析し、歯の大きさ・あごの大きさ・口元のバランスを数値で評価して決めます。

セファロ分析について詳しく知りたい方は、こちらをご覧ください。

大きく分けると、以下の3パターンです。

パターン 状態 判断
口元が出ている 骨格的に上あごや歯が前に出ている 抜歯
ガタガタが大きい 歯を並べるスペースが大幅に足りない 抜歯
ガタガタ少ない+口元OK 歯を並べるスペースが確保できる 非抜歯
抜歯が必要かどうかは「歯を抜きたくない」という希望ではなく、骨格と歯のバランスで決まります。精密検査をしなければ正確な判断はできません。

口元が出ているケースについて詳しく知りたい方は、こちらの記事もご覧ください。

自分はどのパターン?
初診相談で確認する(無料)

※ 精密検査前でも、カウンセリングでおおまかな見通しをお伝えできます。


非抜歯+インプラントアンカーという選択肢

抜歯しない場合でも、インプラントアンカー(矯正用の小さなネジ)を使って歯を後方に動かし、スペースを確保する方法があります。

インプラントアンカー(矯正用ネジ)の口腔内写真|奈良の矯正歯科

詳しくは以下の記事で解説しています。

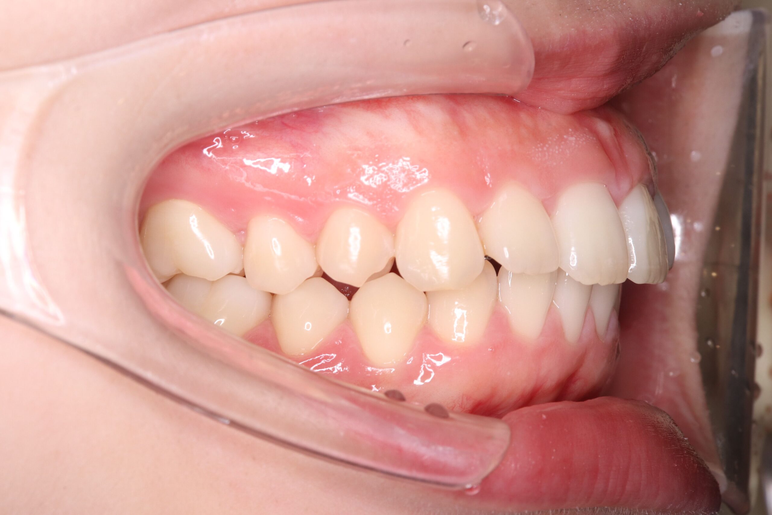
症例:非抜歯+アンカーで改善したケース

症例:ガタガタ+軽度の口元突出 → 非抜歯+アンカーで改善
非抜歯アンカー矯正の初診時|奈良の矯正歯科
初診時
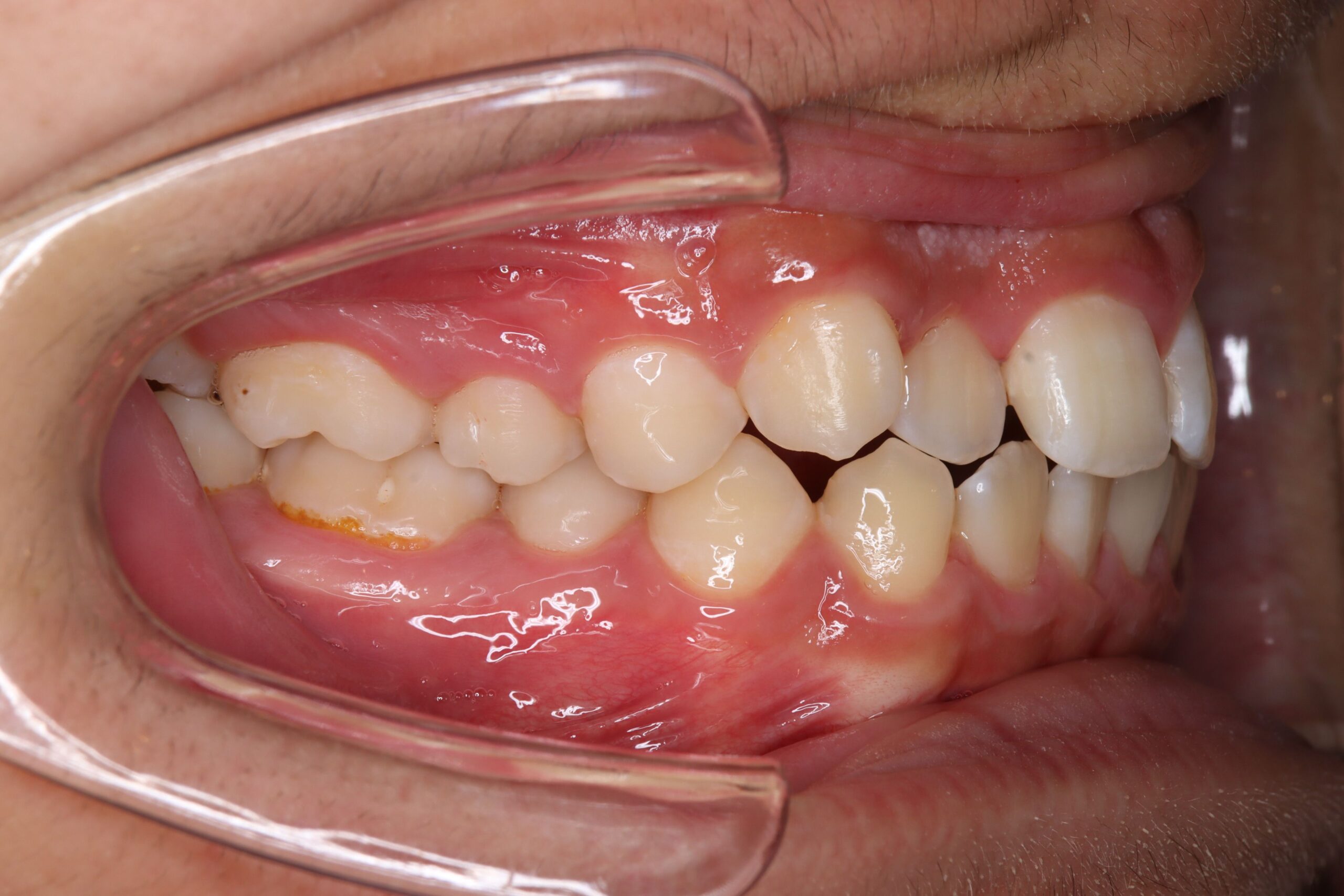
インプラントアンカー装着中の矯正治療経過|奈良の矯正歯科
アンカー装着中
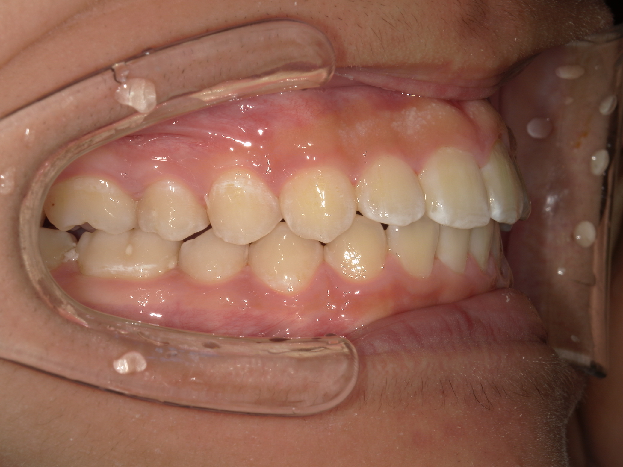
非抜歯アンカー矯正の治療完了|奈良の矯正歯科
治療完了
インプラントアンカーで上の歯列全体を後方に移動。抜歯せずにガタガタと口元の突出感を改善しました。
ℹ️ ただし、この方法には限界があります。歯を後ろに動かせる量には上限があるため、口元の突出が大きい場合やガタガタが重度の場合は、非抜歯では対応できません。適応かどうかは精密検査で判断します。

非抜歯矯正で起きうるリスク

当院には、他院で非抜歯治療を受けた後に「やっぱりおかしい」と相談に来られる方がいます。

「非抜歯で治せます」という言葉は魅力的です。しかし、スペースが足りないのに無理に非抜歯で並べると、次のような問題が起きることがあります。

  • 口元が前に出てしまう(歯は並んでも横顔のバランスが崩れる)
  • 後戻りしやすい(無理に広げた分、元に戻ろうとする力が大きい)
  • 噛み合わせが合わない(上下の歯がきちんと噛めない)

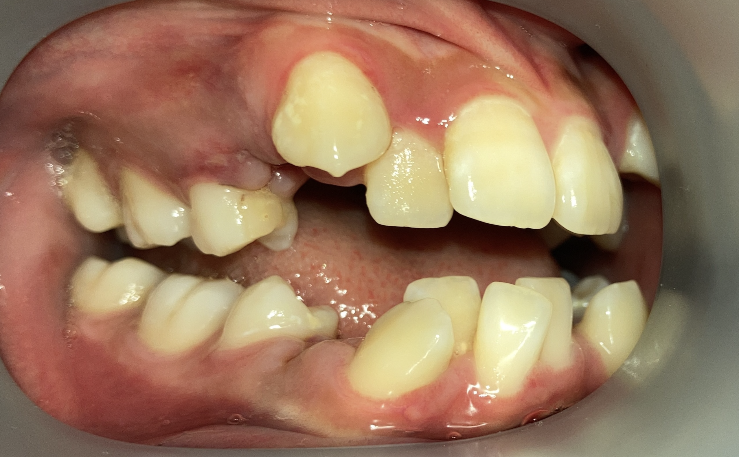
リカバリー症例1

他院の非抜歯矯正後、当院で再治療したケース
リカバリー症例の初診時|口元の突出|奈良の矯正歯科
初診時
抜歯矯正完了後|口元改善|奈良の矯正歯科
治療完了
リカバリー症例の初診時の口腔内|奈良の矯正歯科
初診時
抜歯矯正1年後の口腔内|奈良の矯正歯科
治療1年後
抜歯矯正完了後の口腔内|奈良の矯正歯科
治療完了
他院で非抜歯矯正を受け、歯並びは改善したものの、口元の突出感が残ったまま治療が終了。当院で精密検査を行った結果、上下4本の抜歯によるリカバリー治療が必要と判断しました。
「歯を残すこと」だけが正解ではありません

矯正治療のゴールは「歯を抜かないこと」ではなく、きれいな歯並び・正しい噛み合わせ・調和のとれた口元を長期的に安定させることです。

他院で非抜歯と診断された方も、セカンドオピニオンとしてお気軽にご相談ください。


抜歯矯正の実際――「怖い」を解消する

どの歯を抜くの?

矯正治療で抜歯する歯は、ほとんどの場合第一小臼歯(前から4番目の歯)です。上下左右で合計4本抜くことが多いですが、症例によっては2本だけの場合もあります。

抜歯は痛い?

「健康な歯を抜くなんて怖い」――そう感じるのは当然です。ただ、矯正用の抜歯は虫歯や歯周病で弱った歯を抜くのとは異なり、健康な歯を計画的に抜くため、処置は通常20分ほどで終わります。麻酔が切れた後は痛みが出ますが、当日〜翌日がピークで、2〜3日かけて落ち着いていきます。痛み止めを処方いたしますのでご安心ください。

抜歯した隙間はどうなるの?

「抜いた隙間、ずっと空いたままにならない?」と心配される方は多いですが、ご安心ください。ワイヤーの力で歯を少しずつ移動させ、通常8〜14ヶ月で隙間はほぼ見えなくなります。

矯正の抜歯直後の口腔内写真|小臼歯抜歯後の隙間|奈良の矯正歯科
抜歯直後
抜歯矯正1週間後の経過写真|隙間閉鎖の経過|奈良の矯正歯科
1週間後
抜歯矯正2週間後の経過写真|隙間閉鎖の経過|奈良の矯正歯科
2週間後
抜歯矯正3週間後の経過写真|隙間閉鎖の経過|奈良の矯正歯科
3週間後
抜歯矯正1ヶ月後の経過写真|隙間が縮小|奈良の矯正歯科
1ヶ月後
抜歯矯正2ヶ月後の経過写真|隙間が縮小|奈良の矯正歯科
2ヶ月後
抜歯矯正3ヶ月後の経過写真|隙間が半分に|奈良の矯正歯科
3ヶ月後
抜歯矯正4ヶ月後の経過写真|隙間がほぼ閉鎖|奈良の矯正歯科
4ヶ月後
抜歯矯正の隙間ほぼ閉鎖完了写真|約6ヶ月後|奈良の矯正歯科
ほぼ閉鎖完了(約6ヶ月)
治療期間の差は、抜歯と非抜歯で平均約3ヶ月です。詳しいデータはこちらの記事で解説しています。

よくあるご質問

抜歯せずにマウスピースで治せませんか?
スペースが十分にあるケースであれば可能です。ただし、スペースが足りないのに無理にマウスピースで並べようとすると、口元が出たり後戻りのリスクが高くなります。精密検査の結果をもとに、最適な方法をご提案します。
親知らずを抜けば矯正の抜歯は不要になりますか?
親知らずの抜歯と矯正用の抜歯は目的が異なります。親知らずを抜くことで多少のスペースは得られますが、前歯のガタつきを解消するには位置が遠すぎるため、多くの場合は代わりにはなりません。
他院で非抜歯と言われましたが、セカンドオピニオンは可能ですか?
もちろん可能です。当院では精密検査をもとに独自の診断を行います。他院の診断と異なる場合は、その理由もお伝えします。治療中の方でもご相談いただけます。
抜歯すると顔が変わりますか?
口元が出ているケースでは、抜歯矯正によって口元が引っ込み、横顔のバランスが改善します。「すっきりした」と喜ばれる方が多いです。骨格自体が変わるわけではなく、歯と唇の位置関係が変わることによる変化です。

矯正歯科医からのメッセージ

氏井矯正歯科クリニック院長
院長 氏井 庸介|矯正歯科医

「できれば歯を抜きたくない」――そう思うのは当然のことです。私自身、抜かずに治せるなら、それに越したことはないと考えています。

だからこそ、精密検査でしっかり分析した上で、本当に必要なときだけ抜歯をご提案しています。そして「なぜ抜くのか」「抜くとどう変わるのか」を、納得いくまでお話しします。

不安なまま治療を始めることはありません。まずはカウンセリングで、あなたの歯並びの状態を一緒に確認するところから始めましょう。

矯正治療について、もう少し詳しく知りたい方はこちらもご覧ください。

初診相談を予約する|氏井矯正歯科クリニック

※ 初診相談は完全無料・予約制です。 初診相談とは?

BACK