症例別の治療法について

【奈良の矯正歯科医が症例解説】14歳男子の犬歯埋伏を開窓牽引で改善した症例 

氏井庸介

氏井矯正歯科クリニック
院長 氏井庸介

DOCTOR PROFILE

2026.04.15
ガタガタが気になります。高校受験の前に、歯並びを何とかしたくて」——そう言って来院したのは、奈良の中学校に通う中学3年生の男の子(木津川市在住)でした。
お父さまも本人も、悩みは「下の歯のガタガタ」「歯磨きがうまくできないこと」。——ですが、口の中を拝見してすぐに、もう一つ気になる点がありました。
右上の乳歯の犬歯が、14歳になってもまだ残っていたのです。通常、永久歯の犬歯は11〜13歳頃に生え変わります。乳歯が残ったままで永久歯が出てきていないときは、骨の中に埋まっている可能性を考える必要があります。

初診の主訴は「ガタガタ」だった

年齢・性別14歳 男性(中学3年)
お住まい京都府 木津川市
主訴(来院時)ガタガタが気になる・歯磨きが上手くできない
来院のきっかけ姉(当院で治療済み)の紹介
診断名右側犬歯の埋伏および歯槽性上顎前突を伴う叢生
治療期間2年6ヶ月
装置表側矯正装置(ブラケット)
抜歯上下顎両側 第一小臼歯(計4本)
特殊処置右上犬歯の開窓牽引
「上の子(姉)がこちらで矯正をしていただいて、とてもきれいになったので、下の子(本人)も相談に来ました。特に下の歯のガタガタが気になっていて、本人も歯磨きが上手くできないと言っています。ただ、高校受験を控えているので、装置が気になって集中力が散漫にならないか——それだけが心配なんです」

初診の時点で、お父さまが気にしておられたのは「ガタガタ」と「受験への影響」でした。本人は野球部で忙しく、部活と勉強と両立できる方法を探していた。埋伏犬歯のことは、一言も話題にのぼりませんでした。

——それもそのはず。犬歯埋伏は、外から見ても本人の感覚でも、まずわからないのです。

口の中を見た瞬間にわかる「埋伏犬歯」のサイン

⚠ 親御さんが気づけるチェックポイント
  • 左右で犬歯の生え方に差がある
  • 13歳を過ぎても乳犬歯がグラグラしない
  • 乳犬歯だけが他の歯より小さい・色が違う

こうした違和感があれば、一度レントゲンで確認されることをおすすめします。埋伏犬歯は早く見つかるほど、治療の選択肢が広がります。

実際、CT画像で確認すると、右上犬歯は骨の中で斜めに埋まり、隣の側切歯(前から2番目の歯)の根っこに接触しかけている状態でした。

右上犬歯埋伏のCT 3D画像|奈良の矯正歯科 氏井矯正歯科クリニック
CT画像:骨の中の埋伏犬歯
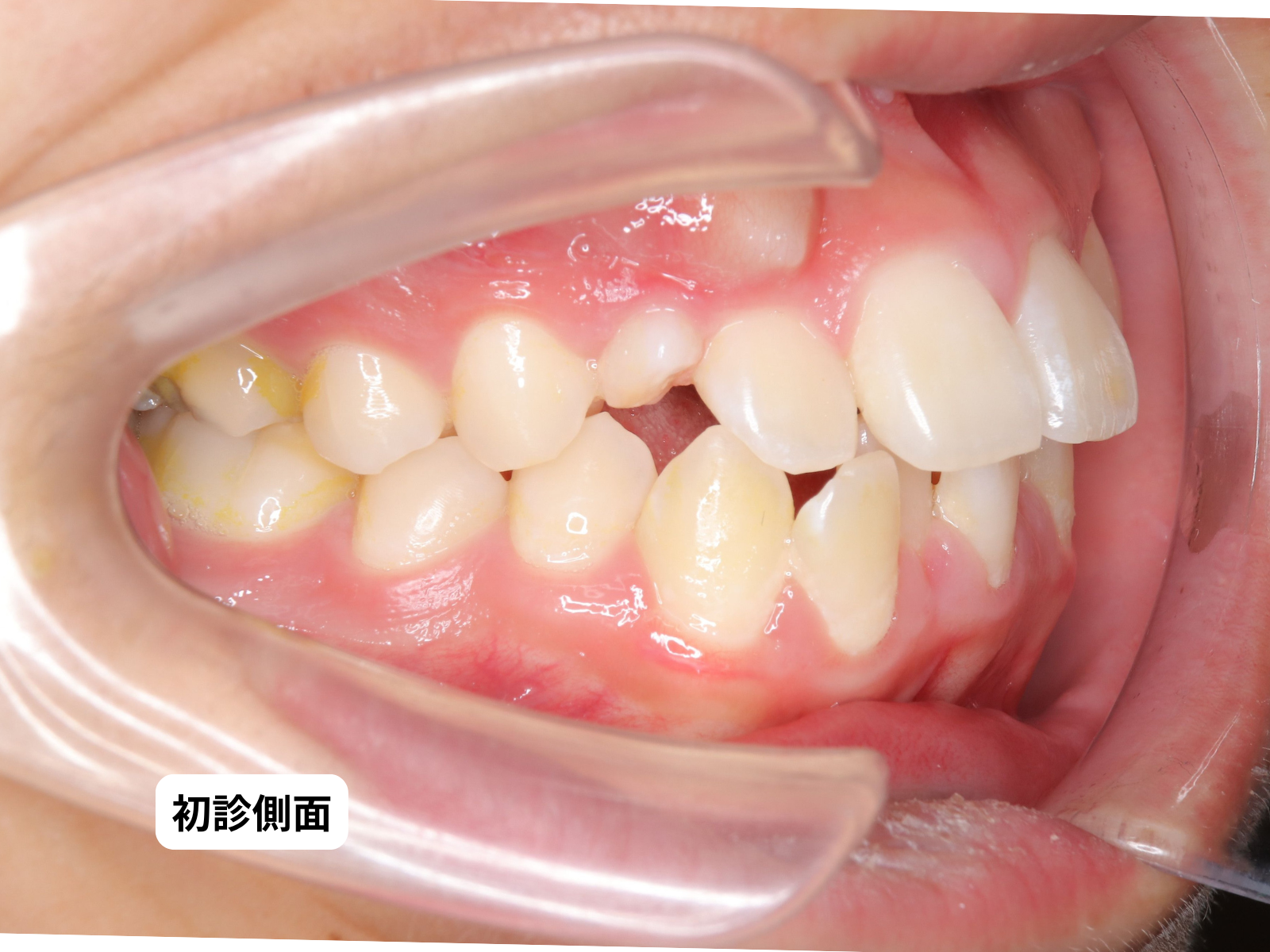
犬歯埋伏 初診時の口の中|奈良の矯正歯科 氏井矯正歯科クリニック
口の中:右上C(乳犬歯)がまだ残っている

もし気づかずに放置していたら——

1. 隣の歯の根を溶かす(歯根吸収)
埋伏犬歯は、周囲の歯の根っこを少しずつ溶かしていくことがあります。気づいたときには、健康だったはずの前歯の根が短くなってしまう。

2. 嚢胞(のうほう)を作る
埋まったままの犬歯の周囲に、袋状の病変(含歯性嚢胞)ができることがあります。放置すると骨を破壊し、外科手術が必要になります。

3. 発見が遅れるほど、治療が難しくなる
10代のうちは骨代謝が活発で、犬歯を引っ張り出しやすい。20代後半になると骨と犬歯が癒着してしまい、牽引しても動かず、抜歯するしか選択肢がなくなることがあります。

お父さまにCT画像をお見せして、事実をそのままお伝えしました。「ガタガタのご相談で来ていただきましたが、実はもうひとつ、今対処しないといけない問題があります」と。

診断 — 3つの問題が同時に存在していた

精密検査の結果、この患者さんには3つの問題が重なっていました。

1. 右上犬歯の埋伏

骨の中で斜めに埋まった状態。自然に萌出する可能性は極めて低い。

2. 叢生(ガタガタ)

特に下顎前歯にガタガタが強く、本人も歯磨きしにくさを自覚していました。

3. 歯槽性上顎前突

セファロ分析ではあごの骨そのものは正常上の前歯が基準値より前に傾いていて、口元を前に押し出している状態(歯の傾きによる上顎前突)でした。下の前歯の傾きは正常範囲でした。

3つの問題は、ひとつの方針で同時に解決できた
・埋伏犬歯を引っ張り出すにはスペースが必要
・ガタガタを並べるにもスペースが必要
・前に倒れた上の前歯を後ろに引っ込めるにもスペースが必要
——共通項は「スペース不足」。ならば上下左右の第一小臼歯を計4本抜歯してスペースをつくる方針が、3つを同時に解決する最短ルートになります。

治療方針 — 開窓牽引+上下4本抜歯+表側矯正

ご本人・お父さまに、3つのステップで説明しました。

  1. 上下左右の第一小臼歯を計4本抜歯してスペースを確保する
  2. 右上の犬歯に「開窓牽引——歯ぐきを開いて埋まっている犬歯にボタンを接着し、ワイヤーとゴムの力で少しずつ引き出す
  3. 表側矯正装置で全体を整列し、顎間エラスティックで噛み合わせを整える
「開窓牽引」ってなに?
歯ぐきの中に埋まっている歯の上の歯ぐきを小さく開け(開窓)、その歯に矯正用の小さなボタンを接着します。そのボタンからワイヤーや糸を出し、1ヶ月あたり1〜2mmのペースで引っ張って歯を正しい位置に誘導する処置です。力は強くありません——コンビニのおにぎり半分くらいの、弱くて持続的な力で少しずつ引き出します。
▶ 詳しくは 犬歯が生えてこない?|埋伏犬歯の原因・予防・治療 で解説しています。

治療経過 — 2年6ヶ月の記録

初診時(治療前)

一見すると「よくあるガタガタ」。ところが上顎右側には、乳犬歯が残ったまま永久犬歯が見当たらない。前歯は重なり合い、口元は前に突出している状態。

犬歯埋伏 初診時の口の中5枚組|奈良の矯正歯科 氏井矯正歯科クリニック
1ヶ月後:装置装着 + 開窓処置

表側矯正装置を装着し、続けて右上犬歯の開窓処置を行いました。歯ぐきを小さく開けた瞬間、すでに犬歯の先端が顔を出してきました。ここにボタンを接着し、ワイヤーとつないで牽引をスタート。開窓した時点でもう動き出していた——この症例で治療がスムーズに進んだ、いちばん大きなきっかけでした。

犬歯埋伏 開窓処置1ヶ月後の口の中5枚組|奈良の矯正歯科 氏井矯正歯科クリニック
開窓した瞬間の手応えで、その後が決まる
開窓牽引でいちばん怖いのは「歯が動かない(癒着)」。開窓した時点で犬歯がすでに動き出していたのは、骨とくっついていない(癒着していない)何よりの証拠です。この瞬間に「これは計画どおりいける」と確信しました。
3ヶ月後:犬歯が順調に降りてくる

牽引を続けて3ヶ月。右上犬歯はさらに歯ぐきから姿を現し、歯列に近づいてきました。同時に、抜歯でできたスペースを使って、ガタガタの歯が整列していきます。

犬歯埋伏 治療3ヶ月後の口の中5枚組|奈良の矯正歯科 氏井矯正歯科クリニック
6ヶ月後:犬歯が少しずつ動いてきた

右上犬歯は、骨の中からさらに下りてきて、歯ぐきから少しずつ姿を見せてきました。まだ他の歯と同じ高さには達していませんが、計画どおり順調に動いていることが確認できた段階です。引き続きワイヤーとチェーンで牽引を続けます。

犬歯埋伏 治療6ヶ月後の口の中5枚組|奈良の矯正歯科 氏井矯正歯科クリニック
1年6ヶ月後:高校入学・犬歯が歯列に並ぶ

治療中に高校受験・入学を迎えました。お父さまが最初に心配されていた「受験への影響」は、杞憂でした。通院は月1回・約30〜60分。本人は部活も受験勉強も両立しながら通ってくれました。
この時期、右上犬歯は他の歯と同じ高さまで引き出され、歯列に並びました。ここからは、前に倒れていた前歯を後ろに引っ込める段階(スペース閉鎖・前歯後退)に入ります。

犬歯埋伏 治療1年6ヶ月後の口の中5枚組|奈良の矯正歯科 氏井矯正歯科クリニック
エラスティックは「本人の頑張り」で差が出る
顎間エラスティックは、ご本人が自分でかけるゴムです。長くかけていただけるほど、歯が計画どおりに動き、治療期間もスムーズに進みます。野球部・受験・高校入学と忙しい時期でしたが、本人はコツコツとかけ続けてくれました。治療が予定どおり進んだ大きな理由は、本人の頑張りです。
2年6ヶ月後:治療完了

抜歯スペースは完全に閉じ、右上犬歯は他の歯と完全に揃い、前歯のガタガタも消え、口元の突出感もなくなりました。装置を外した日、お父さまは「あの時CTでみつけてもらえて、本当によかった」と静かにおっしゃいました。治療前後の変化は、この下のBefore/Afterをご覧ください。

Before / After

お口の中 正面

犬歯埋伏 治療前後 口の中正面|奈良の矯正歯科 氏井矯正歯科クリニック

お口の中 右側面(犬歯埋伏部)

犬歯埋伏 治療前後 口の中右側面|奈良の矯正歯科 氏井矯正歯科クリニック

横顔

犬歯埋伏 治療前後 横顔|奈良の矯正歯科 氏井矯正歯科クリニック

▶ 症例89の全写真を見る

2年6ヶ月
治療期間
4本
抜歯(上下4番)
1本
開窓牽引(右上3)
月1回
通院頻度

治療を終えて — 院長より

氏井矯正歯科クリニック 院長 氏井庸介

氏井矯正歯科クリニック 院長 氏井 庸介

この症例でいちばんお伝えしたいのは、「ご家族も本人も、まったく気づいていなかった」という事実です。

右上の犬歯が骨の中で横向きに埋まっているのに、表には乳歯が残っている。外から見ても、本人の感覚でも、何ひとつ異変はありません。でも、その年齢まで乳犬歯が残っている——矯正医にとってそれは、埋伏を強く疑う明確なサインです。矯正相談のタイミングで見つけられたことが、今回のスタートでした。

もしあと5年、10年気づかないままだったら、犬歯は骨と癒着して動かなくなり、隣の前歯の根は溶けていき、抜歯せざるを得なくなっていた可能性が高い。14歳というタイミングで見つけられたことが、この結果の前提でした。

お父さまが初診の日、「受験の邪魔にならないか」と心配されていたのを覚えています。結果として、高校受験も部活も、何ひとつ妨げずに治療を終えられました。本人が毎日エラスティックを欠かさずにかけ続けてくれたこと、お父さまが2年半、月1回の通院を一度も休まず連れてきてくださったこと——ご家族の信頼と本人の頑張りが、この治療を成立させました。

この症例で院長が毎回チェックしていたこと

チェック項目 なぜ必要か
埋伏犬歯の位置(レントゲン) 動いているか・癒着していないかを確認
隣の歯の歯根 埋伏犬歯が隣接歯の根を溶かしていないか確認
歯肉の状態 牽引した犬歯の歯ぐきが下がっていないか確認
抜歯スペースの計測 治療の進捗を数字で管理・本人に共有
エラスティックの装着時間 本人の協力度を把握し、計画どおり進んでいるか判断
歯磨きの状態 思春期の患者は虫歯・歯肉炎リスクが高いため重点確認

この治療で起こりうる副作用

矯正治療には、事前にお伝えしておくべきリスクがあります。この症例でも、事前にご本人とお父さまに以下を説明してから開始しました。

  • 歯肉退縮——歯ぐきが下がることがある
  • 歯根吸収——歯の根が短くなることがある(特に長期牽引で起こりうる)
  • 歯髄壊死——稀に歯の神経が死ぬことがある
  • 癒着による予期せぬ歯の動き——埋伏歯が骨と癒着していると計画どおり動かない可能性がある

これらはすべて、治療前のCT・定期的なレントゲンで早期に発見し対処できるよう管理しています。

よくある質問

Q. うちの子も埋伏犬歯がないか心配です。どうやって確認できますか?
犬歯は通常11〜13歳頃に生え変わります。13歳を過ぎても乳歯の犬歯が残っている・左右で生え方に差がある場合は、一度レントゲンで確認されることをおすすめします。当院の初診相談は無料。より詳しく確認する必要があれば、CT撮影(4,400円・税込)で骨の中の状態まで把握できます。
Q. 高校受験の前に矯正を始めても大丈夫ですか?
この症例の患者さんも、治療中に高校受験を迎えられました。通院は月1回・約30〜60分のため、受験勉強への影響はほとんどありません。むしろ「高校入学時にきれいな歯並びで迎えたい」というお子さんは多いです。
Q. 開窓牽引はどれくらい時間がかかりますか?
埋伏の深さ・角度・年齢によって異なりますが、およそ6ヶ月〜1年半かけて歯を引き出します。全体の矯正治療を含めると2〜3年が目安です。この症例では全体で2年6ヶ月かかりました。
Q. 費用と支払い方法を教えてください。
表側矯正(クリアブラケット)は83万〜93万円(税込)です。開窓牽引を伴う場合の外科処置費用は別途必要です。分割払い・デンタルローンにも対応しています。詳しくは料金ページをご覧ください。

「うちの子、気づかないうちに何か隠れていないかな?」

外から見えない埋伏歯は、レントゲンでしか見つかりません
初診相談は無料。気になった今が、いちばん早いタイミングです。

初診相談を予約する

関連記事

BACK