未分類

【奈良の矯正歯科医が解説】17歳女性の出っ歯・口ゴボ・ガタガタを2年で改善

氏井庸介

氏井矯正歯科クリニック
院長 氏井庸介

DOCTOR PROFILE

2026.03.27
上の前歯が気になる」「口元を引っ込めたい」——中学生の頃からずっと気になっていた歯並びと口元。
今回は、17歳の女性がガタガタ・出っ歯・口元の突出を2年間の矯正治療で改善した症例を、カウンセリングから治療完了まで写真付きで解説します。

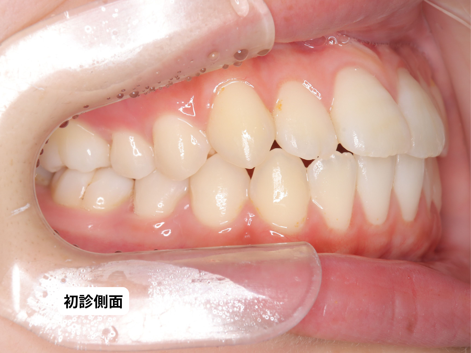
初診カウンセリング — 「周りの人と比べてしまう」

初診時の横顔|奈良の矯正歯科 氏井矯正歯科クリニック
年齢・性別17歳 女性
主訴ガタガタ、口元が出ている
気になり始めた時期中学生の頃から
来院のきっかけホームページ + Google口コミ
治療期間約2年
装置表側矯正(クリアブラケット)
抜歯上下左右の第一小臼歯(計4本)
「中学生の頃から、周りの人と比べてしまって……上の前歯が気になるのと、口元を引っ込めたいんです」
お姉さんが大阪で矯正治療中だったこともあり、矯正治療についてはある程度の知識をお持ちでした。「きれいになるなら抜歯しても良い」と、治療への意思は初めからはっきりされていました。

初診相談でお話を伺いながら、まず気になったのは口を閉じたときの口元のラインでした。お口を閉じても前歯が少し見えてしまう状態。ご本人が気にされている「口元の突出感」の原因を、まずCT撮影で確認していきます。

CT診断 — 骨格は正常。問題は「歯の傾き」だった

矯正治療前の横顔|奈良の矯正歯科 氏井矯正歯科クリニック

CT撮影とセファロ分析の結果、意外な事実がわかりました。

骨格(あごの骨)自体は正常でした。上あごも下あごも大きさ・位置に問題はありません。では、なぜ口元が出ているのか?

原因は「歯の傾き」です。上の前歯が基準値よりも大きく前方に傾いていました。下の前歯も同様です。あごの骨は正常なのに、歯だけが前に倒れている状態——これを「歯槽性の上下顎前突」といいます。

CTで骨の厚みまで確認する理由
歯を後ろに引っ込めるということは、骨の中で歯を移動させるということです。骨が薄いところに無理に動かすと、歯ぐきが下がったり、歯の根が短くなるリスクがあります。CTで骨の厚みと歯根の長さを事前に測定し、安全に動かせる範囲を確認してから治療計画を立てます。

なぜ「抜歯」が必要なのか

前に倒れた歯を後ろに引っ込めるには、歯が動くためのスペースが必要です。今回のケースでは歯の傾きが大きく、ガタガタ(叢生)もあるため、スペースを確保するために上下左右の第一小臼歯(4番目の歯)を計4本抜歯する方針としました。

抜歯と聞くと不安に感じる方も多いですが、ご本人は「きれいになるなら」と前向き。お姉さんも矯正で抜歯を経験されていたことも安心材料になったようです。

治療経過 — 2年間の記録

治療開始:装置セットの日

上下にクリアブラケット(目立ちにくい透明の装置)を装着しました。最初のワイヤーは細くて柔らかいものから始めます。

最初のワイヤーに「形状記憶合金」を使う理由
形状記憶合金のワイヤーは、体温で元の形に戻ろうとする性質があります。ガタガタに並んだ歯にこのワイヤーを通すと、ワイヤーが元のアーチ形に戻る力で歯が少しずつ整列していきます。力が弱く一定なので、痛みが出にくいのが特徴です。
3〜18ヶ月:歯が動き、スペースが閉じていく
3ヶ月後
矯正治療3ヶ月後 右側面|奈良の矯正歯科 氏井矯正歯科クリニック
右側面
矯正治療3ヶ月後 咬合面|奈良の矯正歯科 氏井矯正歯科クリニック
咬合面
6ヶ月後
矯正治療6ヶ月後 右側面|奈良の矯正歯科 氏井矯正歯科クリニック
右側面
矯正治療6ヶ月後 咬合面|奈良の矯正歯科 氏井矯正歯科クリニック
咬合面
12ヶ月後
矯正治療12ヶ月後 右側面|奈良の矯正歯科 氏井矯正歯科クリニック
右側面
矯正治療12ヶ月後 咬合面|奈良の矯正歯科 氏井矯正歯科クリニック
咬合面
18ヶ月後
矯正治療18ヶ月後 右側面|奈良の矯正歯科 氏井矯正歯科クリニック
右側面
矯正治療18ヶ月後 咬合面|奈良の矯正歯科 氏井矯正歯科クリニック
咬合面

治療開始から最初の数ヶ月、私が一番気にしているのは「歯がちゃんと動いているか」です。レントゲンで歯根の長さを測定し、治療前と比較。力をかけすぎると歯の根が短くなる(歯根吸収)リスクがあるため、毎回チェックしています。

50グラム——コンビニのおにぎり半分の力
歯を動かすのに使う力は約50グラム。「もっと強い力で引っ張った方が早く動くのでは?」と思われるかもしれませんが、実は逆。強すぎる力は歯の根を傷めたり、かえって歯が動かなくなります。弱くて持続的な力が、歯を安全に動かす鍵です。
コイルスプリングでスペースを閉じる
抜歯スペースを閉じるために、ワイヤーに小さなコイルスプリングをかけます。来院のたびに抜歯スペースの残りをノギスで測定し、ご本人にも進捗をお伝えします。
「舌の癖」をチェックする理由
前歯が前に出ていた方の中には、飲み込むときに舌で前歯を押す癖(舌突出癖)がある方がいます。この癖が残っていると後戻りの原因に。毎回の来院時に舌の動きを確認し、必要に応じてトレーニング(MFT)をお伝えしています。

18ヶ月後にはスペースがほぼ閉じ、噛み合わせの微調整に入ります。デンタルモニタリングで来院と来院の間もAIが装置の状態を自動チェック。何か問題があれば来院日を待たずに対応できます。

24ヶ月後:治療完了

2年間の治療が完了しました。

Before / After

口腔内 正面

Before
出っ歯・口ゴボ 矯正治療前 口腔内正面|奈良の矯正歯科 氏井矯正歯科クリニック
After
出っ歯・口ゴボ 矯正治療後 口腔内正面|奈良の矯正歯科 氏井矯正歯科クリニック

口腔内 側面

Before
出っ歯・口ゴボ 矯正治療前 口腔内側面|奈良の矯正歯科 氏井矯正歯科クリニック
After
出っ歯・口ゴボ 矯正治療後 口腔内側面|奈良の矯正歯科 氏井矯正歯科クリニック

横顔

Before
出っ歯・口ゴボ 矯正治療前 横顔|奈良の矯正歯科 氏井矯正歯科クリニック
After
出っ歯・口ゴボ 矯正治療後 横顔|奈良の矯正歯科 氏井矯正歯科クリニック
2年
治療期間
4本
抜歯(上下4番)
月1回
通院頻度

治療を終えて — 院長より

氏井矯正歯科クリニック 院長 氏井庸介

氏井矯正歯科クリニック 院長 氏井 庸介

初診カウンセリングのとき、「周りの人と比べてしまう」とおっしゃっていた言葉が印象に残っています。

矯正治療は装置をつけて歯を動かすだけの治療ではありません。毎回の来院でレントゲンを撮り、歯根の長さを確認し、抜歯スペースを測り、舌の動きをチェックし、歯磨きの状態を確認する——そうした一つひとつの積み重ねが、安全で確実な結果につながります。

2年間、毎月の来院を欠かさず通ってくれたご本人の頑張りが、この結果に一番貢献しています。

この症例で院長が毎回チェックしていたこと

チェック項目 なぜ必要か
歯根の長さ(レントゲン) 力をかけすぎていないか確認。歯根吸収の早期発見
骨の状態(CT) 歯を安全に動かせる範囲を把握する
抜歯スペースの計測 治療の進捗を数字で管理。患者さんにも共有
初期移動の確認 ワイヤーの力で歯が正しい方向に動いているか
舌の癖チェック 後戻りの原因になる舌突出癖を早期に発見・指導
歯磨きの状態 矯正中の虫歯・歯肉炎を予防する
デンタルモニタリング 来院と来院の間もAIが装置の状態を自動確認

よくある質問

Q. 高校生で矯正を始めても、大学受験に影響しませんか?
通院は月1回、約30〜60分の調整です。受験勉強に支障が出ることはほとんどありません。むしろ、大学生活を新しい歯並びで迎えたいという理由で高校生のうちに始められる方は多いです。
Q. 表側の装置は目立ちますか?
当院で使用しているクリアブラケットは透明なので、金属の装置と比べてかなり目立ちにくいです。ワイヤーも白いものを使用することができます。
Q. 抜歯は痛いですか?
抜歯は連携している歯科医院で行います。局所麻酔をしますので、抜歯中の痛みはありません。抜歯後の痛みは個人差がありますが、当院からお渡しする鎮痛剤で対応できる範囲です。
Q. 部活動は続けられますか?
ほとんどの部活動は問題なく続けられます。ただし、格闘技やラグビーなどコンタクトスポーツの場合は、マウスガードの使用をお勧めすることがあります。まずはカウンセリングでご相談ください。
Q. 費用と支払い方法を教えてください。
表側矯正(クリアブラケット)は83万〜93万円(税込)です。クレジットカード・デンタルローンによる分割払いにも対応しています。初診相談は無料ですので、まずはお気軽にご相談ください。詳しくは料金ページをご覧ください。

「うちの子の歯並び、大丈夫かな?」

初診相談は無料です。まずはお気軽にご相談ください。

初診相談を予約する

関連記事

BACK