症例別の治療法について

他院のマウスピース矯正から当院のワイヤー矯正に切り替え、口ゴボを改善した20代女性 の症例

氏井庸介

氏井矯正歯科クリニック
院長 氏井庸介

DOCTOR PROFILE

2026.04.15

                                                                     

「マウスピースを、高校生から4年。
それでも口元は、変わらなかった」


今回ご紹介するのは、高校生の頃からマウスピース矯正を続けてこられた21歳の大学生(奈良市)が、「このままでは治らないかもしれない」とご自身で気づかれ、当院でワイヤー矯正と上下4本の抜歯、そしてインプラントアンカーを用いた治療に切り替えられた症例です。
患者さま21歳 女性・大学生・奈良市
気になっていたこと口元が前に出ている / 笑った時の歯茎の見え方 / 下顎を前に出したい
治療前の経緯高校生の頃(約4年前)から他院でマウスピース矯正中。アンカースクリューは使用していなかった
当院での方針ワイヤー矯正(表側) + 上下4番抜歯 + インプラントアンカー
来院のきっかけホームページを見て

一番気になっていたのは「口元」だった

この患者さまは元々少しすきっ歯で、高校生の頃から他院でマウスピース矯正を続けてこられていました。矯正治療そのものは4年間続けてこられていたのですが、問診票には、ご本人が特に気にされていた点が具体的に記されていました。

「一番気になるところは、口元。」
気になる部位は「横顔(口元が出ている)」「笑った時の歯茎の見え方」にチェック。
きっかけは「顔立ちを見て」にチェック。
メリットの項目は「顔立ちが美しくなると、顔に対するコンプレックスが少なくなる」にチェック。

問診票1ページ目 手書きコメント部分(個人情報黒塗り)|奈良の矯正歯科

※ 実際にご本人が記入された問診票より(掲載はご本人の許可をいただいています)。

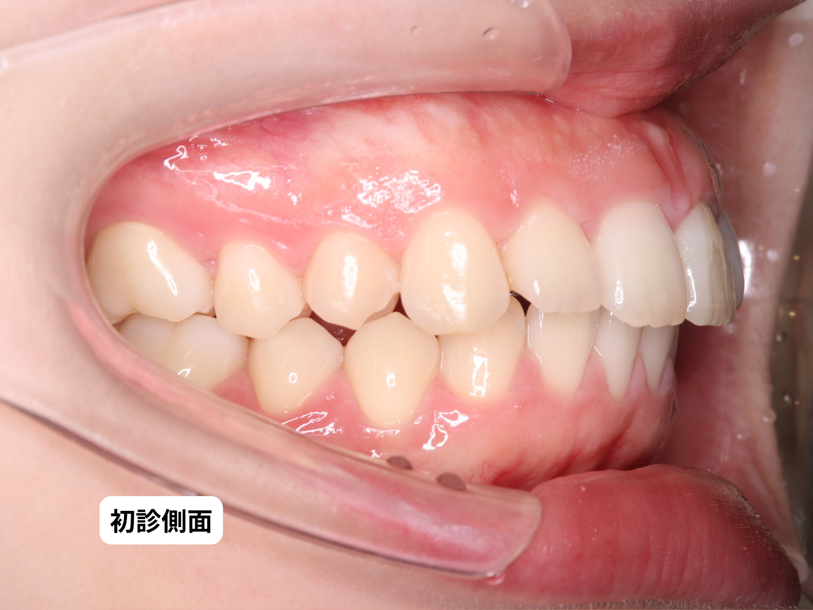
初診時の側貌(79-02)|奈良の矯正歯科

高校生から続けてきた4年間と、ご自身での気づき

この患者さまが最初にマウスピース矯正を始められたのは、高校生の頃。そこから約4年、他院で治療を続けてこられました。

大学生になり、ご自身でも色々と調べるなかで、問診票には次のような言葉が書かれていました。

「それだけ(マウスピース)では、ダメだったのかと思っている。」
「マウスピースではなくて、ワイヤー矯正にしたい。」
「歯医者自体を変えたいと思っている。」

問診票2ページ目 気になる点/メリット欄(個人情報黒塗り)|奈良の矯正歯科

※ 問診票2枚目より。ご本人が気にされていた項目が記されています。

誰かに強く勧められたわけではなく、ご自身の判断で、治療方針の見直しを決められて来院された——ここが、この症例のいちばん大事なところです。

「このままで本当にいいのか」を、確かめに来る日

この患者さまが当院のホームページにたどり着かれたのは、そんなタイミングでした。

最初からすべてを切り替える覚悟で来られたわけではなく、「一番気になる口元を治すには、何が必要なのかを聞きたい」というお気持ち。アンカースクリューが必要なのか、抜歯はどうなのか、費用や期間はどれくらいかかるのか。問診票には、聞きたいことがいくつも書き込まれていました。

私たちは、まずアイテロ(口腔内スキャナー)とCTで現状を精密に記録し、次回の診断時にひとつずつ数字でお答えすることをお伝えしました。

“なぜマウスピースだけでは動かなかったのか”が、数字で分かった日

CT・セファロ・アイテロのデータが揃った段階で、この患者さまの口元の状態を客観的に分析しました。

結論は、シンプルでした。

口元をしっかり下げるためには、(1)上下の小臼歯4本を抜いてスペースを作る、(2)そのスペースを使って歯列全体を後方に動かす——そしてその大きな動きを安定させるために (3)インプラントアンカーが必要という状態でした。

マウスピース矯正が悪い治療だったわけではありません。ただ、この患者さまの口元の突出量に対しては、アンカースクリューなしの非抜歯という枠組みでは、物理的に届かない範囲だったのです。

上下4番抜歯 ワイヤー矯正(表側) インプラントアンカー
初診時セファロ分析(79-04)|奈良の矯正歯科

この患者さまが高校生の頃から続けてこられた4年間は、決して無駄な時間ではありません。あの時間を積み重ねて、ご自身の歯が「どう動いて、どう動かなかったか」を知っていらっしゃるからこそ、次の治療の選び方にも納得して進めました。
大切なのは「マウスピースかワイヤーか」ではなく、ご自身の口元にとって、何が必要かを、数字と写真で一緒に確かめていくことです。

マウスピース矯正が適応でないわけではありません。ただし、口元の突出量が一定以上あるケースでは、抜歯とアンカースクリューを組み合わせないと、物理的に届かない範囲が出てきます。その線引きを事前に数値で把握できるかどうかが、治療方針を決めるうえで重要になります。

「歯を抜く」ではなく「口元を下げるスペースを作る」

この患者さまは、問診票に「歯は抜いても大丈夫」と書かれていました。ここまで色々と悩まれ、ご自身で調べてこられたからこそ、抜歯という選択に対する迷いは、すでに整理されていたのだと思います。

私たちがカウンセリングでお伝えしているのは、これは”歯を抜く”ための治療ではなく、口元をしっかり下げるためのスペースを作る治療だ、という考え方です。

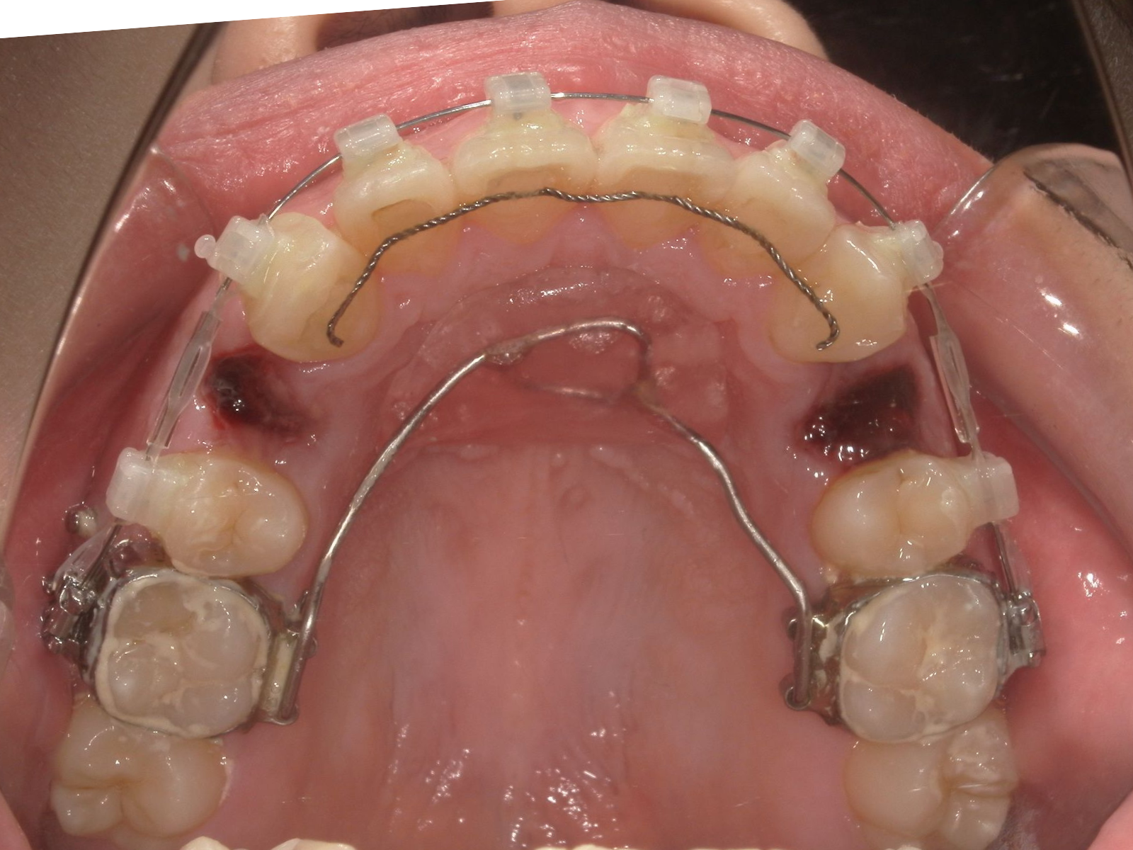
装置は、前歯の細かいコントロールがしやすい表側のワイヤー矯正(ラビアル)を選択。さらに、抜歯スペースを最大限に使って歯列全体を後方に動かすために、インプラントアンカーを併用する方針となりました。

変わっていった、治療中の日々

ワイヤー矯正+抜歯+アンカースクリューに切り替えてから、歯列全体を後方に動かす治療がスタートしました。

治療中間

下の写真は、抜歯直後・6か月後・18か月後の経過写真です。

抜歯直後 口腔内(79-05a)|奈良の矯正歯科 治療開始 半年後 側貌+口腔内(79-05b)|奈良の矯正歯科 治療開始 1年半後 口腔内(79-05c)|奈良の矯正歯科

治療後

治療完了時の口元の位置を、側貌と口腔内の両方で確認します。

治療後 口腔内(79-06)|奈良の矯正歯科

Before / After

Before 初診時側貌 Before(79-BA1a)|奈良の矯正歯科
After 治療後側貌 After(79-BA1b)|奈良の矯正歯科

側貌——Eラインを基準とした口元の位置の変化。

Before 初診時口腔内 Before(79-BA2a)|奈良の矯正歯科
After 治療後口腔内 After(79-BA2b)|奈良の矯正歯科

口腔内——抜歯スペースが閉じ、歯列が整いました。

この患者さまから、同じように悩んでいる方へ

※ この欄には、保定来院時にご本人から伺ったコメントを後日追記します。

「マウスピースで治らないのでは」と感じたら

近年、マウスピース矯正は急速に広まり、選びやすい治療になりました。適応の症例に対しては、非常に優れた治療です。

一方で、この患者さまのように口元の突出量が大きいケースでは、マウスピース単独では届かない範囲が出てくることがあります。その場合の選択肢は、大きく分けて次の3つです。

  • ① アンカースクリューを追加する
  • ② 抜歯を加えてスペースを作る
  • ③ 装置そのものをワイヤー矯正に切り替える

どれが正解かは、口元の突出量・歯の傾き・骨格で変わります。大切なのは、続けるか切り替えるかを”感覚”で決めないこと。セファロやCTで客観的に見れば、今の治療で届く範囲・届かない範囲は、きちんと分かります。

「このままで本当に治るのかな」と感じている時間が、一番つらい時間です。
その時間を終わらせるためだけにでも、一度ご相談ください。

よくあるご質問

Q1. マウスピース矯正中ですが、ワイヤーに切り替えられますか?
A. はい、可能です。現在のマウスピースでどこまで動いているか、目標までの距離、抜歯やアンカースクリューの必要性を、セファロ・CT・口腔内スキャンで確認したうえで方針を決めます。「必ず切り替えてください」とお勧めすることはありません。
Q2. 今まで続けてきた時間は無駄になりますか?
A. 無駄ではありません。これまで歯を動かしてきた経過は、ご自身の歯がどう反応するかを示す貴重な情報です。次の治療方針を立てるうえでも役立ちます。
Q3. 抜歯やアンカースクリューが必要と言われたら、避ける方法はありますか?
A. 口元の突出量によっては、回避すると仕上がりに影響するケースがあります。当院では「やらない場合の仕上がり」と「やった場合の仕上がり」の両方を、セファロの数値でお見せしたうえで、ご本人に選んでいただいています。
Q4. 相談だけでも行けますか?
A. もちろんです。当院の初診相談は無料で、治療の勧誘はいたしません。「今の治療を続けるべきか」「別の方針はあるのか」を知るだけでも、気持ちが整理されることがあります。

同じように「このままで本当に変わるのかな」と感じている方は、
一度ご相談ください。
無理に治療をお勧めすることはありません。
まずは”今の状態と、目標までの距離”を、一緒に見てみませんか。

初診相談のご予約はこちら

BACK