症例別の治療法について

重度の過蓋咬合(かみ合わせが深い)をマウスピース矯正で治療した症例【26歳女性・奈良】

氏井庸介

氏井矯正歯科クリニック
院長 氏井庸介

DOCTOR PROFILE

2026.04.29

                                                                 

「重度の過蓋咬合は、マウスピースでは治せない」

これが矯正治療の一般的な常識です。

ですが今回ご紹介する症例は、重度の過蓋咬合ローアングル傾向の骨格という難しい条件を抱えながら、マウスピース矯正・非抜歯で2年で改善した26歳女性のケース。

なぜ重度なのにマウスピースが選べたのか。その**特殊な臨床判断ロジック**を解説します。

過蓋咬合(かみ合わせが深い)とは

過蓋咬合(かがいこうごう)とは、上の前歯が下の前歯に深く覆いかぶさっている状態です。「ディープバイト」とも呼ばれ、放置すると前歯のすり減り・顎関節症・歯周病リスクが高まります。

治療法は症状の重さで変わります。詳しくは 過蓋咬合の治療選択ガイド・6症例で解説(ハブ記事) をご参照ください。

今回の患者さまの過蓋咬合は「重度」

言葉では分かりにくいので、実際の患者さまの口腔内をご覧ください。

初診時の正面噛み合わせ|重度の過蓋咬合|奈良の矯正歯科

重度の過蓋咬合です。本来であれば下の前歯が3〜4mm程度見える状態が正常ですが、この患者さまは下の前歯がほぼ完全に隠れている状態でした。

さらに、セファロ分析で骨格を確認したところ「ローアングル傾向」(顔が短く見える骨格パターン)と判定。これは過蓋咬合が悪化しやすく、治療が難しい組み合わせです。

症例プロフィール

患者さま26歳 女性
居住地京都府木津川市(治療中に奈良市へ転居)
診断名右下1欠損を伴う上顎前突
重度の歯槽性過蓋咬合(ローアングル骨格傾向)
主訴ガタガタ・上の前歯が気になる
治療装置マウスピース矯正
抜歯非抜歯
治療期間2年
矯正治療問診票(個人情報マスク処理済み)|奈良の矯正歯科

初診時の状態

診察で確認された主な所見は以下のとおりです。

  • 重度の歯槽性過蓋咬合(下の前歯がほぼ見えない)
  • 骨格的にローアングル傾向(過蓋咬合が悪化しやすい骨格パターン)
  • 上の前歯に軽度の出っ歯(上顎前突)
  • 歯並びに軽度のガタガタ(叢生)
  • 右下1番(中切歯)の先天欠如
  • 口元のバランスはきれい(横顔・Eラインも問題なし)

● 気になっているところ:ガタガタ/上左側 前歯

● 不安:支払方法/治療方法/治療期間/装置の見た目/歯を抜くこと

● 来院きっかけ:友人がマウスピース矯正をしていた影響

「歯槽性」と「骨格性」の違い
過蓋咬合の原因は2種類あります。

  • 歯槽性:歯そのものの位置の問題(前歯が伸びすぎ、奥歯が低位)
  • 骨格性:上下の顎の骨自体の位置・形の問題

歯槽性であれば歯の移動で対応可能。骨格性が強いと外科治療も視野に入ります。歯槽性か骨格性かは セファロ分析(頭部X線規格写真)でしか正確に判別できません。本症例はセファロトレースで歯槽性と判定し、歯の移動で対応可能と判断しました。

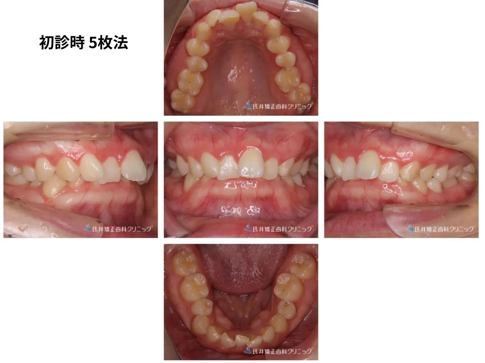
初診時の状態(写真)

診察と診断の根拠となった初診時の資料です。

口腔内 5枚法

初診時の口腔内5枚法|重度過蓋咬合|奈良の矯正歯科

笑顔・側貌

初診時 笑顔 矯正治療前の笑顔(26歳女性)|奈良の矯正歯科
初診時 側貌 矯正治療前の側貌(横顔)|口元評価|奈良の矯正歯科

セファロトレース・パノラマX線(治療判断の根拠)

セファロ 初診時セファロトレース|ローアングル骨格判定|奈良の矯正歯科
パノラマ 初診時パノラマX線|右下1番先天欠如|奈良の矯正歯科

セファロ分析の数値(治療判断の根拠)

項目 正常範囲 本症例の値 判定
FMA(下顎下縁角)22〜28°16°ローアングル
ANB(上下顎前後差)2〜4°3.5°正常範囲(骨格Class I)
U1 to SN(上前歯傾斜)約105°105°正常範囲
L1 to Mand(下前歯傾斜)約93°92°正常範囲
Overbite(重なり)2〜3mm7mm重度過蓋咬合
U-lip to E-line0〜-2mm+1mm口元バランス概ね保たれている

※ 数値は セファロトレースから算出。ローアングル骨格+重度過蓋咬合だが、口元バランスは保たれていることが数値で確認できました。

5枚法で過蓋咬合の重度さ右下1番の欠損が確認できます。セファロトレースでは、骨格がローアングル傾向であること、過蓋咬合の原因が歯槽性であることが数値で示されました。これらを総合してマウスピース×非抜歯という判断に至りました。

なぜ「マウスピース×非抜歯」を選んだのか

重度の過蓋咬合+ローアングル骨格は、一般的にはワイヤー矯正+咬合挙上樹脂を選択する難症例です。それでも本症例ではマウスピース×非抜歯を選びました。判断の根拠はすべてセファロトレースで得られた骨格情報です。判断のポイントは3つあります。

① 口元のバランスがすでにきれいだった

口元(横顔・Eライン)はバランスが取れていて、抜歯して前歯を引っ込める必要がなかった状態でした。

もし無理に抜歯すると、前歯が後ろに倒れて、逆に過蓋咬合が悪化するリスクがありました。

② 先天欠如を踏まえた「ボルトン分析」での苦渋の決断

右下1番の先天欠如があるため一見スペースに余裕があるように見えますが、「歯が1本少ない」ということは上下の歯のサイズバランスが崩れている状態でもあります。

そこで 「ボルトン分析」(上下の歯のサイズ比を分析する手法)を実施。上下の歯のサイズバランスが許容範囲内に収まると数値で確認できたため、非抜歯で治療を進められると判断しました。

正直に言うと、これは苦渋の決断でした。先天欠如がある症例での治療方針は本当に難しく、抜歯/非抜歯の判断を間違えると後戻りや咬み合わせのズレが起きます。ボルトン分析の数値で「許容範囲」と確認できたから踏み切れた判断です。
※ ボルトン分析の詳しい解説は別記事(執筆予定)でお伝えします。

③ ローアングル骨格+抜歯は最悪の組み合わせ

ローアングル傾向の骨格は、奥歯が挺出しにくいため、抜歯すると前歯がさらに深く噛み込んで過蓋咬合が悪化します。

つまり、この患者さまの場合「抜歯したら逆に悪くなる」リスクが高かった。だからこそ非抜歯一択でした。

「重度=抜歯」「重度=ワイヤー」と一律で判断するのは危険です。骨格パターン・口元のバランス・歯の本数(先天欠如の有無)セファロトレースで総合的に見ると、この患者さまにはマウスピース×非抜歯が逆に最適解でした。

マウスピースを選んだのは「患者さまが希望したから」ではなく、セファロ分析の結果からクリニカルに最適だったからです。

本症例の特殊な好条件

  • 過蓋咬合は重度だが 歯槽性(骨格性ではない)
  • 口元のバランスがすでにきれい → 抜歯不要
  • 先天欠如により スペースが確保済み
  • ローアングル骨格 → 抜歯はむしろ悪化のリスク

これらが揃ったため、「マウスピース×非抜歯」という一見大胆な選択が、実は最適解でした。

重要:すべての重度過蓋咬合がマウスピースで治せるわけではありません。本症例は特殊な好条件が揃った稀なケース。多くの重度過蓋咬合症例ではワイヤー矯正+咬合挙上樹脂が標準です(症例26参照)。

適切な治療法を判断するには、セファロトレース(頭部X線規格写真の分析)が不可欠です。これなしに「マウスピースで治せる/治せない」の判断はできません。

過蓋咬合が改善していく経過(正面)

過蓋咬合の変化が一番分かりやすいのは正面の噛み合わせ写真です。下の前歯がだんだん見えるようになっていく経過をご覧ください。

治療開始前 矯正治療開始時の正面|重度過蓋咬合|奈良の矯正歯科
3ヶ月 矯正治療3ヶ月目の正面|過蓋咬合改善経過|奈良の矯正歯科
6ヶ月 矯正治療6ヶ月目の正面|過蓋咬合改善経過|奈良の矯正歯科
1年 矯正治療1年目の正面|過蓋咬合改善経過|奈良の矯正歯科
1年6ヶ月 矯正治療1年6ヶ月目の正面|過蓋咬合改善経過|奈良の矯正歯科
治療終了 矯正治療終了時の正面|過蓋咬合改善後|奈良の矯正歯科

正面写真で見ると、下の前歯がだんだん見えるようになっていくのが分かります。これが過蓋咬合の改善です。マウスピース矯正でも、軽度であれば奥歯のわずかな挺出と前歯の調整でしっかり改善できます。

治療前後の比較(多角度)

正面口腔内

Before 矯正治療前の正面口腔内|26歳女性|奈良の矯正歯科
After 矯正治療後の正面口腔内|26歳女性|奈良の矯正歯科

側貌(口元の変化)

Before 矯正治療前の側貌|口元バランス|奈良の矯正歯科
After 矯正治療後の側貌|口元バランス|奈良の矯正歯科

上顎咬合面(上から)

Before 矯正治療前の上顎咬合面|奈良の矯正歯科
After 矯正治療後の上顎咬合面|奈良の矯正歯科

下顎咬合面(下から)

Before 矯正治療前の下顎咬合面|先天欠如あり|奈良の矯正歯科
After 矯正治療後の下顎咬合面|奈良の矯正歯科

院長より

「過蓋咬合だからマウスピースは諦めた」と思い込んでいる方は意外と多いです。本症例のように重度の過蓋咬合でも、骨格・口元・歯の本数の条件次第ではマウスピースが最適解になることもあります。

大切なのは、セファロトレースを含めた精密検査で骨格・歯の状態を正しく診断すること。それなしにマウスピース可否は判断できません。

[院長コメント:本症例の患者さまの治療を通じて印象的だったこと — 院長記入欄]

よくあるご質問(過蓋咬合×マウスピース)

Q. 過蓋咬合はマウスピース矯正で治る?

軽度なら可能です。前歯の重なりが1/2以下、骨格に問題なし、叢生が軽度、という3条件が揃えばマウスピースで対応可能なことがあります。中等度以上の過蓋咬合はワイヤー矯正の方が確実です。判断には精密検査が必要です。

Q. 抜歯矯正で過蓋咬合は悪化することがありますか?

はい、抜歯と過蓋咬合の組み合わせは矯正治療の中でも難しいケースです。特にローアングル骨格の方では、抜歯すると前歯が後ろに倒れ込んで 過蓋咬合がさらに深くなる ことがあります。

本症例も「重度過蓋咬合+ローアングル傾向」だったため、安易に抜歯すると噛み合わせが悪化するリスクがありました。だからこそ、口元のバランスや先天欠如によるスペースの状況を セファロトレースとボルトン分析で総合判断したうえで、非抜歯 を選択しました。

「過蓋咬合+抜歯」は専門医の判断が特に重要な症例です。

Q. なぜ過蓋咬合はマウスピースが苦手と言われるの?

マウスピース矯正は奥歯の咬合面まで覆うため、奥歯が挺出しにくい構造になっています。前歯を圧下する力もワイヤーより弱いため、深い過蓋咬合では力不足になることがあります。

Q. マウスピースで治療する場合の注意点は?

装着時間(1日20時間以上)の自己管理が必須です。食事・歯磨きの時以外は基本ずっと装着。装着時間が短いと歯が動かず、治療期間が伸びるか、計画通りに治らないことがあります。

Q. 治療期間と費用は?

本症例は2年で完了しました。マウスピース矯正の治療期間は症例により1.5〜3年程度が一般的です。費用は当院では矯正料金80〜100万円台が目安(自費診療)。詳細は精密検査・診断後にお伝えします。

Q. 木津川市・京都府からも通院できる?

はい。本症例の患者さまも木津川市から通院されていました。マウスピース矯正は通院頻度が2〜3ヶ月に1回と少ないため、遠方の方でも無理なく続けられます。

Q. 抜歯は必要なかったの?

本症例は叢生量が小さく、骨格に問題もなかったため非抜歯で対応できました。過蓋咬合単独であれば非抜歯で治療できることが多いです。叢生が強かったり上顎前突が強い場合は抜歯を検討します。

「自分の過蓋咬合はマウスピースで治せる?」
「他院でワイヤーを勧められたけど、マウスピースの可能性が知りたい」
そんな方は当院の無料相談で診察させてください。あなたの過蓋咬合に最適な治療法をご提案します。

無料相談のご予約はこちら

BACK