
目次
抜歯をともなう矯正治療では、
この 閉じる(クロージング) が治療のメインとなるステージです。
ここでは、
- 抜歯スペースを閉じる
- 前歯の角度(トルク)を整える
- 横顔のバランスが変わってくる
といった大きな変化が起こります。
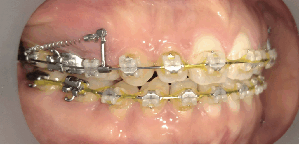
■ スペースは毎日少しずつ、月単位で実感できるステージ
スペースは1日ごとの変化は小さいですが、
月単位では「閉じてきたのが分かる」ステージ です。
当院では、毎回メジャーでスペース量を測定して
数字で“どれくらい進んだか”を確認しています。
さらに、
DM+(デンタルモニタリング+)を併用すると
AIが自動的に距離測定し、
スペース閉鎖を“数値で見える化” できます。


■ この時期に出やすい“あるある”現象
① 右だけ閉じて、左が遅い(左右差)
犬歯の根の形・骨の厚み・摩擦(フリクション)の違いで生じる、よくある現象です。

② コイルが歯ぐきに食い込む
歯の動きとコイルの戻りが合わないと起こるもの。
調整で解決できます。

● ③ “急に止まった気がする”時期がある
犬歯が引っかかる時期や、摩擦が増えるタイミングで起こります。
異常ではありません。
■ 閉じにくい場合の調整:個別最適化で対応します
スペースが閉じにくい患者さんには、
その人の骨格・歯根の形・犬歯の動きやすさに合わせて調整します。
- ワイヤーメカニクスへ切り替える

- 必要に応じてRAPで閉鎖スピードを少し加速

- ゴム(エラスティック)の使用状況を見直す

- 舌圧や噛み癖(MFT)も確認
閉じる(クロージング)は、
まさに“オーダーメイド矯正”が必要になるステージ です。
下記論文は個別最適化した症例報告です。72ページ目に掲載されています。

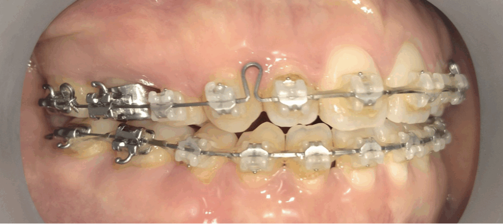
■ 注意点:噛み合わせが深くなりやすい
スペースが閉じてくるにつれ、
噛み合わせが深くなる(過蓋咬合に寄りやすい) 現象が出やすくなります。
これは異常ではなく、
閉じる (クロージング)の構造上どうしても起こりやすいものです。
特に、
前歯どうしが先に当たってしまう“干渉”が生じることで、
下の歯が入り込み、噛み合わせが深く見えてしまう 場合があります。
この“前歯の干渉”は放置すると
- スペースが閉じにくくなる
- 左右差が強くなる
- 仕上がりの噛み合わせに影響する
などの問題が出るため、
まずこの干渉を取り除き、噛み合わせの高さを整えてから
閉じる(クロージング)を続けることがとても重要です。。

■ DM+で閉じる(クロージング)が“見える化”される時代へ
閉じる(クロージング)は本来、変化が分かりにくいステージですが、
DM+があると状況が大きく変わります。
- スペース閉鎖量をAIが自動測定
- 右と左の閉鎖スピードを比較
- 「止まってる気がする…」が減る
■ まとめ|閉じる(クロージング)について
- 抜歯スペースが閉じていく中心ステージ
- 月単位で変化が分かるゆっくりとした動き
- 左右差や停滞は“よくあること”で異常ではない
- 必要に応じて加速やワイヤー変更で対応可能
- DM+で変化が明確に“見える化”できる
⭐ 【CTA(庸介さんテンプレ版)】
🎯 ここまで読んでくださった方へ
「抜歯スペースってどう閉じるの?」
「左右差が不安…」
「噛み合わせは大丈夫?」
「犬歯が動きにくいってほんと?」
そんな疑問があれば、
まずは CT診断つきカウンセリング で一緒に確認してみませんか?
骨格や歯の角度、噛み合わせを
3Dデータで丁寧に分析し、
“あなたの歯がどんな動きをするタイプなのか” を分かりやすくお伝えします。
🦷 ▶ 今の歯並びをチェックしてみる(CTカウンセリング)
※初回カウンセリングでは、
CTと3D分析を用いて治療の流れ・期間・費用をわかりやすく説明します。

歯を抜く矯正治療の4のつステップ手についてはこちら

