症例集

CASE

症例集(Before-After)

BEFORE AFTER

条件を指定して検索

歯並びの状態

治療内容

年齢

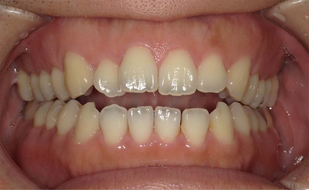
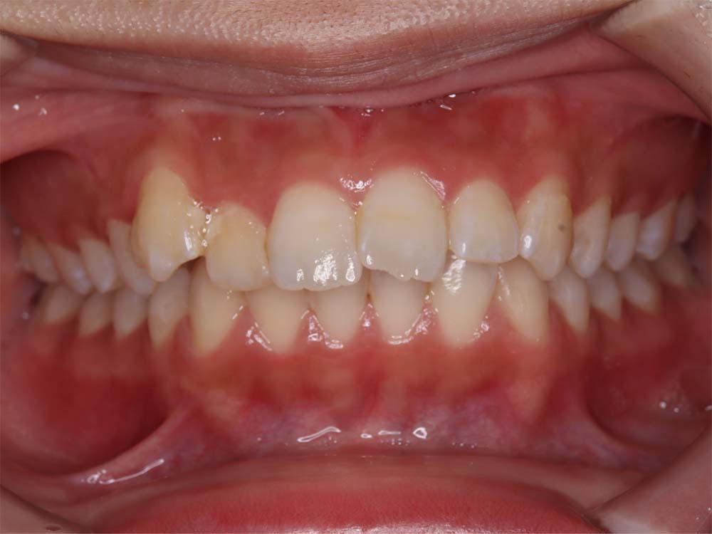
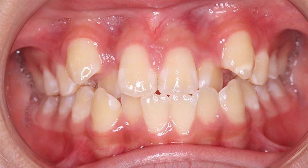
症例1
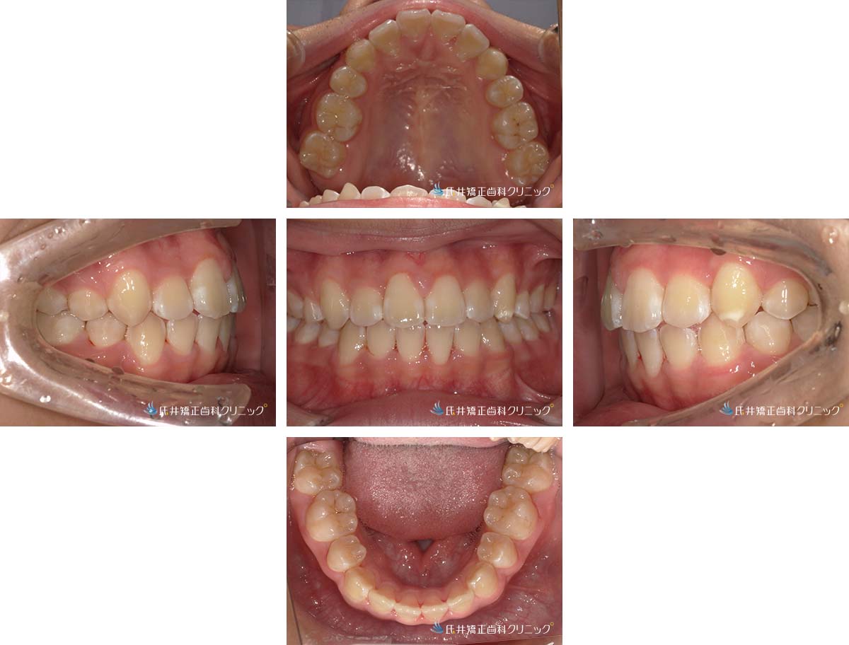
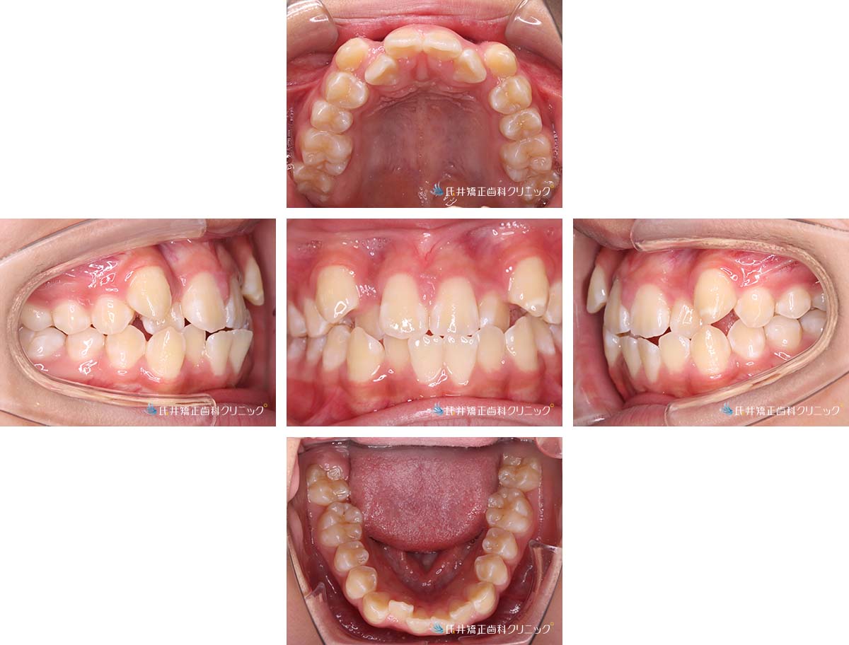
性別:女性 年齢:19歳 お住まいの地域:奈良市
主訴 前歯のガタガタと出っ歯
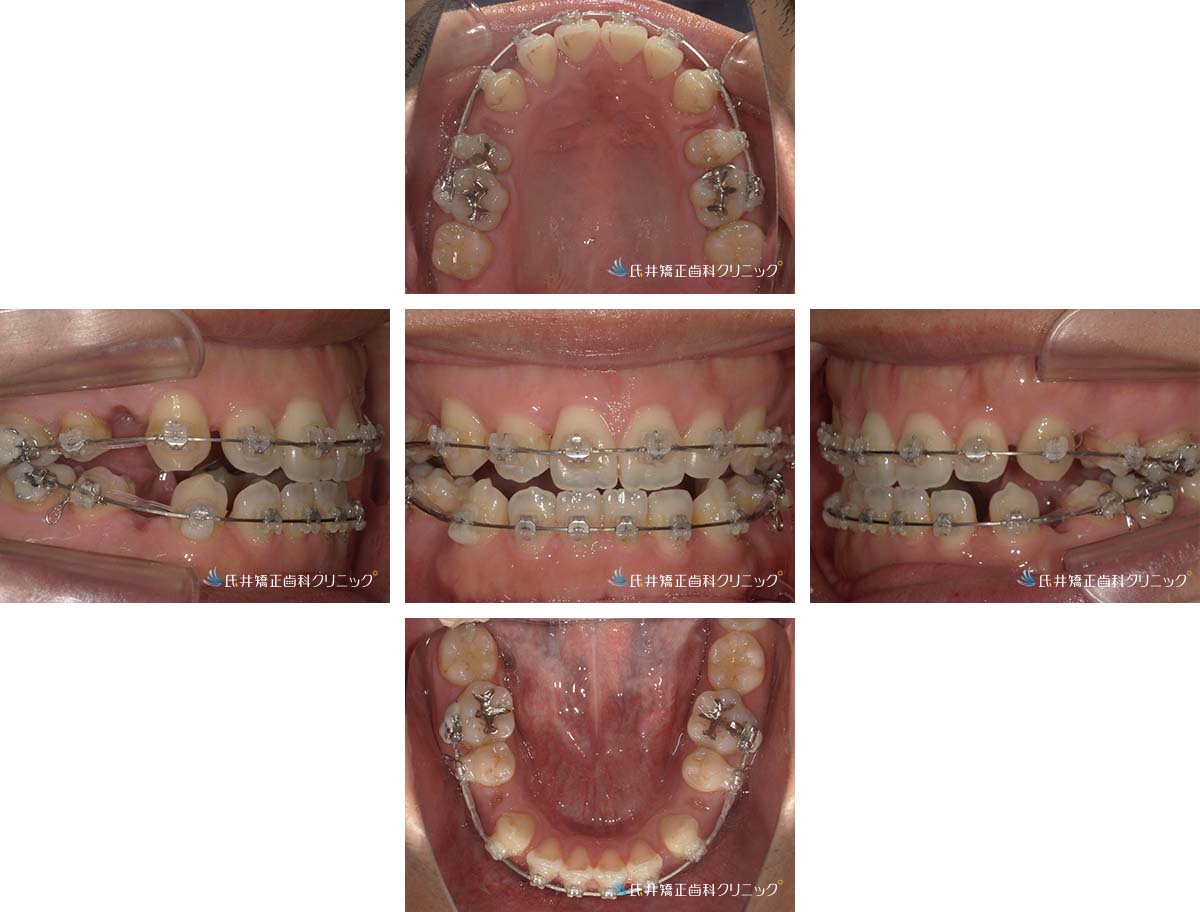
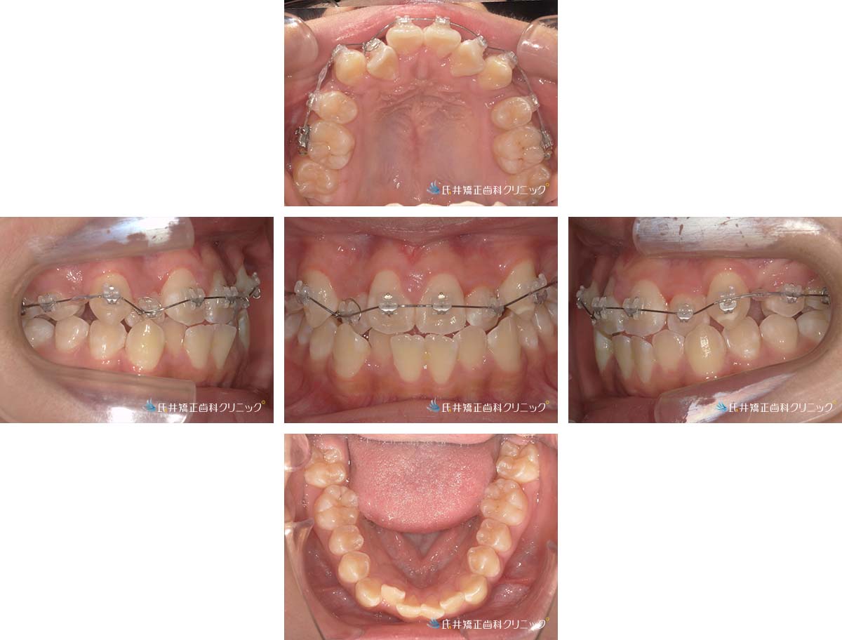
治療装置 白い表側矯正装置
抜歯 4本の抜歯
治療期間 2年2ヶ月
診断名 歯槽性上下顎前突
副作用 歯肉退縮・歯根吸収・歯髄・壊死・癒着による予期せぬ歯の動き

上下の歯の前歯の角度が傾斜しているため、抜歯が必要なケースでした。
上下の前突感を可能な限り後ろに下げました。

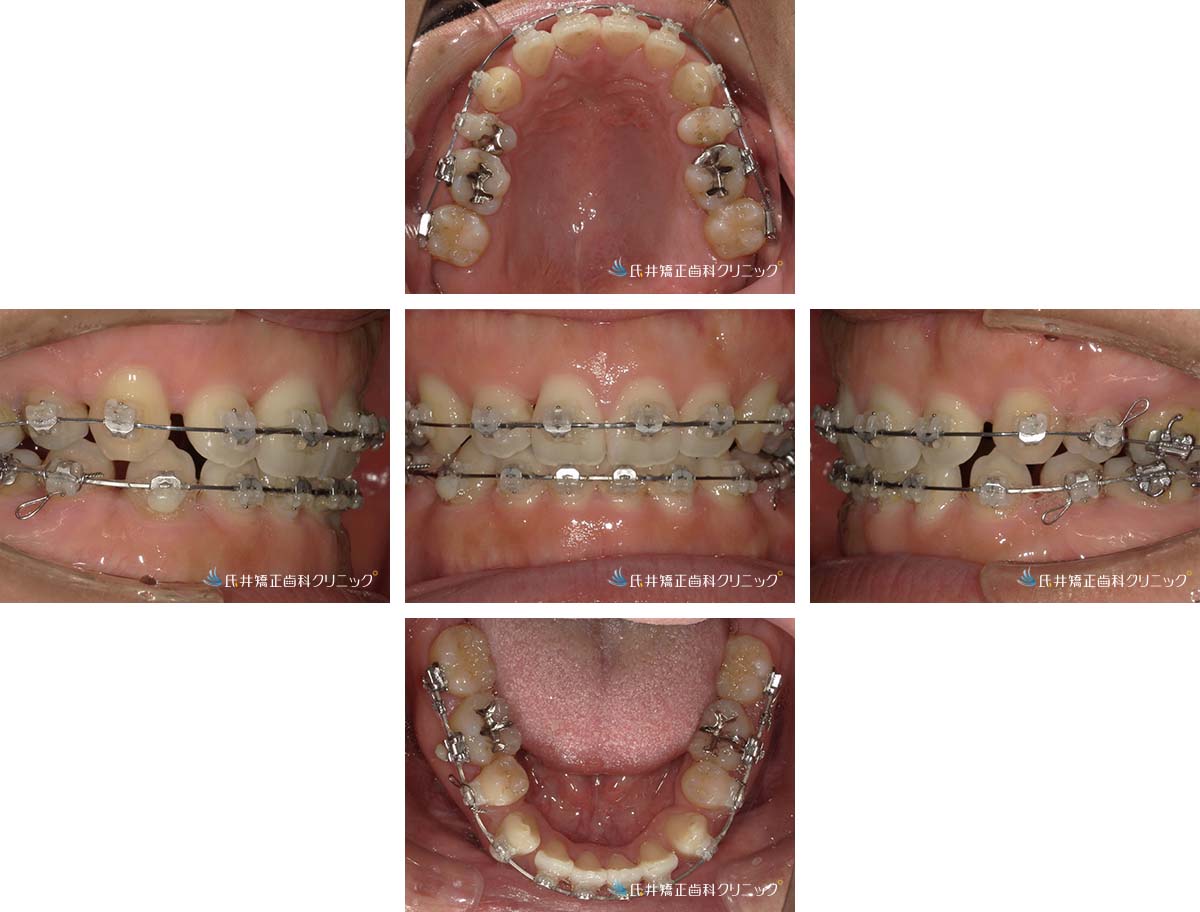
治療前
治療前
治療中
治療中
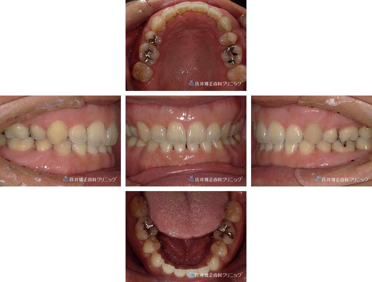
治療後
治療後
顔貌
顔貌
治療費の概算
精密検査・診断料金 55,000円
矯正料金 840,000円
毎回の処置料金 3,300円
症例2
性別:女性 年齢:19歳 お住まいの地域:大阪市
主訴 前歯のガタガタ
治療装置 白い表側矯正装置
抜歯 上下4合わせて4本の抜歯
治療期間 1年10ヶ月
診断名 叢生
副作用 歯肉退縮・歯根吸収・歯髄・壊死・癒着による予期せぬ歯の動き

八重歯の改善を行うため抜歯が必要なケースでした。順調にスペースが閉鎖することができました。

治療前
治療前
治療中
治療中
治療中
治療中
治療後
治療後
治療費の概算
精密検査・診断料金 55,000円
矯正料金 840,000円
毎回の処置料金 3,300円
症例3
性別:女性 年齢:17歳 お住まいの地域:奈良市
主訴 上下前歯のガタガタ
治療装置 白い表側矯正装置
抜歯 上下合わせて4本の抜歯
治療期間 2年6ヶ月
診断名 開咬を伴う叢生
副作用 歯肉退縮・歯根吸収・歯髄・壊死・癒着による予期せぬ歯の動き

八重歯を改善するために、抜歯を行っての矯正治療をしました。一時的に前歯がわずかな歯根吸収を見られたため緩徐に歯の移動をしたので治療期間がすこし延長しましたが、現在は、保定中ですが、歯根の状態に問題有りません。

治療前
治療前
治療中(2ヶ月後)
治療中(2ヶ月後)
治療中(18ヶ月後)
治療中(18ヶ月後)
治療後
治療後
治療費の概算
精密検査・診断料金 55,000円
矯正料金 840,000円
毎回の処置料金 3,300円
症例4
性別:女性 年齢:15歳 お住まいの地域:天理市
主訴 かみ合わせが深い
治療装置 白い表側矯正装置
抜歯 非抜歯
治療期間 2年6ヶ月
診断名 過蓋咬合
副作用 歯肉退縮・歯根吸収・歯髄・壊死・癒着による予期せぬ歯の動き

かみ合わせが深いので、先に上の奥歯を後方に動かすことでかみ合わせを改善しました。前歯のかみ合わせを改善するのに時間がかかりました。

治療前
治療前
治療中(2ヶ月後)
治療中(2ヶ月後)
治療中(6ヶ月後)
治療中(6ヶ月後)
治療後
治療後
顔貌
顔貌
治療費の概算
精密検査・診断料金 55,000円
矯正料金 840,000円
毎回の処置料金 3,300円
症例5
性別:女性 年齢:23歳 お住まいの地域:天理市
主訴 前歯が噛んでいない
治療装置 白い表側矯正装置
抜歯 非抜歯
治療期間 2年6ヶ月
診断名 開咬
副作用 歯肉退縮・歯根吸収・歯髄・壊死・癒着による予期せぬ歯の動き

開咬のためインプラントアンカーを併用し、かみ合わせを改善しました。

治療前
治療前
治療中(6ヶ月後)
治療中(6ヶ月後)
治療中(12ヶ月後)
治療中(12ヶ月後)
治療後
治療後
治療費の概算
精密検査・診断料金 55,000円
矯正料金 840,000円
毎回の処置料金 3,300円
症例6
性別:女性 年齢:16歳 お住まいの地域:大和郡山市
主訴 ガタガタ
治療装置 白い表側矯正装置
抜歯 上下合わせて4本の抜歯
治療期間 1年11ヶ月
診断名 叢生
副作用 歯肉退縮・歯根吸収・歯髄・壊死・癒着による予期せぬ歯の動き

かみ合わせが深いので、先に上の奥歯を後方に動かすことでかみ合わせを改善しました。

治療前
治療前
治療中(6ヶ月後)
治療中(6ヶ月後)
治療中(12ヶ月後)
治療中(12ヶ月後)
治療後
治療後
治療費の概算
精密検査・診断料金 55,000円
矯正料金 840,000円
毎回の処置料金 3,300円
症例7
性別:女性 年齢:16歳
主訴 上の前歯の出っ歯とガタガタ
治療装置 白い表側矯正装置
抜歯 上下合わせて6本の抜歯
治療期間 3年11ヶ月
診断名 骨格性上顎前突を伴う叢生
副作用 歯肉退縮・歯根吸収・歯髄・壊死・癒着による予期せぬ歯の動き

骨格的な上顎前突と叢生量が多いので、上顎両側第一小臼歯と両側第二大臼歯を抜歯することで改善できたケース。

治療前
治療前
治療中
治療中
治療中
治療中
治療後
治療後
治療費の概算
精密検査・診断料金 55,000円
矯正料金 840,000円
毎回の処置料金 3,300円
症例8
性別:女性 年齢:16歳
主訴 八重歯
治療装置 白い表側矯正装置
抜歯 上下合わせて4本の抜歯
治療期間 3年11ヶ月
診断名 骨格性上顎前突を伴う叢生
副作用 歯肉退縮・歯根吸収・歯髄・壊死・癒着による予期せぬ歯の動き

骨格的な上顎前突と叢生量が多いので、上顎両側第一小臼歯と両側第二大臼歯を抜歯することで改善できたケース。

治療前
治療前
治療中
治療中
治療後
治療後
治療費の概算
精密検査・診断料金 55,000円
矯正料金 840,000円
毎回の処置料金 3,300円
症例9
性別:男性 年齢:19歳 お住まいの地域:奈良市
主訴 ガタガタ
治療装置 白い表側矯正装置
抜歯 上下合わせて4本の抜歯
治療期間 3年2ヶ月
診断名 叢生
副作用 歯肉退縮・歯根吸収・歯髄・壊死・癒着による予期せぬ歯の動き

叢生量が多いので、抜歯スペースを最大限に利用するためにインプラントアンカーを併用して改善を行いました。

治療前
治療前
治療中(6ヶ月後)
治療中(6ヶ月後)
治療中(15ヶ月後)
治療中(15ヶ月後)
治療後
治療後
治療費の概算
精密検査・診断料金 55,000円
矯正料金 840,000円
毎回の処置料金 3,300円
症例10
性別:女性 年齢:23歳
主訴 前歯をかんでいない
治療装置 通常表側矯正装置
抜歯 上2本 (親知らず4本)
治療期間 3年
診断名 顎変形症に起因する骨格性開咬
副作用 歯肉退縮・歯根吸収・歯髄・壊死・癒着による予期せぬ歯の動き

顎変形症に起因する骨格性開咬のため手術を併用した矯正治療で改善を行いました。

治療前
治療前
治療中(8ヶ月後)
治療中(8ヶ月後)
治療中(18ヶ月後)
治療中(18ヶ月後)
治療後
治療後
治療費の概算

保険が適用されるため、当日の治療内容に応じて毎月1万円から2万円ほど費用がかかります。

矯正料金は、合計で約30万円

外科手術の料金は約30万円ほど必要ですが、外科手術に関する費用は、大学病院でお尋ねください。

症例11
性別:女性 年齢:41歳
主訴 ガタガタ
治療装置 白い表側矯正装置
抜歯 上下合わせて3本の抜歯
治療期間 3年2ヶ月
診断名 叢生
副作用 歯肉退縮・歯根吸収・歯髄・壊死・癒着による予期せぬ歯の動き

被せものが多かったので、最大限に利用するためにインプラントアンカーを併用して改善を行いました。

治療前
治療前
治療中(14ヶ月後)
治療中(14ヶ月後)
治療後
治療後
治療費の概算
精密検査・診断料金 55,000円
矯正料金 840,000円
毎回の処置料金 3,300円
症例12
性別:女性 年齢:26歳 お住まいの地域:大和郡山市
主訴 ガタガタ
治療装置 白い表側矯正装置
抜歯 上2本の抜歯
治療期間 3年2ヶ月
診断名 上顎前突を伴う叢生
副作用 歯肉退縮・歯根吸収・歯髄・壊死・癒着による予期せぬ歯の動き

抜歯スペースを最大限に利用するためにインプラントアンカーを併用して改善を行いました。

治療前
治療前
治療中(2ヶ月後)
治療中(2ヶ月後)
治療中(10ヶ月後)
治療中(10ヶ月後)
治療中(16ヶ月後)
治療中(16ヶ月後)
治療後
治療後
治療費の概算
精密検査・診断料金 55,000円
矯正料金 840,000円
毎回の処置料金 3,300円
症例13
性別:女性 年齢:32歳 お住まいの地域:生駒市
主訴 ガタガタ
治療装置 ハーフリンガル
抜歯 上2本の抜歯
治療期間 3年2ヶ月
診断名 上顎前突を伴う叢生
副作用 歯肉退縮・歯根吸収・歯髄・壊死・癒着による予期せぬ歯の動き

裏側にインプラントアンカーと特殊な装置を併用して、叢生の改善を行いました。

治療前
治療前
治療中(15ヶ月後)
治療中(15ヶ月後)
治療後
治療後
治療費の概算
精密検査・診断料金 55,000円
矯正料金 1,190,000円
毎回の処置料金 5,500円
症例14
性別:女性 年齢:22歳 お住まいの地域:木津川市
主訴 ガタガタ
治療装置 白い表側矯正装置
抜歯 非抜歯
治療期間 1年10ヶ月
診断名 叢生
副作用 歯肉退縮・歯根吸収・歯髄・壊死・癒着による予期せぬ歯の動き

口元の突出感に関しての改善を希望されなかったので、非抜歯でインプラントアンカーを併用して奥歯を後方に動かして、叢生の改善を行いました。

治療前
治療前
治療中(6ヶ月後)
治療中(6ヶ月後)
治療中(12ヶ月後)
治療中(12ヶ月後)
治療後
治療後
治療費の概算
精密検査・診断料金 55,000円
矯正料金 840,000円
毎回の処置料金 3,300円
症例16
性別:女性 年齢:24歳 お住まいの地域:奈良市
主訴 下の前歯がでこぼこ、正中あっていない
治療装置 マウスピース型矯正装置
抜歯 非抜歯
治療期間 2年
診断名 偏位を伴う叢生
副作用 歯肉退縮・歯根吸収・歯髄・壊死・癒着による予期せぬ歯の動き

主訴である正中偏位に関しては、矯正治療に用いるゴムを併用して可能な限り改善しました。


治療前
治療前
治療中(4ヶ月後)
治療中(4ヶ月後)
治療中(8ヶ月後)
治療中(8ヶ月後)
治療後
治療後
治療費の概算
精密検査・診断料金 55,000円
矯正料金 940,000円
毎回の処置料金 3,300円
症例17
性別:女性 年齢:26歳 お住まいの地域:木津川市
主訴 上の前歯のガタガタ
治療装置 マウスピース型矯正装置
抜歯 非抜歯
治療期間 2年
診断名 右下1欠損を伴う上顎前突
副作用 歯肉退縮・歯根吸収・歯髄・壊死・癒着による予期せぬ歯の動き

下は歯が一本なかったため、非抜歯で治療。
上の奥歯を後方移動させたり、上下のあごを広げることで叢生の改善を行った。

治療前
治療前
治療中(6ヶ月後)
治療中(6ヶ月後)
治療中(12ヶ月後)
治療中(12ヶ月後)
治療後
治療後
治療費の概算
精密検査・診断料金 55,000円
矯正料金 940,000円
毎回の処置料金 3,300円
症例18
性別:女性 年齢:19歳 お住まいの地域:奈良市
主訴 上の前歯のガタガタ
治療装置 マウスピース型矯正装置
抜歯 非抜歯
治療期間 1年4ヶ月
診断名 叢生
副作用 歯肉退縮・歯根吸収・歯髄・壊死・癒着による予期せぬ歯の動き

マウスピースの装着時間を守られていたので、かみ合わせも歯並びもきれいに改善できました。


治療前
治療前
治療中(4ヶ月後)
治療中(4ヶ月後)
治療中(12ヶ月後)
治療中(12ヶ月後)
治療後
治療後
治療費の概算
精密検査・診断料金 55,000円
矯正料金 940,000円
毎回の処置料金 3,300円
症例19
性別:女性 年齢:12歳 お住まいの地域:奈良市
主訴 八重歯
治療装置 白い表側からの矯正装置
抜歯 非抜歯
治療期間 1年10ヶ月
診断名 叢生
副作用 歯肉退縮・歯根吸収・歯髄・壊死・癒着による予期せぬ歯の動き

奥歯を後ろに動かすことでスペースを作り、八重歯を治しました。

治療前
治療前
治療中(4ヶ月後)
治療中(4ヶ月後)
治療中(12ヶ月後)
治療中(12ヶ月後)
治療後
治療後
治療費の概算
精密検査・診断料金 55,000円
矯正料金 840,000円
毎回の処置料金 3,300円
症例20
性別:女性 年齢:19歳 お住まいの地域:奈良市
主訴 上下のガタガタ
治療装置 白い表側からの矯正装置
抜歯 上下合わせて3本の抜歯
治療期間 3年1ヶ月
診断名 右下6欠損を伴う叢生
副作用 歯肉退縮・歯根吸収・歯髄・壊死・癒着による予期せぬ歯の動き

上下のガタガタは、抜歯をして改善し、右下6をインプランアンカーを用いて、前方に移動させました。

治療前
治療前
治療中(6ヶ月後)
治療中(6ヶ月後)
治療後
治療後
治療費の概算
精密検査・診断料金 55,000円
矯正料金 890,000円
毎回の処置料金 3,300円
症例21
性別:女性 年齢:19歳 お住まいの地域:奈良市
主訴 出っ歯と口元の突出感
治療装置 白い表側からの矯正装置
抜歯 上下4本
治療期間 3年
診断名 歯槽性上下顎前突
副作用 歯肉退縮・歯根吸収・歯髄・壊死・癒着による予期せぬ歯の動き

口元の突出感の改善を希望されましたたので、抜歯でインプラントアンカーを併用して口元の突出感の改善を行いました。

治療前
治療前
治療中(4ヶ月後)
治療中(4ヶ月後)
治療中(16ヶ月後)
治療中(16ヶ月後)
治療後
治療後
顔貌
顔貌
治療費の概算
精密検査・診断料金 55,000円
矯正料金 840,000円
毎回の処置料金 3,300円
症例22
性別:女性 年齢:27歳 お住まいの地域:奈良市
主訴 出っ歯と口元の突出感
治療装置 白い表側からの矯正装置
抜歯 上下4本
治療期間 2年11ヶ月
診断名 軽度デコボコを伴う上下顎前突
副作用 歯肉退縮・歯根吸収・歯髄・壊死・癒着による予期せぬ歯の動き

口元の突出感の改善を希望されましたので、抜歯を行うことで口元の突出感の改善を行いました。

治療前
治療前
治療中(4ヶ月後)
治療中(4ヶ月後)
治療中(16ヶ月後)
治療中(16ヶ月後)
治療後
治療後
顔貌
顔貌
治療費の概算
精密検査・診断料金 55,000円
矯正料金 840,000円
毎回の処置料金 3,300円
症例23
性別:女性 年齢:31歳 お住まいの地域:奈良市
主訴 ガタガタの改善
治療装置 白い表側からの矯正装置
抜歯 上下4本
治療期間 2年11ヶ月
診断名 歯肉退縮を伴う叢生
副作用 歯肉退縮・歯根吸収・歯髄・壊死・癒着による予期せぬ歯の動き

可能なかぎり歯肉退縮を進行させないように時間をかけ歯を移動させました。

治療前
治療前
治療中(6ヶ月後)
治療中(6ヶ月後)
治療中(16ヶ月後)
治療中(16ヶ月後)
治療後
治療後
治療費の概算
精密検査・診断料金 55,000円
矯正料金 840,000円
毎回の処置料金 3,300円
症例24
性別:女性 年齢:19歳 お住まいの地域:天理市
主訴 受け口
治療装置 白い表側からの矯正装置
抜歯 下2本
治療期間 2年8ヶ月
診断名 スペース歯列を伴う下顎前突
副作用 歯肉退縮・歯根吸収・歯髄・壊死・癒着による予期せぬ歯の動き

上あごの前から数えて二番目の歯が生まれつきなかったので、下を2本抜いて受け口を改善しました。

治療前
治療前
治療中(6ヶ月後)
治療中(6ヶ月後)
治療中(14ヶ月後)
治療中(14ヶ月後)
治療後
治療後
治療費の概算
精密検査・診断料金 55,000円
矯正料金 840,000円
毎回の処置料金 3,300円
症例25
性別:女性 年齢:38歳 お住まいの地域:京都市
主訴 ガタガタの改善
治療装置 マウスピース矯正装置
抜歯 非抜歯
治療期間 1年9ヶ月
診断名 叢生
副作用 歯肉退縮・歯根吸収・歯髄・壊死・癒着による予期せぬ歯の動き

マウスピースの装着時間を守られていたので、かみ合わせも歯並びもきれいに改善できました。


治療前
治療前
治療中(8ヶ月後)
治療中(8ヶ月後)
治療中(16ヶ月後)
治療中(16ヶ月後)
治療後
治療後
治療費の概算
精密検査・診断料金 55,000円
矯正料金 940,000円
毎回の処置料金 3,300円
症例26
性別:女性 年齢:25歳 お住まいの地域:大和郡山市
主訴 出っ歯とガタガタの改善
治療装置 表側からの矯正装置
抜歯 上2本
治療期間 2年11ヶ月
診断名 過蓋咬合を伴う上顎前突
副作用 歯肉退縮・歯根吸収・歯髄・壊死・癒着による予期せぬ歯の動き

かみ合わせが著しく深いため、かみ合わせをあげるために、上の奥歯の咬合面に樹脂を盛り、一時的にかみ合わせをあげながら歯の移動を行いました。

治療前
治療前
治療中(17ヶ月後)
治療中(17ヶ月後)
治療中(23ヶ月後)
治療中(23ヶ月後)
治療後
治療後
治療費の概算
精密検査・診断料金 55,000円
矯正料金 840,000円
毎回の処置料金 3,300円
症例28
性別:女性 年齢:16歳 お住まいの地域:木津川市
主訴 前歯でご飯たべにくい
治療装置 マウスピース矯正装置
抜歯 非抜歯
治療期間 2年7ヶ月
診断名 スペース歯列を伴う開咬
副作用 歯肉退縮・歯根吸収・歯髄・壊死・癒着による予期せぬ歯の動き

マウスピースの装着時間を守られいたので、かみ合わせも歯並びもきれいに改善できました。

治療前
治療前
治療中(9ヶ月後)
治療中(9ヶ月後)
治療中(21ヶ月後)
治療中(21ヶ月後)
治療後
治療後
治療費の概算
精密検査・診断料金 55,000円
矯正料金 940,000円
毎回の処置料金 3,300円
症例30
性別:男性 年齢:22歳 お住まいの地域:奈良市
主訴 出っ歯とガタガタの改善
治療装置 マウスピース矯正装置
抜歯 非抜歯
治療期間 2年4ヶ月
診断名 歯槽性上顎前突
副作用 歯肉退縮・歯根吸収・歯髄壊死・癒着による予期せぬ歯の動き

マウスピース型矯正装置で非抜歯で改善を行いました。装着時間を守っていただいたので、きれいに改善しました。

治療前
治療前
治療中(8ヶ月後)
治療中(8ヶ月後)
治療中(16ヶ月後)
治療中(16ヶ月後)
治療中(22ヶ月後)
治療中(22ヶ月後)
治療後
治療後
治療費の概算
精密検査・診断料金 55,000円
矯正料金 940,000円
毎回の処置料金 4,400円
症例31
性別:女性 年齢:17歳 お住まいの地域:奈良市
主訴 右上前歯2本が気になる
治療装置 白い表側矯正装置
抜歯 非抜歯
治療期間 1年
診断名 骨歯槽性上顎前突
副作用 歯肉退縮・歯根吸収・歯髄壊死・癒着による予期せぬ歯の動き

より綺麗にする希望を達成するために上下4本を抜歯。前歯のリトラクション(後方移動)を行うためにインプラントを使用。若年層ではあるが、インプラントの安定がよく、ヘッドギアに切り替えることなく、順調に進められた。

治療前
治療前
治療中(4ヶ月後)
治療中(4ヶ月後)
治療中(8ヶ月後)
治療中(8ヶ月後)
治療中(10ヶ月後)
治療中(10ヶ月後)
治療後
治療後
顔貌
顔貌
治療費の概算
精密検査・診断料金 55,000円
矯正料金 840,000円
毎回の処置料金 3,300円
症例32
性別:女性 年齢:29歳 お住まいの地域:奈良市
主訴 出っ歯とガタガタの改善
治療装置 白い表側からの矯正装置
抜歯 上下4本
治療期間 2年11ヶ月
診断名 叢生を伴う歯槽性上顎前突
副作用 歯肉退縮・歯根吸収・歯髄壊死・癒着による予期せぬ歯の動き

八重歯の改善を行うため、まずは上左右2本左下1本抜歯し、治療開始1年後突出感の相談の上 右下1本の抜歯を行いました。インプラントアンカーを埋入して順調にスペースを閉じることができました。

治療前
治療前
治療中(13ヶ月後)
治療中(13ヶ月後)
治療中(20ヶ月後)
治療中(20ヶ月後)
治療後
治療後
顔貌
顔貌
治療費の概算
精密検査・診断料金 55,000円
矯正料金 840,000円
毎回の処置料金 3,300円
症例33
性別:女性 年齢:22歳 お住まいの地域:奈良市
主訴 出っ歯とガタガタの改善
治療装置 白い表側の矯正装置
抜歯 なし
治療期間 1年9ヶ月
診断名 叢生を伴う上顎前突
副作用 歯肉退縮・歯根吸収・歯髄壊死・癒着による予期せぬ歯の動き

口元がきれいなので、歯を抜かずワイヤー矯正治療で改善を行いました。

治療前
治療前
治療中(9ヶ月後)
治療中(9ヶ月後)
治療中(20ヶ月後)
治療中(20ヶ月後)
治療後
治療後
顔貌
顔貌
治療費の概算
精密検査・診断料金 55,000円
矯正料金 840,000円
毎回の処置料金 3,300円
症例34
性別:女性 年齢:17歳 お住まいの地域:奈良市
主訴 出っ歯とガタガタの改善
治療装置 白い表側からの矯正装置
抜歯 なし
治療期間 2年9ヶ月
診断名 叢生
副作用 肉退縮・歯根吸収・歯髄壊死・癒着による予期せぬ歯の動き

口元の突出感を改善を希望されなかったので、歯を抜かずワイヤー矯正で改善を行いました。

治療前
治療前
治療中(18ヶ月後)
治療中(18ヶ月後)
治療中(24ヶ月後)
治療中(24ヶ月後)
治療後
治療後
顔貌
顔貌
治療費の概算
精密検査・診断料金 55,000円
矯正料金 840,000円
毎回の処置料金 3,300円
症例36
性別:女性 年齢:35歳 お住まいの地域:奈良市
主訴 出っ歯とガタガタの改善
治療装置 白い表側の矯正装置
抜歯 上2本
治療期間 2年7ヶ月
診断名 叢生を伴う上顎前突
副作用 歯肉退縮・歯根吸収・歯髄壊死・癒着による予期せぬ歯の動き

下は歯が2本がなかったので非抜歯で治療。上顎小臼歯2本の抜歯をして、インプラントアンカーを併用して口元の改善を行いました。

治療前
治療前
治療中(8ヶ月後)
治療中(8ヶ月後)
治療中(37ヶ月後)
治療中(37ヶ月後)
治療後
治療後
顔貌
顔貌
治療費の概算
精密検査・診断料金 55,000円
矯正料金 840,000円
毎回の処置料金 3,300円
症例37
性別:女性 年齢:30歳 お住まいの地域:奈良市
主訴 出っ歯とガタガタの改善
治療装置 表側からの矯正装置
抜歯 上下3本
治療期間 2年10ヶ月
診断名 歯槽性上顎前突
副作用 歯肉退縮・歯根吸収・歯髄壊死・癒着による予期せぬ歯の動き

右下小臼歯が1本足りなかったので上2本下1本の抜歯スペースと上あごのインプラントアンカーを利用してガタガタと口元の改善をしました。

治療前
治療前
治療中(10ヶ月後)
治療中(10ヶ月後)
治療中(23ヶ月後)
治療中(23ヶ月後)
治療後
治療後
顔貌
顔貌
治療費の概算
精密検査・診断料金 55,000円
矯正料金 840,000円
毎回の処置料金 3,300円
症例38
性別:男性 年齢:9歳 お住まいの地域:奈良市
主訴 出っ歯とガタガタの改善
治療装置 表側からの矯正装置
抜歯 左上1本
治療期間 1期治療2年、2期治療2年
診断名 叢生
副作用 歯肉退縮・歯根吸収・歯髄壊死・癒着による予期せぬ歯の動き

1期治療はリンガルアーチで左上前歯のクロスバイトを改善し、ヘッドギアーで萌出スペースを確保。
2期治療で、左下が癒合歯だったので左上小臼歯1本を抜歯し、叢生の改善をしました。

治療前
治療前
治療中(15ヶ月後)
治療中(15ヶ月後)
治療中(32ヶ月後)
治療中(32ヶ月後)
治療後
治療後
顔貌
顔貌
治療費の概算
精密検査・診断料金 55,000円
矯正料金 840,000円
毎回の処置料金 3,300円
症例39
性別:女性 年齢:19歳 お住まいの地域:奈良市
主訴 出っ歯とガタガタの改善
治療装置 表側からの矯正装置
抜歯 上下4本
治療期間 1年2ヶ月
診断名 歯槽性上下顎前突を伴う叢生
副作用 歯肉退縮・歯根吸収・歯髄壊死・癒着による予期せぬ歯の動き

八重歯の改善を行うため抜歯が必要なケースでした。順調にスペースが閉鎖することができました。

治療前
治療前
治療中(4ヶ月後)
治療中(4ヶ月後)
治療中(8ヶ月後)
治療中(8ヶ月後)
治療後
治療後
顔貌
顔貌
治療費の概算
精密検査・診断料金 55,000円
矯正料金 840,000円
毎回の処置料金 3,300円
症例40
性別:女性 年齢:19歳 お住まいの地域:奈良市
主訴 八重歯とガタガタの改善
治療装置 表側からの矯正装置
抜歯 上下4本
治療期間 1年8ヶ月
診断名 骨格性下顎前突を伴う叢生
副作用 歯肉退縮・歯根吸収・歯髄壊死・癒着による予期せぬ歯の動き

八重歯の改善を行うため抜歯が必要なケースでした。下顎左側に骨硬化像が確認されたので通常であれば左下4抜歯を行いますが、安全に治療を進めていくために左下2番目の前歯を抜歯しました。

治療前
治療前
治療中(3ヶ月後)
治療中(3ヶ月後)
治療中(6ヶ月後)
治療中(6ヶ月後)
治療中(9ヶ月後)
治療中(9ヶ月後)
治療中(12ヶ月後)
治療中(12ヶ月後)
治療中(14ヶ月後)
治療中(14ヶ月後)
治療後
治療後
顔貌
顔貌
治療費の概算
精密検査・診断料金 55,000円
矯正料金 840,000円
毎回の処置料金 3,300円
症例41
性別:男性 年齢:14歳 お住まいの地域:奈良市
主訴 上の前歯が出ている ガタガタが気になる
治療装置 白い表側矯正装置
抜歯 上下4本
治療期間 1年11ヶ月
診断名 歯槽性上下顎前突を伴う叢生
副作用 歯肉退縮・歯根吸収・歯髄壊死・癒着による予期せぬ歯の動き

より綺麗にする希望を達成するために上下4本を抜歯。前歯のリトラクション(後方移動)を行った。

治療前
治療前
治療中(4ヶ月後)
治療中(4ヶ月後)
治療中(6ヶ月後)
治療中(6ヶ月後)
治療中(1年後)
治療中(1年後)
治療後
治療後
治療費の概算
精密検査・診断料金 55,000円
矯正料金 840,000円
毎回の処置料金 3,300円
症例42
性別:女性 年齢:13歳 お住まいの地域:奈良市
主訴 上の2本が出てるのが気になる
治療装置 上裏側、下表側からのハーフリンガル矯正装置
抜歯 上下4本
治療期間 2年8ヶ月
診断名 歯槽性上下顎前突を伴う叢生
副作用 歯肉退縮・歯根吸収・歯髄壊死・癒着による予期せぬ歯の動き

より綺麗にする希望を達成するために上下4本を抜歯。前歯のリトラクション(後方移動)を行うためにインプラントを使用。若年層ではあるが、インプラントの安定がよく、ヘッドギアに切り替えることなく、順調に進められた。

治療前
治療前
治療中(19ヶ月後)
治療中(19ヶ月後)
治療中(23ヶ月後)
治療中(23ヶ月後)
治療後
治療後
顔貌
顔貌
治療費の概算
精密検査・診断料金 55,000円
矯正料金 1,190,000円
毎回の処置料金 5,500円
症例43
性別:女性 年齢:26歳 お住まいの地域:桜井市
主訴 前歯のガタガタ、口元が出ている、Eラインが気になる
治療装置 白い表側矯正装置
抜歯 上下4本
治療期間 2年
診断名 歯槽性上下顎前突を伴う叢生
副作用 歯肉退縮・歯根吸収・歯髄壊死・癒着による予期せぬ歯の動き

マウスピース矯正希望でしたが、Eラインを気にされていたのでワイヤー矯正を提案。ガタガタと口元の突出感改善のため上下左右4本抜歯とインプラントアンカーを併用しました。

治療前
治療前
治療中(3ヶ月後)
治療中(3ヶ月後)
治療中(6ヶ月後)
治療中(6ヶ月後)
治療中(20ヶ月後)
治療中(20ヶ月後)
治療後
治療後
顔貌
顔貌
治療費の概算
精密検査・診断料金 55,000円
矯正料金 840,000円
毎回の処置料金 3,300円
症例44
性別:男性 年齢:10歳
主訴 前歯の出っ歯とガタガタ
治療装置 メタルブラケット(当院では現状使用しておりません)
抜歯 非抜歯
治療期間 1年10ヶ月
診断名 叢生および上顎前突
副作用 歯肉退縮・歯根吸収・歯髄・壊死・癒着による予期せぬ歯の動き

小学生の矯正治療ですので、アゴを広げて奥歯を後方に移動させて治療を行いました。
下のガタガタに関しては、一期治療では希望されず二期治療で行う予定です。

一期治療
治療前
治療前
治療中(3ヶ月後)
治療中(3ヶ月後)
治療中(1年後)
治療中(1年後)
治療後
治療後
治療費の概算
精密検査・診断料金 20,900円
矯正料金 480,000円
毎回の処置料金 4,400円
症例45
性別:女性 年齢:13歳 お住まいの地域:奈良市
主訴 上の前歯の隙間が気になる
治療装置 白い表側矯正装置
抜歯 非抜歯
治療期間 1年
診断名 スペース歯列
副作用 歯肉退縮・歯根吸収・歯髄壊死・癒着による予期せぬ歯の動き

より綺麗にする希望を達成するために上下4本を抜歯。前歯のリトラクション(後方移動)を行うためにインプラントを使用。若年層ではあるが、インプラントの安定がよく、ヘッドギアに切り替えることなく、順調に進められた。

治療前
治療前
治療中(2ヶ月後)
治療中(2ヶ月後)
治療中(4ヶ月後)
治療中(4ヶ月後)
治療中(11ヶ月後)
治療中(11ヶ月後)
治療後
治療後
顔貌
顔貌
治療費の概算
精密検査・診断料金 55,000円
矯正料金 840,000円
毎回の処置料金 3,300円
症例46
性別:女性 年齢:18歳 お住まいの地域:奈良市
主訴 上下のガタガタが気になる
治療装置 白い表側矯正装置
抜歯 上顎両側第一小臼歯抜歯
治療期間 2年6ヶ月
診断名 過蓋咬合を伴う叢生
副作用 歯肉退縮・歯根吸収・歯髄壊死・癒着による予期せぬ歯の動き

歯並びを綺麗するために上2本の抜歯を行いました。

治療前
治療前
治療中(4ヶ月後)
治療中(4ヶ月後)
治療中(12ヶ月後)
治療中(12ヶ月後)
治療後
治療後
顔貌
顔貌
治療費の概算
精密検査・診断料金 55,000円
矯正料金 840,000円
毎回の処置料金 3,300円
症例47
性別:女性 年齢:26歳 お住まいの地域:大阪市
主訴 上の前歯が出ているのが気になる
治療装置 白い表側矯正装置
抜歯 上下顎両側第一小臼歯 抜歯
治療期間 2年9ヶ月
診断名 上顎前突
副作用 歯肉退縮・歯根吸収・歯髄壊死・癒着による予期せぬ歯の動き

口元の突出感の改善を希望されましたので、上下4本抜歯を行うことで口元の突出感の改善を行いました。

治療前
治療前
治療中(4ヶ月後)
治療中(4ヶ月後)
治療中(12ヶ月後)
治療中(12ヶ月後)
治療後
治療後
顔貌
顔貌
治療費の概算
精密検査・診断料金 55,000円
矯正料金 840,000円
毎回の処置料金 3,300円
症例48
性別:女性 年齢:18歳 お住まいの地域:天理市
主訴 出っ歯が気になる
治療装置 白い表側矯正装置
抜歯 上顎両側第一小臼歯 抜歯
治療期間 2年5ヶ月
診断名 上顎前突を伴う叢生
副作用 歯肉退縮・歯根吸収・歯髄壊死・癒着による予期せぬ歯の動き

歯並びを綺麗するために上2本の抜歯を行いました。

治療前
治療前
治療中
治療中
治療中
治療中
治療後
治療後
顔貌
顔貌
治療費の概算
精密検査・診断料金 55,000円
矯正料金 840,000円
毎回の処置料金 3,300円
症例49
性別:女性 年齢:16歳 お住まいの地域:木津川市
主訴 上下の八重歯とガタガタが気になる
治療装置 白い表側矯正装置
抜歯 上下4本 抜歯
治療期間 2年7ヶ月
診断名 骨格性下顎前突を伴う叢生
副作用 歯肉退縮・歯根吸収・歯髄壊死・癒着による予期せぬ歯の動き

歯並びを綺麗するためにを上2本下2本の抜歯を行いました。

治療前
治療前
治療中(6ヶ月後)
治療中(6ヶ月後)
治療中(12ヶ月後)
治療中(12ヶ月後)
治療後
治療後
顔貌
顔貌
治療費の概算
精密検査・診断料金 55,000円
矯正料金 840,000円
毎回の処置料金 3,300円
症例50
性別:女性 年齢:19歳 お住まいの地域:大和郡山市
主訴 上下の八重歯とガタガタが気になる
治療装置 白い表側矯正装置
抜歯 上下4本 抜歯
治療期間 2年2ヶ月
診断名 叢生を伴う開咬
副作用 歯肉退縮・歯根吸収・歯髄壊死・癒着による予期せぬ歯の動き

歯並びを綺麗するためにを上2本下2本の抜歯を行いました。

治療前
治療前
治療中(6ヶ月後)
治療中(6ヶ月後)
治療中(12ヶ月後)
治療中(12ヶ月後)
治療後
治療後
顔貌
顔貌
治療費の概算
精密検査・診断料金 55,000円
矯正料金 840,000円
毎回の処置料金 3,300円
症例51
性別:女性 年齢:11歳 お住まいの地域:生駒市
主訴 上のガタガタが気になる
治療装置 上顎部分的表側装置・ヘッドギア
抜歯 非抜歯
治療期間 1年4ヶ月
診断名 クロスバイトおよび叢生
副作用 歯肉退縮・歯根吸収・歯髄壊死・癒着による予期せぬ歯の動き

上顎前歯のスペース不足を改善するためにヘッドギアや表側装置で奥歯を後方に移動させた。1期治療で前歯の歯並びを改善させた。

一期治療
治療前
治療前
治療中(2ヶ月後)
治療中(2ヶ月後)
治療中(12ヶ月後)
治療中(12ヶ月後)
治療後
治療後
顔貌
顔貌
治療費の概算
精密検査・診断料金 20,900円
矯正料金 480,000円
毎回の処置料金 4,400円
症例52
性別:女性 年齢:23歳 お住まいの地域:奈良市
主訴 上下のガタガタが気になる
治療装置 白い表側矯正装置
抜歯 上下顎両側第一小臼歯 抜歯
治療期間 2年
診断名 上下顎前突伴う叢生
副作用 歯肉退縮・歯根吸収・歯髄壊死・癒着による予期せぬ歯の動き

歯並びを綺麗するためにを上下4本の抜歯を行いました。

治療前
治療前
治療中(6ヶ月後)
治療中(6ヶ月後)
治療中(12ヶ月後)
治療中(12ヶ月後)
治療後
治療後
顔貌
顔貌
治療費の概算
精密検査・診断料金 55,000円
矯正料金 840,000円
毎回の処置料金 3,300円
症例53
性別:女性 年齢:22歳 お住まいの地域:橿原市
主訴 ガタガタ・出っ歯が気になる
治療装置 白い表側矯正装置
抜歯 上下顎両側第一小臼歯 抜歯
治療期間 2年9ヶ月
診断名 歯槽性上下顎前突を伴う叢生
副作用 歯肉退縮・歯根吸収・歯髄壊死・癒着による予期せぬ歯の動き

前突を改善するために上下顎の抜歯および顎間ゴム、スライスカットを行いました。

治療前
治療前
治療中(6ヶ月後)
治療中(6ヶ月後)
治療中(12ヶ月後)
治療中(12ヶ月後)
治療後
治療後
顔貌
顔貌
治療費の概算
精密検査・診断料金 55,000円
矯正料金 840,000円
毎回の処置料金 3,300円
症例54
性別:女性 年齢:25歳 お住まいの地域:大和郡山市
主訴 ガタガタが気になる
治療装置 白い表側矯正装置
抜歯 上顎両側第一小臼歯 下顎両側第三大臼歯 抜歯
治療期間 11ヶ月
診断名 叢生を伴う歯槽性上顎前突
副作用 歯肉退縮・歯根吸収・歯髄壊死・癒着による予期せぬ歯の動き

歯並びを綺麗するためにを上2本の抜歯を行いました。

治療前
治療前
治療中(2ヶ月後)
治療中(2ヶ月後)
治療中(8ヶ月後)
治療中(8ヶ月後)
治療後
治療後
顔貌
顔貌
治療費の概算
精密検査・診断料金 55,000円
矯正料金 840,000円
毎回の処置料金 3,300円
症例55
性別:女性 年齢:27歳 お住まいの地域:生駒市
主訴 前歯でものが噛み切れない
治療装置 白い表側矯正装置
抜歯 上顎両側第一小臼歯 抜歯
治療期間 1年5ヶ月
診断名 開咬
副作用 歯肉退縮・歯根吸収・歯髄壊死・癒着による予期せぬ歯の動き

歯並びを綺麗にするために上2本の抜歯を行いました。

治療前
治療前
治療中(3ヶ月後)
治療中(3ヶ月後)
治療中(10ヶ月後)
治療中(10ヶ月後)
治療後
治療後
顔貌
顔貌
治療費の概算
精密検査・診断料金 55,000円
矯正料金 840,000円
毎回の処置料金 3,300円
症例56
性別:女性 年齢:19歳 お住まいの地域:奈良市
主訴 ガタガタ・口元が出てる・開咬
治療装置 白い表側矯正装置
抜歯 上顎両側4番 下顎両側5番 抜歯
治療期間 1年10ヶ月
診断名 ハイアングルを伴う重度の叢生
副作用 歯肉退縮・歯根吸収・歯髄壊死・癒着による予期せぬ歯の動き

歯並びを綺麗するためにを上4本の抜歯を行いました。

治療前
治療前
治療中(6ヶ月後)
治療中(6ヶ月後)
治療中(12ヶ月後)
治療中(12ヶ月後)
治療後
治療後
顔貌
顔貌
治療費の概算
精密検査・診断料金 55,000円
矯正料金 840,000円
毎回の処置料金 3,300円
症例57
性別:女性 年齢:28歳 お住まいの地域:奈良市
主訴 口元が出ている 隙間が気になる
治療装置 白い表側矯正装置
抜歯 非抜歯
治療期間 2年2ヶ月
診断名 過蓋咬合を伴う上顎前突
副作用 歯肉退縮・歯根吸収・歯髄壊死・癒着による予期せぬ歯の動き

著しい過蓋咬合およびスペース歯列のため
非抜歯およびインプラントアンカーで
全体的な後方移動を行いました。

治療前
治療前
治療中(3ヶ月後)
治療中(3ヶ月後)
治療中(10ヶ月後)
治療中(10ヶ月後)
治療後
治療後
顔貌
顔貌
治療費の概算
精密検査・診断料金 55,000円
矯正料金 840,000円
毎回の処置料金 3,300円
症例58
性別:女性 年齢:18歳 お住まいの地域:奈良市
主訴 口元が出てるのが気になる
治療装置 白い表側矯正装置
抜歯 上顎両側第一小臼歯 抜歯
治療期間 1年10ヶ月
診断名 骨格性上顎前突を伴う叢生
副作用 歯肉退縮・歯根吸収・歯髄壊死・癒着による予期せぬ歯の動き

歯並びを綺麗するためにを上下2本の抜歯を行いました。

治療前
治療前
治療中(6ヶ月後)
治療中(6ヶ月後)
治療中(12ヶ月後)
治療中(12ヶ月後)
治療後
治療後
顔貌
顔貌
治療費の概算
精密検査・診断料金 55,000円
矯正料金 840,000円
毎回の処置料金 3,300円
症例59
性別:女性 年齢:27歳 お住まいの地域:大和高田市
主訴 前歯でものが噛みきれない
治療装置 マウスピース型矯正装置
抜歯 非抜歯
治療期間 1年1ヶ月
診断名 開咬
副作用 歯肉退縮・歯根吸収・歯髄壊死・癒着による予期せぬ歯の動き

開咬の改善のため、上下の奥歯の後方移動および圧下を行いました。

治療前
治療前
治療中(3ヶ月後)
治療中(3ヶ月後)
治療中(7ヶ月後)
治療中(7ヶ月後)
治療後
治療後
顔貌
顔貌
治療費の概算
精密検査・診断料金 55,000円
矯正料金 940,000円
毎回の処置料金 4,400円
症例60
性別:女性 年齢:14歳 お住まいの地域:奈良市
主訴 前歯でものが噛みきれない
治療装置 マウスピース型矯正装置
抜歯 非抜歯
治療期間 10ヶ月
診断名 開咬
副作用 歯肉退縮・歯根吸収・歯髄壊死・癒着による予期せぬ歯の動き

開咬の改善のため、上下の奥歯の後方移動および圧下を行いました。

治療前
治療前
治療中(3ヶ月後)
治療中(3ヶ月後)
治療中(6ヶ月後)
治療中(6ヶ月後)
治療後
治療後
顔貌
顔貌
治療費の概算
精密検査・診断料金 55,000円
矯正料金 940,000円
毎回の処置料金 4,400円
症例61
性別:女性 年齢:26歳 お住まいの地域:奈良市
主訴 前歯出てるのを治したい
治療装置 マウスピース型矯正装置
抜歯 上顎両側4番抜歯
治療期間 2年11ヶ月
診断名 骨格性上顎前突
副作用 歯肉退縮・歯根吸収・歯髄壊死・癒着による予期せぬ歯の動き

歯軋りが酷く、ナイトガードをしないと歯がしみるので、マウスピース矯正を希望されました。抜歯とスライスカット、および顎間ゴムで改善しました。

治療前
治療前
治療中(6ヶ月後)
治療中(6ヶ月後)
治療中(12ヶ月後)
治療中(12ヶ月後)
治療後
治療後
治療費の概算
精密検査・診断料金 55,000円
矯正料金 940,000円
毎回の処置料金 3,300円
症例62
性別:女性 年齢:35歳 お住まいの地域:奈良市
主訴 ガタガタ
治療装置 上:裏側矯正装置、下:白い表側矯正装置
抜歯 上下顎両側4番抜歯
治療期間 2年
診断名 叢生
副作用 歯肉退縮・歯根吸収・歯髄壊死・癒着による予期せぬ歯の動き

主訴である叢生を改善するために、上下顎の抜歯および顎間ゴムおよびスライスカットを行いました。

治療前
治療前
治療中(4ヶ月後)
治療中(4ヶ月後)
治療中(12ヶ月後)
治療中(12ヶ月後)
治療後
治療後
顔貌
顔貌
治療費の概算
精密検査・診断料金 55,000円
矯正料金 1,190,000円
毎回の処置料金 6,600円
症例63
性別:女性 年齢:20歳 お住まいの地域:奈良市
主訴 口元が出ている
治療装置 ハイブリット(白い表側矯正装置とマウスピース型矯正装置)
抜歯 抜歯
治療期間 2年9ヶ月
診断名 上下顎前突
副作用 歯肉退縮・歯根吸収・歯髄壊死・癒着による予期せぬ歯の動き

白い表側矯正装置からはじめ、上下顎4本の抜歯を行いました。抜歯スペースが1m mになった際にマウスピースに切り替えました。

治療前
治療前
治療中(3ヶ月後)
治療中(3ヶ月後)
治療中(6ヶ月後)
治療中(6ヶ月後)
治療中(1年2ヶ月後)
治療中(1年2ヶ月後)
治療後
治療後
顔貌
顔貌
治療費の概算
精密検査・診断料金 55,000円
矯正料金 940,000円
毎回の処置料金 4,400円
症例64
性別:女性 年齢:27歳 お住まいの地域:大阪市
主訴 ガタガタが気になる
治療装置 白い表側矯正装置
抜歯 抜歯
治療期間 1年5ヶ月
診断名 叢生
副作用 歯肉退縮・歯根吸収・歯髄壊死・癒着による予期せぬ歯の動き

白い表側矯正装置で、上下顎左側2本の抜歯を行いました。正中は崩さないように、右側は奥歯に移動させました。

治療前
治療前
治療中(4ヶ月後)
治療中(4ヶ月後)
治療中(7ヶ月後)
治療中(7ヶ月後)
治療中(12ヶ月後)
治療中(12ヶ月後)
治療後
治療後
顔貌
顔貌
顔貌
顔貌
治療費の概算
精密検査・診断料金 55,000円
矯正料金 840,000円
毎回の処置料金 3,300円
症例66
性別:女性 年齢:22歳 お住まいの地域:奈良市
主訴 上の出っぱりとガタガタが気になる
治療装置 白い表側矯正装置
抜歯 上下4本抜歯
治療期間 2年2ヶ月
診断名 angle class2を伴う歯槽性上顎前突
副作用 歯肉退縮・歯根吸収・歯髄壊死・癒着による予期せぬ歯の動き

歯並びを綺麗するためにを上2本下2本の抜歯を行いました。

治療前
治療前
治療中(6ヶ月後)
治療中(6ヶ月後)
治療中(18ヶ月後)
治療中(18ヶ月後)
治療後
治療後
顔貌
顔貌
治療費の概算
精密検査・診断料金 55,000円
矯正料金 840,000円
毎回の処置料金 3,300円
症例67
性別:女性 年齢:12歳 お住まいの地域:奈良市
主訴 前歯が内側に入っていることが気になる
治療装置 上顎のみ部分矯正
抜歯 なし
治療期間 8ヶ月
診断名 上顎両側1の舌側傾斜を伴う叢生
副作用 歯肉退縮・歯根吸収・歯髄壊死・癒着による予期せぬ歯の動き

上顎前歯のみが主訴のため、一期治療の範囲でご対応しました。咬み合わせは治療していません。

治療前
治療前
治療中(6ヶ月後)
治療中(6ヶ月後)
治療中(8ヶ月後)
治療中(8ヶ月後)
治療後
治療後
治療費の概算
精密検査・診断料金 55,000円
矯正料金 480,000円
毎回の処置料金 4,400円
症例68
性別:女性 年齢:39歳 お住まいの地域:天理市
主訴 下前歯のガタガタが気になる
治療装置 部分矯正装置
抜歯 非抜歯
治療期間 2年2ヶ月
診断名 ハイアングル傾向を伴う叢生
副作用 歯肉退縮・歯根吸収・歯髄壊死・癒着による予期せぬ歯の動き

歯並びを綺麗するためにをインプラントアンカーを用い治療しました。

治療前
治療前
治療中(6ヶ月後)
治療中(6ヶ月後)
治療中(1年6ヶ月後)
治療中(1年6ヶ月後)
治療後
治療後
顔貌
顔貌
治療費の概算
精密検査・診断料金 55,000円
矯正料金 480,000円
毎回の処置料金 4,400円
症例69
性別:女性 年齢:23歳 お住まいの地域:郡山市
主訴 上の歯が出てるのが気になる
治療装置 表側矯正装置
抜歯 上下顎両側第一小臼歯 抜歯
治療期間 1年8ヶ月
診断名 歯槽性上下顎前突
副作用 歯肉退縮・歯根吸収・歯髄壊死・癒着による予期せぬ歯の動き

歯並びを綺麗するためにを上下2本の抜歯を行いました。

治療前
治療前
治療中(6ヶ月後)
治療中(6ヶ月後)
治療中(12ヶ月後)
治療中(12ヶ月後)
治療後
治療後
顔貌
顔貌
治療費の概算
精密検査・診断料金 55,000円
矯正料金 840,000円
毎回の処置料金 3,300円
症例70
性別:女性 年齢:23歳
主訴 口元が出ているのとガタガタが気になる
治療装置 白い表側矯正装置
抜歯 左下1番と親知らずの抜歯
治療期間 2年8ヶ月
診断名 叢生
副作用 歯肉退縮・歯根吸収・歯髄壊死・癒着による予期せぬ歯の動き

主訴である上顎前突および叢生を改善するために、左下1の抜歯およびインプラントアンカーで上下顎の後方移動を行いました。

治療前
治療前
治療中(5ヶ月後)
治療中(5ヶ月後)
治療中(20ヶ月後)
治療中(20ヶ月後)
治療後
治療後
顔貌
顔貌
治療費の概算
精密検査・診断料金 55,000円
矯正料金 840,000円
毎回の処置料金 4,400円
症例71
性別:女性 年齢:22歳 お住まいの地域:奈良市
主訴 上の歯・口元が出て口が閉じにくい
治療装置 白い表側矯正装置
抜歯 上顎両側第一小臼歯 抜歯
治療期間 1年6ヶ月
診断名 歯槽性上下顎前突
副作用 歯肉退縮・歯根吸収・歯髄壊死・癒着による予期せぬ歯の動き

上顎前突の改善のため上2本の抜歯を行いました。
噛み合わせを考慮し、下は親知らず2本のみ抜歯しました。

治療前
治療前
治療中(6ヶ月後)
治療中(6ヶ月後)
治療中(12ヶ月後)
治療中(12ヶ月後)
治療後
治療後
顔貌
顔貌
治療費の概算
精密検査・診断料金 55,000円
矯正料金 840,000円
毎回の処置料金 3,300円
症例72
性別:女性 年齢:20歳
主訴 上の歯が出てるのが気になる
治療装置 表側の矯正装置
抜歯 上2本(親知らず2本)
治療期間 1年10ヶ月
診断名 歯槽性上顎前突
副作用 歯肉退縮・歯根吸収・歯髄壊死・癒着による予期せぬ歯の動き

上顎の前突感を気にされていた為、上2本を抜歯。下顎は親知らずのみ抜歯しました。

治療前
治療前
治療中(5ヶ月後)
治療中(5ヶ月後)
治療中(10ヶ月後)
治療中(10ヶ月後)
治療中(17ヶ月後)
治療中(17ヶ月後)
治療後
治療後
顔貌
顔貌
治療費の概算
精密検査・診断料金 55,000円
矯正料金 840,000円
毎回の処置料金 3,300円
症例73
性別:男性 年齢:32歳 お住まいの地域:奈良市
主訴 上下顎重度の叢生
治療装置 表側矯正装置
抜歯 上顎両側犬歯、右下犬歯・左下第一小臼歯 抜歯
治療期間 2年
診断名 叢生
副作用 歯肉退縮・歯根吸収・歯髄壊死・癒着による予期せぬ歯の動き

歯並びを綺麗するためにを上下4本の抜歯を行いました。

治療前
治療前
治療中(6ヶ月後)
治療中(6ヶ月後)
治療中(18ヶ月後)
治療中(18ヶ月後)
治療後
治療後
治療費の概算
精密検査・診断料金 55,000円
矯正料金 840,000円
毎回の処置料金 3,300円
症例74
性別:男性 年齢:13歳 お住まいの地域:奈良市
主訴 口元が出ている、口が閉じにくい
治療装置 表側矯正装置
抜歯 上下顎両側第一小臼歯 抜歯
治療期間 2年3ヶ月
診断名 叢生を伴う歯槽性上顎前突
副作用 歯肉退縮・歯根吸収・歯髄壊死・癒着による予期せぬ歯の動き

歯並びを綺麗するためにを上2本の抜歯を行いました。

治療前
治療前
治療中(6ヶ月後)
治療中(6ヶ月後)
治療中(18ヶ月後)
治療中(18ヶ月後)
治療後
治療後
顔貌
顔貌
治療費の概算
精密検査・診断料金 55,000円
矯正料金 840,000円
毎回の処置料金 3,300円
症例75
性別:女性 年齢:21歳
主訴 出っ歯とガタガタと笑った時の歯茎の見え方が気になる
治療装置 白い表側矯正装置
抜歯 上下4本の抜歯
治療期間 2年7ヶ月
診断名 多数歯カリエスを伴う叢生
副作用 歯肉退縮・歯根吸収・歯髄壊死・癒着による予期せぬ歯の動き

主訴である歯槽性上下顎前突を改善するために、マルチブラケット装置およびインプラントアンカーおよびスライスカットで改善を行いました。

治療前
治療前
治療中(5ヶ月後)
治療中(5ヶ月後)
治療中(20ヶ月後)
治療中(20ヶ月後)
治療後
治療後
顔貌
顔貌
治療費の概算
精密検査・診断料金 55,000円
矯正料金 840,000円
毎回の処置料金 4,400円
症例77
性別:女性 年齢:18歳 お住まいの地域:奈良市
主訴 ガタガタが気になる
治療装置 白い表側矯正装置
抜歯 上顎両側第一小臼歯 抜歯
治療期間 1年7ヶ月
診断名 叢生を伴う歯槽性上顎前突
副作用 歯肉退縮・歯根吸収・歯髄壊死・癒着による予期せぬ歯の動き

歯並びを改善するために上2本の抜歯を行いました。
正中を合わせる顎間ゴムも必要としました。

治療前
治療前
治療中(6ヶ月後)
治療中(6ヶ月後)
治療中(12ヶ月後)
治療中(12ヶ月後)
治療後
治療後
顔貌
顔貌
治療費の概算
精密検査・診断料金 55,000円
矯正料金 840,000円
毎回の処置料金 3,300円
症例79
性別:女性 年齢:21歳 お住まいの地域:奈良市
主訴 上の歯・口元が出ている
治療装置 白い表側矯正装置
抜歯 上顎両側第一小臼歯 右下第一小臼歯 抜歯
治療期間 2年6ヶ月
診断名 骨格性上顎前突
副作用 歯肉退縮・歯根吸収・歯髄壊死・癒着による予期せぬ歯の動き

他院でのマウスピース矯正治療終了後、上顎前突の改善のため、ワイヤーでの矯正治療を希望されました。
上2本下1本の抜歯を行い、スライスカットおよびインプラントアンカー埋入し上下顎前歯の後方移動を行った。

治療前
治療前
治療中(6ヶ月後)
治療中(6ヶ月後)
治療中(18ヶ月後)
治療中(18ヶ月後)
治療後
治療後
顔貌
顔貌
治療費の概算
精密検査・診断料金 55,000円
矯正料金 840,000円
毎回の処置料金 3,300円
症例80
性別:女性 年齢:17歳 お住まいの地域:北葛城郡
主訴 ガタガタと口元が出てるのが気になる
治療装置 表側部分矯正装置
抜歯 上下顎両側4抜歯
治療期間 2年1ヶ月
診断名 ハイアングル傾向を伴う歯槽性上顎前突
副作用 歯肉退縮・歯根吸収・歯髄壊死・癒着による予期せぬ歯の動き

主訴である歯槽性上顎前突および叢生を改善する為に、抜歯および顎間ゴムを行いました。

治療前
治療前
治療中(6ヶ月後)
治療中(6ヶ月後)
治療中(1年後)
治療中(1年後)
治療後
治療後
顔貌
顔貌
治療費の概算
精密検査・診断料金 55,000円
矯正料金 840,000円
毎回の処置料金 3,300円
症例81
性別:女性 年齢:17歳
主訴 永久歯の先天欠如
治療装置 白い表側矯正装置
抜歯 上下4本の抜歯
治療期間 1年10ヶ月
診断名 先天欠如を伴うAngle ClassⅡ級
副作用 歯肉退縮・歯根吸収・歯髄壊死・癒着による予期せぬ歯の動き

主訴である先天欠如などを改善するために、乳歯及び永久歯の抜歯、スライスカット、インプラントアンカーを用いました。

治療前
治療前
治療中(3ヶ月後)
治療中(3ヶ月後)
治療中(1年後)
治療中(1年後)
治療後
治療後
顔貌
顔貌
治療費の概算
精密検査・診断料金 55,000円
矯正料金 840,000円
毎回の処置料金 3,300円
症例82
性別:女性 年齢:19歳 お住まいの地域:奈良市
主訴 上顎の凹凸を治したい
治療装置 表側白い矯正装置
抜歯 上下左右第一小臼歯 抜歯
治療期間 2年0ヶ月
診断名 叢生
副作用 歯肉退縮・歯根吸収・歯髄壊死・癒着による予期せぬ歯の動き

歯並びを綺麗するためにを上下4本の抜歯を行いました。
正中を合わせるための顎間ゴムも使用しました。

治療前
治療前
治療中(6ヶ月後)
治療中(6ヶ月後)
治療中(1年6ヶ月後)
治療中(1年6ヶ月後)
治療後
治療後
顔貌
顔貌
治療費の概算
精密検査・診断料金 55,000円
矯正料金 840,000円
毎回の処置料金 3,300円
症例83
性別:女性 年齢:16歳 お住まいの地域:天理市
主訴 ガタガタが気になる
治療装置 表側矯正装置
抜歯 上下顎両側第一小臼歯抜歯
治療期間 1年10ヶ月
診断名 口蓋埋伏過剰歯及び叢生を伴う歯槽性上顎前突
副作用 歯肉退縮・歯根吸収・歯髄壊死・癒着による予期せぬ歯の動き

まず上顎正中埋伏過剰歯の抜歯を行い、ガタガタ(叢生)を改善するために上下4本抜歯やスライスカットをし、エラスティックをかけてもらいました。

治療前
治療前
治療中(6ヶ月後)
治療中(6ヶ月後)
治療中(1年6ヶ月後)
治療中(1年6ヶ月後)
治療後
治療後
顔貌
顔貌
治療費の概算
精密検査・診断料金 55,000円
矯正料金 840,000円
毎回の処置料金 3,300円
症例84
性別:女性 年齢:17歳 お住まいの地域:奈良市
主訴 上の前歯が出ていることが気になる
治療装置 表側白い矯正装置
抜歯 上顎両側4番・下顎両側5番抜歯
治療期間 2年0ヶ月
診断名 骨格性上顎前突および叢生を伴う歯槽性上下顎前突
副作用 歯肉退縮・歯根吸収・歯髄壊死・癒着による予期せぬ歯の動き

出っ歯感を改善するために歯を4本抜歯しました。

治療前
治療前
治療中(6ヶ月後)
治療中(6ヶ月後)
治療中(1年6ヶ月後)
治療中(1年6ヶ月後)
治療後
治療後
顔貌
顔貌
治療費の概算
精密検査・診断料金 55,000円
矯正料金 840,000円
毎回の処置料金 3,300円
症例87
性別:男性 年齢:35歳 お住まいの地域:奈良市
主訴 前歯で噛みきれない
治療装置 白い表側矯正装置
抜歯 上下顎両側第一小臼歯抜歯
治療期間 2年6ヶ月
診断名 開咬
副作用 歯肉退縮・歯根吸収・歯髄壊死・癒着による予期せぬ歯の動き

開咬を改善するために4本抜歯を行い、エラスティックをかけてもらいました。

治療前
治療前
治療中(6ヶ月後)
治療中(6ヶ月後)
治療中(1年6ヶ月後)
治療中(1年6ヶ月後)
治療後
治療後
顔貌
顔貌
治療費の概算
精密検査・診断料金 55,000円
矯正料金 840,000円
毎回の処置料金 3,300円
症例88
性別:女性 年齢:19歳 お住まいの地域:奈良市
主訴 噛みきれない
治療装置 白い表側矯正装置
抜歯 上顎両側第三大臼歯 抜歯
治療期間 1年10ヶ月
診断名 叢生
副作用 歯肉退縮・歯根吸収・歯髄壊死・癒着による予期せぬ歯の動き

叢生を改善するために親知らずの抜歯を行い、インプラントアンカーで奥歯を後方に移動させました。
下顎は歯肉退縮傾向にあったため、慎重に進めました。

治療前
治療前
治療中(6ヶ月後)
治療中(6ヶ月後)
治療中(1年6ヶ月後)
治療中(1年6ヶ月後)
治療後
治療後
顔貌
顔貌
治療費の概算
精密検査・診断料金 55,000円
矯正料金 840,000円
毎回の処置料金 3,300円
症例89
性別:男性 年齢:14歳 お住まいの地域:木津川市
主訴 ガタガタが気になる
治療装置 表側矯正装置
抜歯 上下顎両側第一小臼歯抜歯
治療期間 2年6ヶ月
診断名 右側犬歯の埋伏および歯槽性上下顎前突を伴う叢生
副作用 歯肉退縮・歯根吸収・歯髄壊死・癒着による予期せぬ歯の動き

ガタガタ(叢生)を改善するために上下4本抜歯や右上犬歯の開窓牽引を行い、エラスティックをかけてもらいました。

治療前
治療前
治療中(3ヶ月後)
治療中(3ヶ月後)
治療中(6ヶ月後)
治療中(6ヶ月後)
治療中(1年6ヶ月後)
治療中(1年6ヶ月後)
治療後
治療後
顔貌
顔貌
治療費の概算
精密検査・診断料金 55,000円
矯正料金 840,000円
毎回の処置料金 3,300円