歯が動いているかを、
数字で証明する。
ワイヤー矯正 × DM Plus
= 安心の矯正治療
ワイヤー矯正の精度に、AIリモート計測を加えた当院独自の治療体制。
3日ごとに歯の動きを0.1mm単位で記録し、院長がリモートで確認します。
「ちゃんと動いているの?」の不安から、患者さんを解放します。
なぜ、ワイヤー矯正なのか。
当院の矯正治療の軸は「ワイヤー矯正」です。症例の種類や骨格を問わず、高い精度で歯を動かせる、矯正治療の基本にして最強の手段です。
幅広い症例に対応できる
重度のでこぼこ・顎の問題・抜歯が必要な症例など、複雑なケースにも対応。治療の選択肢が広いのがワイヤーの強みです。
矯正力をコントロールしやすい
ブラケットとワイヤーの組み合わせにより、歯の動かし方を細かく設計できます。ただし、「どう動いているか」の見える化が従来は難しい点でした。
だからこそ、データ管理が重要
ワイヤー矯正の効果を最大化するには、歯の動きを定期的に把握することが必要。そこにDM Plusを組み合わせることで、管理の精度が大きく上がります。
矯正中の患者さんが感じる
「見えない不安」
ワイヤー矯正は効果が高い反面、治療中に「本当に動いているの?」という不安を感じる方がとても多いのが現実です。
ちゃんと歯が動いてるの?
1ヶ月に1回しか確認できない
何か問題が起きていないか不安…
次の診察まで我慢するしかない
通院できない期間があっても大丈夫?
部活・仕事・受験で来られない時期がある
先生が「感覚」で判断してるんじゃないの?
数値で見せてもらえないと信頼できない
これらすべての不安を解消するのが
デンタルモニタリングPlusです。
デンタルモニタリングPlusは、現在一部の歯科医院のみで導入されているパイロットプログラムです。導入院は限られており、当院はその認定院として運用しています。
DM Plusが不安を数字に変える
患者さんが3日ごとにスマホで撮影するだけで、AIが歯の動きを0.1mm単位で計測。院長がリモートでデータを確認し、必要に応じて来院タイミングを指示します。
自宅で3日ごとにスマホ撮影
専用アプリを起動して口元に向けるだけ。2分もかかりません。自宅の洗面所でOKです。
AIが3Dモデルを生成・mm単位で計測
写真から歯の3Dモデルを自動生成。前回との差をmm単位で自動計測します。
↑ PlusだけのAI解析。実際の歯と3Dモデルを同時に確認できる
↑「34.3mm移動」など、数字で歯の動きを証明する
院長がリモートでデータを確認
AIが計測したデータを院長がリモートで確認。目標値に対する進捗や異常の有無をチェックし、次回来院のタイミングを判断します。
なぜ3日に1回なのか?
矯正治療において、歯が最も大きく動くのはワイヤー調整直後の「初期移動」期間です。この動きを逃さず捉えるために、3日という頻度が最適です。スライドして実際のデータを確認してください。
初期移動を捉える
調整後1〜2週間は歯が最も大きく動く時期。この期間のデータを取ることで、治療の効果を正確に把握できます。
問題の早期発見
想定外の動き・痛みの兆候を早期に発見し、次の来院時の処置計画に反映できます。月1回の来院だけでは見逃しやすい変化も見逃しません。
データに基づいた来院判断
リモートで状態を随時確認できるため、「今すぐ処置が必要か」を感覚ではなくデータで判断できます。必要なときに必要な処置を届ける、それが精度の高い治療につながります。
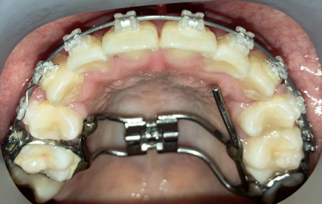
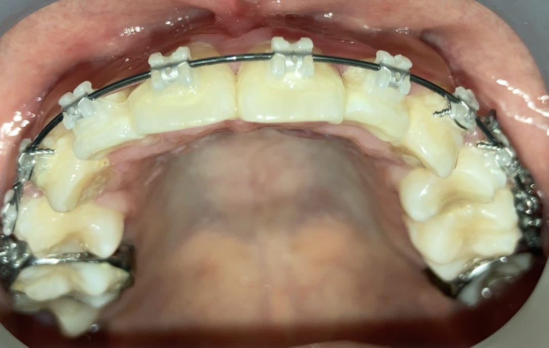
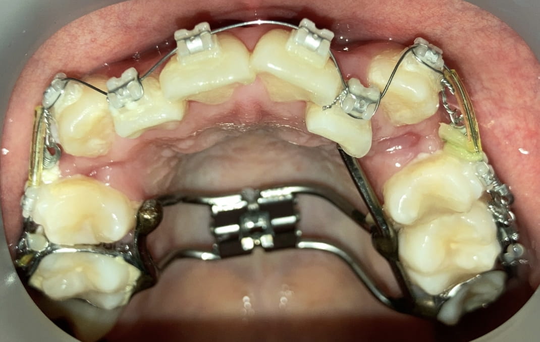
治療の変化を月ごとに記録する
3Dモデルと口腔内写真の両方で、毎月の変化を記録します。タブを切り替えて、月ごとの変化を確認してください。
担当院長ご紹介
院長 氏井 庸介 矯正歯科専門医
ワイヤー矯正は、丁寧に使えば本当に精度の高い治療ができます。でも従来の方法では、次の来院まで「うまく動いているか」を確認する手段がありませんでした。
デンタルモニタリングPlusを導入してから、そのギャップを埋めることができています。数字で動きを確認できることで、私も患者さんも、治療に自信と安心感を持てるようになりました。
よくある質問
3Dモデルだけで治療するのですか?
いいえ。月に1回は来院いただき、院長が直接お口の中を確認しながら治療方針を立てています。デンタルモニタリングはあくまで「来院と来院の間の変化を把握するツール」であり、診察や処置は必ず対面で行います。
通院回数は本当に減りますか?
通院回数を減らすことが目的ではありません。より安心して治療を進めていただくために活用しています。
スマホ操作が苦手でも使えますか?
大丈夫です。初回に説明します。
料金は普通の矯正と変わりますか?
デンタルモニタリングのご利用には、別途年間26,400円(税込)が必要です。1年ごとの更新制となります。詳しくは初診相談の際にご説明いたします。
子どもでも使えますか?
中学生・高校生の患者さんにも多くご利用いただいています。
デンタルモニタリングは必ず必要なのでしょうか?
必ずしも全ての方に必要というわけではありません。ご希望やご不安の程度、通院のご都合などに合わせてお選びいただいています。より安心して治療を進めたい方や、お忙しい方にはおすすめしていますが、無理にご案内することはありませんのでご安心ください。
まずは、無料相談へ。
ワイヤー矯正 × DM Plusについて、詳しくご説明します。
「自分に合うか」「費用はいくらか」お気軽にご相談ください。
初診相談は完全無料・予約制。院長が直接ご説明します。




















