今回は八重歯・デコボコでお悩みの方の治療の流れをご説明いたします
目次
🦷カウンセリングの様子
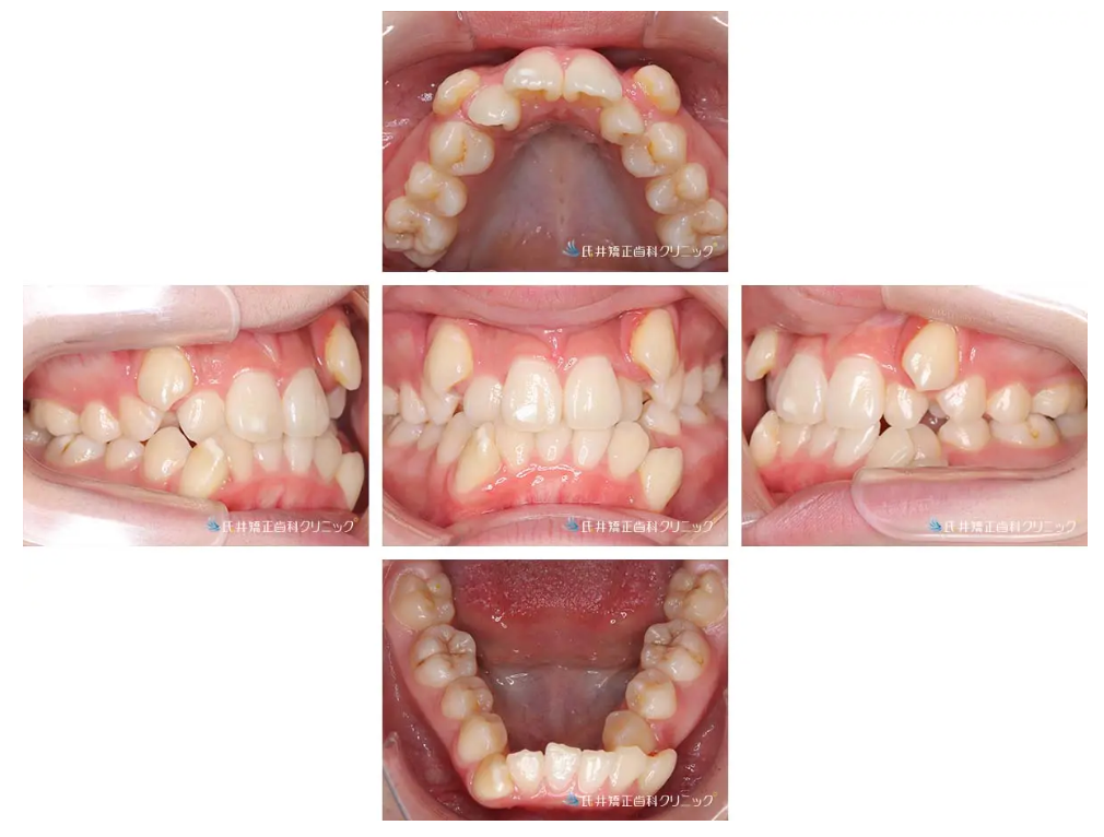
初診カウンセリングに来られたのは10代の女性の方。
鏡を見ながら、こう話してくれました。「一番気になるのは、上下の八重歯なんです。」
正面から見ると、上の犬歯が少し外に出ており、下の歯も重なりが見られます。
さらに詳しくお話を伺うと——「中心(真ん中の線)がずれているのも気になっていて…」
と、左右のバランスについても気にされていました。



🧩 簡易シミュレーション
当院では、カウンセリングの際にその場で「簡易シミュレーション」を行っています。
実際の歯並びをもとに、治療後のイメージを3Dで確認していただけます。
下の画像は、今回の患者さんのシミュレーション例です。
左が治療前、右が治療後のイメージです。
前歯部に強いガタつきが見られ、特に左下の八重歯の叢生(ガタガタ)が大きい状態でした。

🦷 治療方針のご提案
シミュレーションの結果から、抜歯になる可能性が高いことをお伝えしました。
また、ガタつきの量や歯を並べるためのスペースを考慮すると、
今回は 表側の矯正治療(ワイヤー矯正) の方が効率的で、歯並びを整えやすいと判断しました。
「マウスピース矯正でも可能ですが、治療期間が長くなったり、途中でワイヤーを併用する必要が出てくることがあります。」
とご説明したところ、患者さんも納得され、
精密検査 → 診断 という次のステップへ進む流れとなりました。
🧠 診断
カウンセリング後は、模型分析・セファロ分析・CT分析などの精密診断を行いました。
それぞれのデータをもとに、歯の傾き・骨格のバランス・抜歯の必要性などを総合的に評価していきます。
模型分析
3Dスキャナーで撮影した模型をもとに、上と下の歯並びを立体的に確認しました。
画像からもわかるように、上下ともに歯のガタつき(叢生)が多く、
特に上下の正中(真ん中のライン)のズレが確認できます。
このズレは、歯のサイズバランスやアーチの幅の違いによって生じることが多く、
治療計画を立てる上で非常に重要なポイントです。

🧐模型分析②:歯の幅とバランス
次に、上下の歯列の幅のバランスや、**歯の大きさの比率(ボルトン分析)**を確認しました。
これにより、上下の歯の大きさやアーチ形態(並ぶ弧の形)が調和しているかを評価します。
分析の結果、
上下のアーチ幅に差があり、下顎がやや狭い
歯のサイズバランス(ボルトン比)はわずかに不調和
歯が並ぶためのスペースが不足している
ことが確認されました。
そのため、上下ともに抜歯が必要となる可能性が高いと判断しました。
これは見た目の問題だけでなく、かみ合わせを安定させるための重要なステップになります。



次はレントゲンの分析とつながっていきます
🧐 セファロ分析(横顔の骨格バランスを確認)

矯正治療の診断に欠かせないのが、セファロ分析(頭部X線規格写真)です。
この分析によって、横顔の骨格バランスや歯の傾きを正確に評価することができます。
📖 詳しくは こちらのブログをご覧ください。

この方の分析では、
垂直的なバランス(顔の上下の長さ)には問題なし
水平的(前後的)には、やや下顎前突の傾向 が見られました。
また、前歯の軸が内側に傾いていることも確認されました。
これは、下顎が前に出る骨格の方に見られやすい特徴で、
「前歯でかみ合うために、自然と歯が内側に傾く」傾向があります。
その結果、歯が並ぶスペースが不足し、**間の歯がガタガタ(叢生)**になりやすくなっていました。
つまり、骨格と歯の傾きの両方が、今回の「八重歯」をつくる要因になっていたことがわかります。
🦷 デンタルX線分析(歯の根の状態をチェック)

矯正治療では、見た目だけでなく歯の根(歯根)の状態を確認することも大切です。
そのため、当院では1本ずつの歯を丁寧に確認できるデンタルX線写真を撮影しています。
CT撮影は骨の状態を詳しく見るのに優れていますが、
被ばく量がやや多くなるため、
**日常の経過観察には低被ばくの「デンタル撮影」**を採用しています。
これにより、
歯根の長さや方向
根の先の炎症や吸収の有無
歯の支え(歯槽骨)の状態
などを安全にチェックすることができます。
今回の患者さんのレントゲンでは、
歯根の吸収や異常は見られず、全体的に良好な状態でした。
🧭 診断まとめ:5つのレベルでの評価
当院では、歯並びやかみ合わせを5つのレベルで評価しています。
これは、見た目だけでなく「どの程度のズレがあるのか」を客観的に把握するための独自チャートです。

この方の分析結果では、
歯並びの調和:特に下の歯でデコボコが多い
前突度:わずかに上顎が前に出ている
垂直度:骨格的には問題ないが、左側が浅く(噛み合わせが甘い)
正中偏位:やや右側にずれている
プロフィール(横顔バランス):問題なし
このように、複数の項目を総合して診断を行い、
どの部分に調整が必要かを明確にしていきます。
💻 SureSmileによる治療シミュレーション
診断結果をもとに、デジタル矯正システム「SureSmile」を用いて
歯の動きを3D上でシミュレーションしました。
この工程では、
抜歯後にどのように歯が動いていくのか
八重歯がどの位置に整っていくのか
治療後の理想的な歯列ライン
などを立体的に確認しながら、精密な治療計画を立てていきます。
治療経過の写真
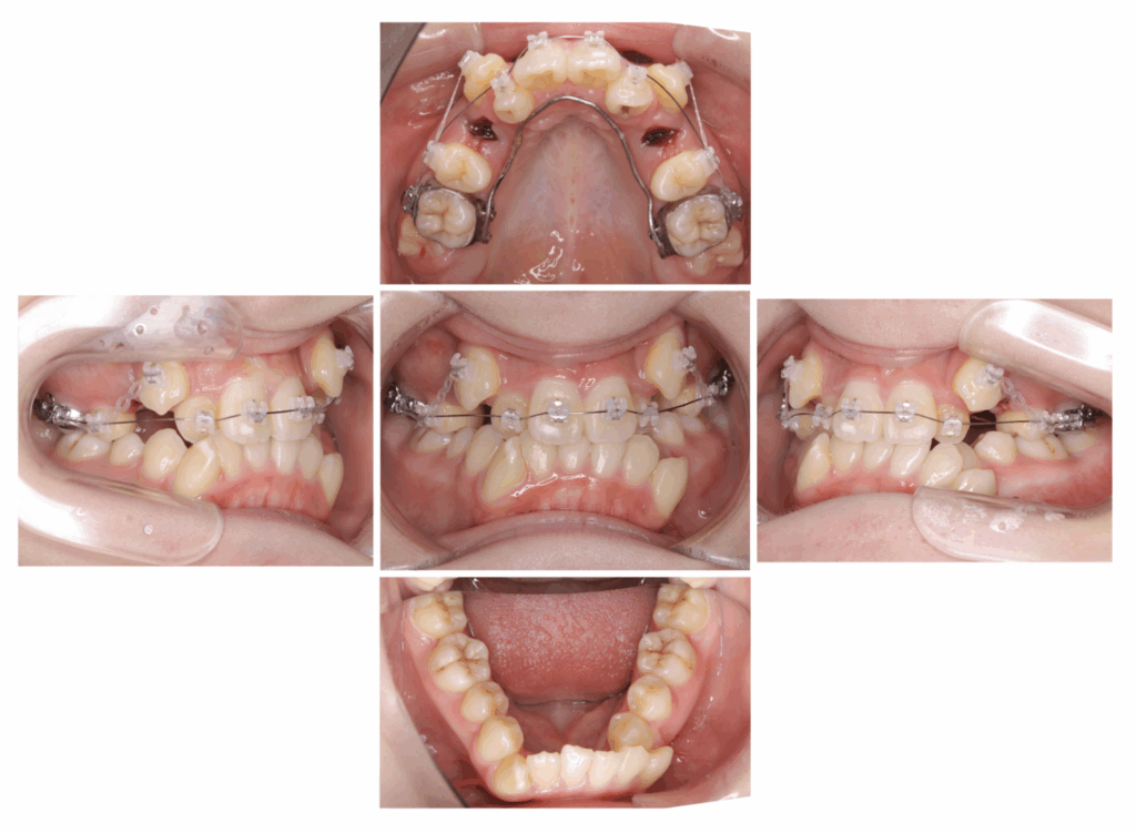
治療経過①:抜歯を行い、歯を動かす準備が整いました「1ヶ月後」
治療開始から約1か月後、スペースを確保するために抜歯を行いました。
抜歯後にはワイヤーを調整し、歯をゆっくりと正しい位置へ導く準備段階に入っています。

抜歯を行う目的は、
歯が並ぶスペースを確保するため
前歯の傾きを整え、噛み合わせのバランスを取るため
といった理由があります。
この段階では、まだ見た目の変化は少ないですが、
これから歯が動き始める大切な準備期間です。
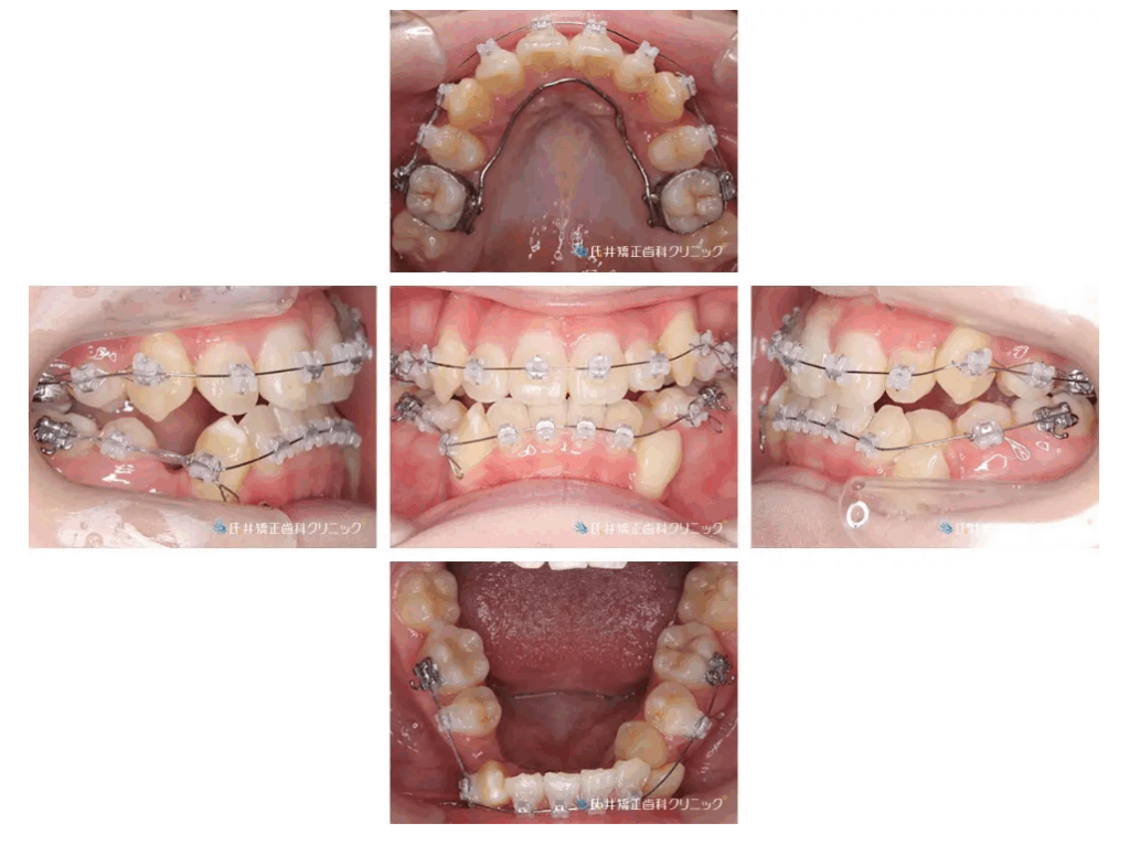
治療経過②:6か月後の変化
治療開始から6か月が経過しました。
この時点で、上の前歯のガタガタ(叢生)がかなり改善してきています。
歯の並びが整ってくることで、口元全体の印象も少しずつスッキリしてきました。

下の歯はまだ動きの途中ですが、
上顎の歯列が整うことで、咬み合わせのバランスを調整する準備が整った段階です。
ワイヤーの交換を行い、今後はより細かな位置合わせをしていきます。
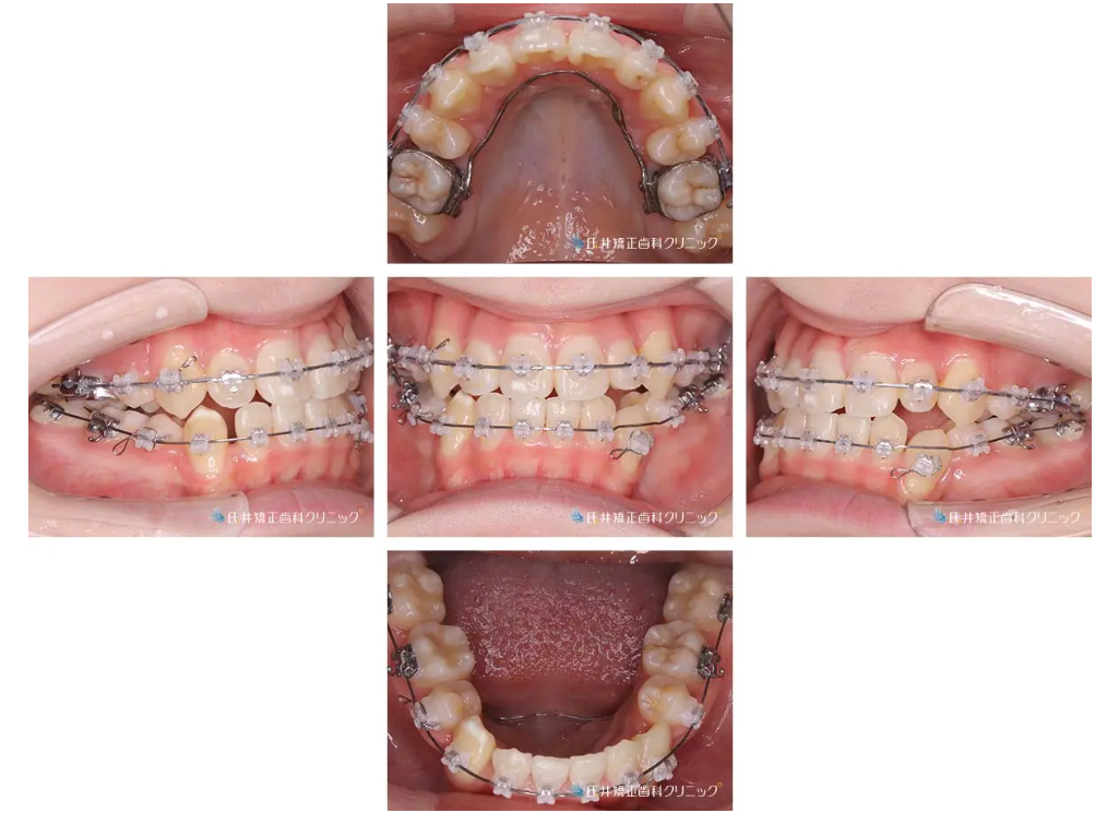
治療経過③:12か月後の状態(上の歯が整い、下の調整へ)
治療開始から1年が経過しました。
この段階で、上の前歯の並びはほぼ理想的な位置に整いました。
ワイヤー矯正によってアーチの形が美しく整い、
八重歯の突出も大きく改善されています。

一方で、下の前歯にはまだ重なり(ガタつき)が残っています。
特に左下の歯の動きについては、歯ぐきの状態を確認しながら、
慎重に力を調整して動かしていく必要があります。
また、上下の正中(真ん中のライン)も合ってきました。
ここからは細かい位置合わせと噛み合わせの仕上げ段階に入っていきます。
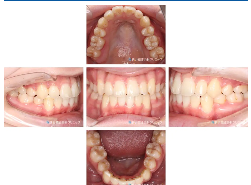
🌸 治療完了:2年7か月後の状態
治療開始から約2年7か月、矯正治療が完了しました。
上の八重歯もきれいに整い、上下ともに歯が調和の取れたアーチ状に並んでいます。
噛み合わせも安定し、前歯でしっかり咬める理想的な状態になりました。
下の歯の裏側には、**後戻りを防ぐための保定装置(リテーナー)**を装着しています。
当院では通常、固定式の装置は使用しませんが、
今回のケースは下の歯のデコボコ(叢生)が強かったため、
より安定した仕上がりを目指して固定式リテーナーを選択しました。


🌿 最後に:治療を終えて感じたこと
八重歯や歯のガタつきは、見た目の印象だけでなく、噛み合わせや将来の歯の健康にも関係します。
時間はかかりましたが、歯がきれいに並ぶことで、
笑顔や表情がより自然になり、自信をもって笑えるようになったのが何よりの変化です。
🎯 ここまで読んでくださった方へ
「自分も八重歯が気になるけど、どのくらいで治るの?」
「抜歯が必要かどうか診てほしい」
「見た目だけじゃなく、噛み合わせも整えたい」
そんな方は、まずはCT診断つきカウンセリングから始めてみてください。
あなたの歯並びを3Dシミュレーションで分析し、
実際に “どこまで変わるのか” を一緒に見ていきます👀
🦷 ▶ 今の歯並びをチェックしてみる(CTカウンセリング)
※初回カウンセリングではCTと3D分析を用いて、
治療の流れ・期間・費用をわかりやすくご説明します。

